Pruebas diagnósticas
Primeras pruebas diagnósticas para solicitar
hemograma completo (HC)
Prueba
Todos los pacientes deben presentar un hemograma completo (HC) en la presentación inicial.[70][71]
La anemia puede darse como consecuencia de la inflamación crónica, pérdida crónica de sangre, la malabsorción de hierro y/o la malabsorción de vitamina B12 o ácido fólico.
La leucocitosis se asocia a una inflamación aguda o crónica, abscesos o tratamiento con corticosteroides.
La trombocitosis es un marcador útil de inflamación activa.
Resultado
anemia; leucocitosis; puede ser trombocitosis
análisis de hierro (hierro sérico, ferritina sérica, capacidad total de fijación del hierro [CTFH], saturación de la transferrina)
Prueba
Los pacientes deben someterse a estudios de hierro sérico.[71][72]
Los pacientes con enfermedad inflamatoria intestinal desnutridos o con riesgo de desnutrición deben someterse a los análisis de sangre pertinentes para evaluar las deficiencias de macronutrientes y micronutrientes.[70]
La carencia de hierro puede estar asociada a un sangrado gastrointestinal o a una mala absorción de hierro.
Resultado
normal; o bien, puede poner de relieve alteraciones correspondientes a la deficiencia de hierro
vitamina B12 sérica
Prueba
Deben comprobarse los niveles de B12.[70]
La deficiencia puede ser secundaria a la malabsorción. Los pacientes con enfermedad inflamatoria intestinal desnutridos o con riesgo de desnutrición deben someterse a los análisis de sangre pertinentes para evaluar las deficiencias de macronutrientes y micronutrientes.[70]
La deficiencia más frecuente en la enfermedad de Crohn ileocecal y después de la resección ileocecal.
Resultado
puede ser normal o bajo
folato sérico
Prueba
Deben comprobarse los niveles de folato sérico.[70]
La deficiencia puede ser secundaria a la malabsorción. Los pacientes con enfermedad inflamatoria intestinal desnutridos o con riesgo de desnutrición deben someterse a los análisis de sangre pertinentes para evaluar las deficiencias de macronutrientes y micronutrientes.[70]
Resultado
puede ser normal o bajo
perfil metabólico completo (PMC)
Prueba
Todos los pacientes deben tener un perfil metabólico completo (PMC) en la presentación inicial.
La hipomagnesemia y la hipofosfatemia pueden ser causadas por la diarrea y la hipoprotrombina puede reflejar una deficiencia de vitamina K.
Resultado
hipoalbuminemia, hipocolesterolemia, hipocalcemia
Proteína C-reactiva y velocidad de sedimentación globular (VSG)
Prueba
Todos los pacientes deben tener PCR y VSG en la presentación inicial.[70][71]
Los marcadores de inflamación se correlacionan estrechamente con la actividad de la enfermedad de Crohn (EC).[93]
En pacientes con EC con síntomas moderados a graves, la elevación de la calprotectina fecal o la proteína C-reactiva sérica sugieren actividad endoscópica y se puede evitar la evaluación endoscópica.[66]
Resultado
elevada
pruebas en heces
Prueba
La prueba de la toxina de Clostridium difficile está indicada especialmente si hay antecedentes de uso reciente de antibióticos, ya que la infección por C. difficile se asocia a un aumento de la mortalidad a corto y largo plazo en pacientes con enfermedad intestinal inflamatoria.[9][73]
Resultado
carencia de elementos infecciosos observados en la microscopía o el cultivo
serología para Yersinia enterocolitica
Prueba
Es importante excluir Y enterocolitica, un agente patógeno intestinal que causa ileítis aguda.[74] Puede solicitarse en el ámbito agudo.
Resultado
negativo
radiografía simple de abdomen
Prueba
Las radiografías simples de abdomen pueden formar parte de las pruebas iniciales ordenadas en el entorno agudo. No poseen valor diagnóstico para la enfermedad de Crohn, pero pueden sugerirla y ayudar a evaluar la gravedad. La distensión de las asas intestinales y el neumoperitoneo pueden ser visibles.
