Investigações

Primeiras investigações a serem solicitadas

Hemograma completo

Exame
Resultado
Exame

Uma leucocitose acentuada está presente em praticamente todos os casos de TSC séptica. Isso pode ajudar a distinguir a doença séptica da asséptica.

Anemia não é típica de TSC, mas se estiver presente pode sugerir uma coagulopatia intravascular disseminada ou doença falciforme.[62]

Resultado

hemoglobina (Hb) normal ou baixa; leucocitose polimorfonuclear acentuada na trombose do seio cavernoso (TSC) séptica

tomografia computadorizada (TC) de alta resolução com contraste da cabeça

Exame
Resultado
Exame

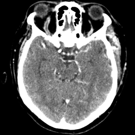
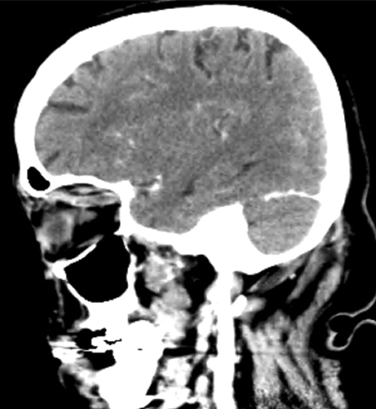
A TC e a RNM cranioencefálicas são as principais modalidades radiológicas usadas para confirmar o diagnóstico em todos os pacientes, e também são usadas para avaliar patologias causais e concomitantes.[43][52]​​​ Nenhuma das duas é absolutamente sensível ou específica para o diagnóstico de trombose do seio cavernoso (TSC). Uma TC com contraste é considerada superior à RNM para a detecção da formação inicial de coágulos nos seios cavernosos, enquanto a RNM é superior para o restante dos seios venosos durais.[55]​​

A TC é realizada idealmente pelo uso de uma técnica de escaneamento dinâmico com uma injeção em bolus e infusão contínua de contraste e uma varredura a intervalos seccionais próximos (menos de 3 mm) e em secções coronais e axiais.[63]

Extensões angiográficas da TC também podem ser realizadas.[Figure caption and citation for the preceding image starts]: Tomografia computadorizada (TC) sagital de crânio revelando uma veia oftálmica superior direita tubular aumentadaJones RG, Arnold B. Sudden onset proptosis secondary to cavernous sinus thrombosis from underlying mandibular dental infection. BMJ Case Rep. 2009;2009. pii: bcr03.2009.1671. Usado com permissão [Citation ends].com.bmj.content.model.Caption@5f487de6[Figure caption and citation for the preceding image starts]: Tomografia computadorizada (TC) de crânio na fase pós-contraste venosa (visão axial) revelando uma veia oftálmica superior direita aumentada em forma de "S" associada a proptoseJones RG, Arnold B. Sudden onset proptosis secondary to cavernous sinus thrombosis from underlying mandibular dental infection. BMJ Case Rep. 2009;2009. pii: bcr03.2009.1671. Usado com permissão [Citation ends].com.bmj.content.model.Caption@1799986a A venografia por TC também pode ser útil para confirmar o diagnóstico nos pacientes com suspeita de TSC.[52][53][54]​​

Resultado

falhas de enchimento anormais, junto com convexidade lateral dos seios cavernosos

ressonância nuclear magnética (RNM) com contraste da cabeça

Exame
Resultado
Exame

A RNM e a TC cranioencefálicas são as principais modalidades radiológicas usadas para confirmar o diagnóstico em todos os pacientes e também são usadas para avaliar patologias causais e concomitantes.[43][52]​​ Nenhuma das modalidades é totalmente sensível ou específica para trombose do seio cavernoso (TSC) séptica.

Entretanto, uma TC com contraste é considerada superior à RNM para a detecção da formação inicial de coágulos nos seios cavernosos, enquanto a RNM é superior para o restante dos seios venosos durais.[55]

Pode ser de grande valia em pacientes com TC não diagnósticas ou para avaliação de complicações envolvendo a hipófise ou extensão da infecção para o cérebro.

