Complicaciones
Complicación que se presenta en casos poco frecuentes; se sabe poco sobre el pronóstico.[3] Los pacientes pueden informar un estado mental alterado o debilidad en las extremidades.
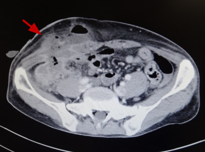
La apendicitis aguda amebiana es una manifestación infrecuente de la amebiasis y se asocia a una tasa más elevada de complicaciones y de mortalidad que la apendicitis no amebiana. La exploración histopatológica y las precauciones adicionales están justificadas cuando se sospecha de apendicitis amebiana.[9][Figure caption and citation for the preceding image starts]: Apendicitis amebiana con fístula cutánea dos semanas después de la apendicectomía (tomografía computarizada mejorada).Foto original del National Center for Global Health and Medicine, Tokio, Japón. [Citation ends].
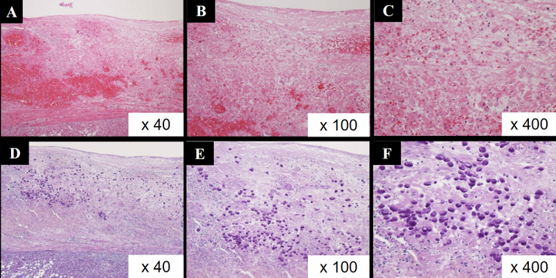
[Figure caption and citation for the preceding image starts]: Tinción de hematoxilina-eosina (A-C) y tinción de ácido periyódico de Schiff (D-F) del apéndice resecado de la apendicitis amebiana. Las entamoebas se tiñen intensamente con la tinción de ácido periyódico de Schiff.Foto original del National Center for Global Health and Medicine, Tokio, Japón. [Citation ends].
El uso de este contenido está sujeto a nuestra cláusula de exención de responsabilidad