Resultado
dilatación del intestino delgado o del colon; calcificaciones; sacroileítis; abscesos intraabdominales
resonancia magnética (IRM) de abdomen o pelvis
Prueba
Los pacientes que pueden tolerar el contraste oral son candidatos a la enterografía por TC o a la enterografía por resonancia magnética (RM).[75] Las características de la enterografía por RM (sensibilidad del 77% al 82%, especificidad del 80% al 100%) son similares a las de la enterografía por TC, pero su disponibilidad puede ser limitada.[75]
También se ha demostrado que los estudios por imágenes por RM proporcionan una precisión diagnóstica sólida en la detección de estenosis fibróticas, la distinción entre estenosis fibróticas e inflamatorias, y la evaluación de la gravedad de la estenosis en pacientes con enfermedad de Crohn.[76]
Las guías de práctica clínica sugieren que la enterografía por RM debe ser la prueba de elección, ya que no expone al paciente a la radiación ionizante.[70][71][77][Figure caption and citation for the preceding image starts]: Exploración por TC en la que se observa engrosamiento del íleon terminal en un paciente con exacerbación de la enfermedad de CrohnProporcionado por los doctores Wissam Bleibel, Bishal Mainali, Chandrashekhar Thukral, y Mark A. Peppercorn, los anteriores autores de este tema [Citation ends].
[Figure caption and citation for the preceding image starts]: Exploración por TC en la que se observa engrosamiento del íleon terminal en un paciente con exacerbación de la enfermedad de CrohnProporcionado por los doctores Wissam Bleibel, Bishal Mainali, Chandrashekhar Thukral, y Mark A. Peppercorn, los anteriores autores de este tema [Citation ends].
Resultado
lesiones discontinuas, engrosamiento de la pared intestinal, inflamación circundante, abscesos, fístulas
tomografía computarizada (TC) de abdomen
Prueba
Los pacientes que pueden tolerar el contraste oral son candidatos a la enterografía por TC o a la enterografía por resonancia magnética (RM).[75] La enterografía por TC es sensible (entre el 75% y el 90%) y puede evaluar diagnósticos alternativos y complicaciones potenciales de la enfermedad de Crohn (p. ej., obstrucción, absceso, fístula).[75]
Las guías de práctica clínica sugieren que la enterografía por RM debe ser la prueba de elección, ya que no expone al paciente a la radiación ionizante.[70][71][77][Figure caption and citation for the preceding image starts]: Exploración por TC en la que se observa engrosamiento del íleon terminal en un paciente con exacerbación de la enfermedad de CrohnProporcionado por los doctores Wissam Bleibel, Bishal Mainali, Chandrashekhar Thukral, y Mark A. Peppercorn, los anteriores autores de este tema [Citation ends].
[Figure caption and citation for the preceding image starts]: Exploración por TC en la que se observa engrosamiento del íleon terminal en un paciente con exacerbación de la enfermedad de CrohnProporcionado por los doctores Wissam Bleibel, Bishal Mainali, Chandrashekhar Thukral, y Mark A. Peppercorn, los anteriores autores de este tema [Citation ends].
Resultado
lesiones discontinuas, engrosamiento de la pared intestinal, inflamación circundante, abscesos, fístulas
Pruebas diagnósticas que deben considerarse
ultrasonografía abdominal y pélvica
Prueba
Se puede considerar la realización de una ecografía del abdomen y la pelvis.[70][71][75]
La sensibilidad y la especificidad van del 75% al 94% y del 67% al 100%, respectivamente.[75] La ecografía puede facilitar la detección de complicaciones extramurales, la detección y evaluación de estenosis y el seguimiento de la evolución de la enfermedad.[71][79]
La obesidad, la gasometría intestinal suprayacente y la defensa (en el paciente con malestar agudo) pueden impedir la compresión adecuada de la sonda de ecografía.[80]
Se ha observado una precisión comparable a las modalidades de TC o RM para la visualización del íleon cuando la ecografía intestinal es realizada por profesionales capacitados.[80] Las limitaciones de esta técnica incluyen la visualización limitada del estómago, el esófago y el recto y la incapacidad para realizar un procedimiento intervencionista.[80]
Resultado
engrosamiento de la pared intestinal, inflamación circundante, abscesos; absceso tubo-ovárico
ileocolonoscopia
Prueba
La ileocolonoscopia y los estudios por imágenes son complementarios en el diagnóstico de la enfermedad de Crohn.[70][71][75]
Los cambios en la mucosa sugestivos de EC incluyen nodularidad de la mucosa, eritema, edema, ulceraciones, friabilidad, estenosis y la identificación de la apertura del tracto fistuloso.[71]
Las lesiones son discontinuas, con áreas intermitentes de intestino de apariencia normal (lesiones discontinuas).[Figure caption and citation for the preceding image starts]: Vista endoscópica de la ileítis de CrohnProporcionado por los doctores Wissam Bleibel, Bishal Mainali, Chandrashekhar Thukral, y Mark A. Peppercorn, los anteriores autores de este tema [Citation ends].