Também podem ser realizadas extensões angiográficas da RNM. A venografia por RM também pode ser útil para confirmar o diagnóstico nos pacientes com suspeita de TSC.[52][53][54]​​​​​ A venografia por ressonância magnética pode não estabelecer o diagnóstico nos seios venosos durais.[12]

Resultado

expansão dos seios cavernosos, arqueamento convexo das paredes laterais, intensificação dural aumentada; uma patologia do seio esfenoidal pode estar presente

hemocultura

Exame
Resultado
Exame

A confirmação bacteriológica da infecção pode ser obtida, na maioria dos casos de trombose do seio cavernoso (TSC) séptica, da fonte infecciosa primária, hemoculturas e supuração concomitante de locais acessíveis e relevantes.

Resultado

TSC séptica: pode ser positiva

microscopia e cultura do tecido ou fluido supurativo da fonte de infecção primária

Exame
Resultado
Exame

A confirmação bacteriológica pode ser obtida, na maioria dos casos de trombose do seio cavernoso (TSC) séptica, da fonte infecciosa primária, hemoculturas e supuração concomitante de locais acessíveis e relevantes.

Resultado

TSC séptica: cultura positiva do organismo desencadeante

anticorpos anticardiolipina e antifosfolipídeo

Exame
Resultado
Exame

Realizados como parte do exame de síndrome antifosfolipídica. Exames para estados hipercoaguláveis podem não ser indicados se a trombose do seio cavernoso for desencadeada por fortes fatores de risco (por exemplo, história recente de sinusite aguda ou infecções faciais).[60]​ Consulte um hematologista para obter aconselhamento especializado.

Resultado

níveis altos indicam um estado hipercoagulável

proteína S e proteína C

Exame
Resultado
Exame

Realizados como parte do exame de estado hipercoagulável. Exames para estados hipercoaguláveis podem não ser indicados se a trombose do seio cavernoso for desencadeada por fortes fatores de risco (por exemplo, história recente de sinusite aguda ou infecções faciais).[60]​ Consulte um hematologista para obter aconselhamento especializado.

Resultado

níveis baixos ou deficiência indicam um estado hipercoagulável

antitrombina III

Exame
Resultado
Exame

Realizados como parte do exame de estado hipercoagulável. Exames para estados hipercoaguláveis podem não ser indicados se a trombose do seio cavernoso for desencadeada por fortes fatores de risco (por exemplo, história recente de sinusite aguda ou infecções faciais).[60]​ Consulte um hematologista para obter aconselhamento especializado.

Resultado

níveis baixos ou deficiência indicam um estado hipercoagulável

fator V de Leiden

Exame
Resultado
Exame

Realizados como parte do exame de estado hipercoagulável. Exames para estados hipercoaguláveis podem não ser indicados se a trombose do seio cavernoso for desencadeada por fortes fatores de risco (por exemplo, história recente de sinusite aguda ou infecções faciais).[60]​ Consulte um hematologista para obter aconselhamento especializado.

Resultado

a presença indica estado hipercoagulável

eletroforese da hemoglobina

Exame
Resultado
Exame

Realizado apenas em pacientes com suspeita clínica de doença falciforme.

Resultado

hemoglobina S detectada na doença falciforme

Nível de dímero D

Exame
Resultado
Exame

Níveis elevados são comuns em pessoas com trombose venosa cerebral, mas um teste negativo não é capaz de descartar o diagnóstico.​[53][61]​​ O teste de dímero D não é recomendado se o paciente apresentar cefaleia isolada e/ou sintomas por mais de 1 semana devido ao aumento de resultados falso-negativos nesses cenários.[53]

Resultado

pode estar elevada

Investigações a serem consideradas

punção lombar com análise do líquido cefalorraquidiano

Exame
Resultado
Exame

Pode ajudar a descartar meningite e informar a terapêutica antimicrobiana (tipo e duração da terapia) caso um agente bacteriano ou fúngico seja isolado.

Resultado

pressão do LCR alta; células inflamatórias; organismos desencadeantes podem ser detectados

O uso deste conteúdo está sujeito ao nosso aviso legal