Investigações
Primeiras investigações a serem solicitadas
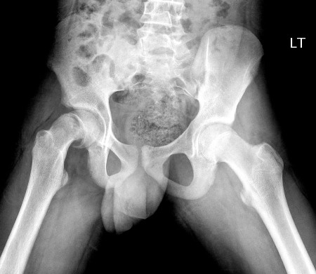
radiografias anteroposteriores bilaterais
Exame
Radiografias simples devem ser solicitadas para todos os pacientes com suspeita de EPF. Na incidência anteroposterior, a linha de Klein, que é desenhada ao longo da região superior do colo do fêmur, normalmente faz intersecção com alguma parte da cabeça do fêmur em um quadril saudável.[Figure caption and citation for the preceding image starts]: Linhas de Klein são desenhadas ao longo do córtex superior do colo do fêmur. Uma linha de Klein normal fará intersecção com a epífise. Uma linha de Klein anormal não faz intersecção com a epífise, pois o colo do fêmur deslocou-se em direção proximal e anterior em relação à epífiseImagem cedida por John M. Flynn, MD [Citation ends].
Outros achados radiográficos podem incluir alargamento da fise no lado afetado, perda da sobreposição da metáfise do fêmur proximal (sinal de Capener) ou aumento da esclerose da metáfise proximal na visão AP, em que a epifisiólise se sobrepõe à metáfise como uma sombra dupla (sinal branco de Steel).[33][34]
Resultado
A linha de Klein não faz intersecção com a cabeça do fêmur; pode mostrar alargamento da fise, perda do sinal de Capener ou sinal branco de Steel positivo
radiografias laterais com as pernas em posição de rã
Exame
A incidência lateral com as pernas em posição de rã é mais sensível que as radiografias anteroposteriores para detecção de um deslocamento precoce.[36] A linha de Klein nessa incidência pode ser semelhante à das radiografias anteroposteriores. A fise também poderá estar obscura ou alargada (sinal de Blumberg).[Figure caption and citation for the preceding image starts]: Epifisiólise proximal do fêmur (EPF) instável no quadril direito. Radiografia pré-operatória lateral com as pernas em posição de rãImagem cedida por John M. Flynn, MD [Citation ends].
Resultado
a linha de Klein não faz intersecção com a cabeça do fêmur; sinal de Blumberg positivo
Investigações a serem consideradas
perfil metabólico
Exame
Os resultados podem refletir um padrão de osteodistrofia renal
Resultado
creatinina pode estar elevada
testes de função tireoidiana (dosagem sérica)
Exame
Hipotireoidismo é uma endocrinopatia associada à EPF.
Resultado
o hormônio estimulante da tireoide (TSH) pode estar elevado
hormônio do crescimento sérico
Exame
Pode indicar deficiência de hormônio do crescimento.
Resultado
pode estar baixo
O uso deste conteúdo está sujeito ao nosso aviso legal