La evidencia de un recto normal y la afectación aislada del íleon terminal respaldan el diagnóstico.
Resultado
úlceras aftosas, hiperemia, edema, lesiones nodulares, lesiones discontinuas
biopsia de tejido
Prueba
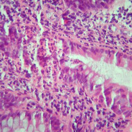
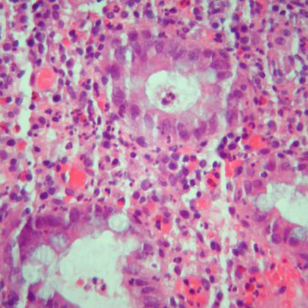
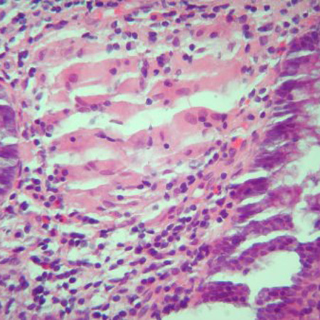
Deben obtenerse biopsias colónicas e ileales segmentarias para evaluar la evidencia microscópica de enfermedad de Crohn (EC).[70] Las características microscópicas que ayudan a distinguir la colitis ulcerosa y la EC son los granulomas, los cambios arquitectónicos y la distribución de la enfermedad.[81] Sin embargo, la inflamación granulomatosa se registra en una minoría de pacientes con EC (del 30% al 50%); no es necesaria para el diagnóstico.[71][81][Figure caption and citation for the preceding image starts]: Inflamación significativa de la pared del colon, engrosamiento de la submucosa y acumulaciones linfoides densas en la submucosaProporcionado por los doctores Wissam Bleibel, Bishal Mainali, Chandrashekhar Thukral, y Mark A. Peppercorn, los anteriores autores de este tema [Citation ends].
[Figure caption and citation for the preceding image starts]: Granulomas en un paciente con la enfermedad de Crohn; observe la acumulación de histiocitos epitelioidesProporcionado por los doctores Wissam Bleibel, Bishal Mainali, Chandrashekhar Thukral, y Mark A. Peppercorn, los anteriores autores de este tema [Citation ends].
[Figure caption and citation for the preceding image starts]: Criptitis y abscesos de criptas con distorsión morfológica de las criptas acompañada de inflamación y abundantes células plasmáticas y linfáticasProporcionado por los doctores Wissam Bleibel, Bishal Mainali, Chandrashekhar Thukral, y Mark A. Peppercorn, los anteriores autores de este tema [Citation ends].
[Figure caption and citation for the preceding image starts]: Criptitis y abscesos de criptas con distorsión morfológica de las criptas acompañada de inflamación y abundantes células plasmáticas y linfáticasProporcionado por los doctores Wissam Bleibel, Bishal Mainali, Chandrashekhar Thukral, y Mark A. Peppercorn, los anteriores autores de este tema [Citation ends].
Las biopsias de la mucosa no afectada ayudan a identificar la extensión de la enfermedad histológica.[71] Si se está considerando la posibilidad de tuberculosis, el tejido de las biopsias ileocecales se puede analizar para detectar la presencia de Mycobacterium tuberculosis.[69]
Resultado
las biopsias del intestino mucoso ponen de relieve afectación transparietal con granulomas no caseificantes
esofagogastroduodenoscopia
Prueba
La esofagogastroduodenoscopia (endoscopia gastrointestinal superior) no es necesaria de forma rutinaria como parte de la evaluación diagnóstica, pero puede realizarse en pacientes con signos y síntomas gastrointestinales superiores.[70][71]
La esofagogastroduodenoscopia con biopsia es útil para diferenciar la enfermedad de Crohn (EC) de la enfermedad ulcerosa péptica en pacientes con síntomas del tracto gastrointestinal (GI) superior.
