Imagens e vídeos
IMAGENS

Trombose do seio cavernoso
Paciente com trombose bilateral do seio cavernoso. Observe a proptose bilateral, que é mais acentuada no olho direito
Vidhate MR, et al. Bilateral cavernous sinus syndrome and bilateral cerebral infarcts: a rare combination after wasp sting. J Neurol Sci. 2011;301:104-106. Usado com permissão
Veja esta imagem em contexto nas seguintes seções:

Trombose do seio cavernoso
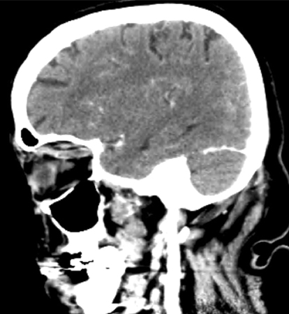
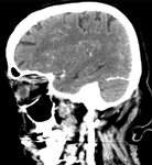
Tomografia computadorizada (TC) sagital de crânio revelando uma veia oftálmica superior direita tubular aumentada
Jones RG, Arnold B. Sudden onset proptosis secondary to cavernous sinus thrombosis from underlying mandibular dental infection. BMJ Case Rep. 2009;2009. pii: bcr03.2009.1671. Usado com permissão
Veja esta imagem em contexto nas seguintes seções:

Trombose do seio cavernoso
Tratamento de trombose séptica do seio cavernoso (TSC)
Do acervo de Dr Jayant Pinto, University of Chicago
Veja esta imagem em contexto nas seguintes seções:

Trombose do seio cavernoso
Anatomia do seio cavernoso: (1) terceiro ventrículo, (2) hipófise, (3) nervo oculomotor, (4) nervo troclear, (5) artéria carótida interna, (6) nervo abducente, (7) ramo oftálmico do nervo trigêmeo, e (8) ramo maxilar do nervo trigêmeo
Visvanathan V, et al. Revisão de uma lição clínica importante: manifestações oculares da trombrose do seio cavernoso. BMJ Case Rep. 2010; doi:10.1136. Usado com permissão
Veja esta imagem em contexto nas seguintes seções:

Trombose do seio cavernoso
Tratamento de trombose asséptica do seio cavernoso (TSC)
Do acervo de Dr Jayant Pinto, University of Chicago
Veja esta imagem em contexto nas seguintes seções:

Trombose do seio cavernoso
Proptose do olho direito em um paciente com trombose do seio cavernoso secundária a infecção dentária
Jones RG, Arnold B. Sudden onset proptosis secondary to cavernous sinus thrombosis from underlying mandibular dental infection. BMJ Case Rep. 2009;2009. pii: bcr03.2009.1671. Usado com permissão
Veja esta imagem em contexto nas seguintes seções:

Trombose do seio cavernoso
Manifestações oculares de trombose do seio cavernoso e suas patologias subjacentes
Visvanathan V, et al. Revisão de uma lição clínica importante: manifestações oculares da trombrose do seio cavernoso. BMJ Case Rep. 2010; doi:10.1136. Usado com permissão
Veja esta imagem em contexto nas seguintes seções:

Trombose do seio cavernoso
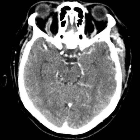
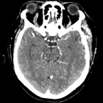
Tomografia computadorizada (TC) de crânio na fase pós-contraste venosa (visão axial) revelando uma veia oftálmica superior direita aumentada em forma de "S" associada a proptose
Jones RG, Arnold B. Sudden onset proptosis secondary to cavernous sinus thrombosis from underlying mandibular dental infection. BMJ Case Rep. 2009;2009. pii: bcr03.2009.1671. Usado com permissão
Veja esta imagem em contexto nas seguintes seções:
O uso deste conteúdo está sujeito ao nosso aviso legal