Resultado
úlceras aftosas; inflamación de la mucosa
cápsula endoscópica inalámbrica
Prueba
Se puede utilizar como alternativa a las imágenes por RMN para evaluar la afectación del intestino delgado. Permite visualizar el intestino delgado y detectar lesiones indicativas no visibles mediante otros estudios del intestino delgado. La cápsula endoscópica puede utilizarse para monitorizar la cicatrización de la mucosa y la recidiva postoperatoria en pacientes seleccionados.[94] Es una prueba diagnóstica segura y útil en los niños.
Se recomienda la evaluación de la cápsula de permeabilidad antes de la endoscopia para reducir el riesgo de retención de la cápsula si existe la posibilidad de estenosis.[71] La cápsula endoscópica está contraindicada en pacientes con estenosis del intestino delgado.[95]
Resultado
úlceras aftosas, hiperemia, edema, aspecto empedrado, lesiones discontinuas
calprotectina fecal
Prueba
Marcador no invasivo de inflamación intestinal.[9][82][83] La calprotectina fecal se libera en las heces cuando los neutrófilos se reúnen en el sitio de cualquier inflamación del tracto gastrointestinal.
En pacientes de <60 años de edad que presentan síntomas gastrointestinales inferiores y un análisis diagnóstico inicial normal, se puede realizar una prueba de calprotectina fecal para descartar las causas de la inflamación colónica. Sin embargo, en pacientes de >60 años con sospecha de cáncer colorrectal, la prueba de calprotectina fecal debe interpretarse con precaución.[84]
La calprotectina fecal puede ayudar a diferenciar la enfermedad intestinal inflamatoria del síndrome del intestino irritable.[71] La calprotectina fecal no es específica para la enfermedad de Crohn (EC) y puede aumentar en las heces en otras patologías intestinales (p. ej., gastroenteritis infecciosa, diverticulitis o cáncer colorrectal) o en pacientes que toman antiinflamatorios no esteroideos [AINE] y ácido acetilsalicílico).[71][84] Esta falta de especificidad limita su función de diagnóstico.
La calprotectina fecal se utiliza ampliamente, en particular en el ámbito de la atención primaria como una prueba de "descarte" en la que la enfermedad inflamatoria intestinal (EII) es poco probable en presencia de una calprotectina normal.
En la EII se utiliza para monitorizar recidivas en pacientes con enfermedad inflamatoria intestinal quiescente, y para la detección y monitorización de la actividad de la enfermedad en pacientes sintomáticos, evitando potencialmente la monitorización endoscópica invasiva y que requiere muchos recursos.[66][70][85][86][87] Un valor de calprotectina fecal de <150 microgramos/g y una proteína C reactiva normal sugieren que no hay inflamación activa en pacientes en remisión sintomática; la evaluación endoscópica puede evitarse en estos pacientes. Sin embargo, los niveles elevados de biomarcadores en estos pacientes justifican una evaluación endoscópica.[66]
En pacientes con EC con síntomas moderados a graves, la elevación de la calprotectina fecal o la proteína C-reactiva sérica sugieren actividad endoscópica y se puede evitar la evaluación endoscópica.[66]
Resultado
puede estar elevada
Pruebas emergentes
marcadores serológicos
Prueba
La investigación se centra en los anticuerpos antiglicanos (p. ej., anti-Saccharomyces cerevisiae [ASCA], anti-laminaribiose [ALCA], anti-chitobioside [ACCA], anti-laminarina [anti-L], anti-chitina [anti-C]) y en los anticuerpos contra antígenos microbianos (anti-porina C de la membrana externa [anti-OmpC], flagelina anti-Cbir1, anti-I2 y p-ANCA).[71]
Los anticuerpos antiglicanos son más frecuentes en la enfermedad de Crohn (EC) que en la colitis ulcerosa, pero presentan una baja sensibilidad.[71]
No se recomienda el uso rutinario de marcadores serológicos de enfermedad inflamatoria intestinal para establecer el diagnóstico de EC.[71]
El ASCA puede tener valor pronóstico en los niños con EC.[96][97]
Resultado
anticuerpos antiglicanos positivos
El uso de este contenido está sujeto a nuestra cláusula de exención de responsabilidad