Imagens e vídeos
IMAGENS

Luxação articular
Técnica de Milch para redução do ombro, parte 1: o paciente é colocado na posição supina no leito com a cabeceira do leito elevada cerca de 20° a 30°, então o braço é lentamente abduzido e rotacionado externamente, sem aplicar tração longitudinal (em caso de dor ou resistência, o terapeuta faz uma pausa)
Acervo pessoal do Dr. Paul Novakovich
Veja esta imagem em contexto nas seguintes seções:

Luxação articular
Técnica de manipulação escapular: uma das mãos é colocada sobre a borda súperolateral da escápula e a outra mão na borda inferomedial da escápula, e aplica-se pressão para rodar a borda superior lateralmente e a borda inferior medialmente.
Acervo pessoal do Dr. Paul Novakovich
Veja esta imagem em contexto nas seguintes seções:

Luxação articular
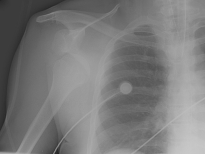
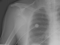
Radiografia com incidência anteroposterior de ombro mostrando luxação anteroinferior
Acervo pessoal do Dr. Paul Novakovich
Veja esta imagem em contexto nas seguintes seções:

Luxação articular
Método de Stimson: o paciente é posicionado de bruços na maca com o ombro afetado ligeiramente fora da maca; o braço é posicionado perpendicular ao assoalho (dobrado 90° para a frente) com a maca suficientemente alta para a mão não ficar apoiada no assoalho; em seguida, pesos de 2.3 a 4.5 kg ou garrafas de 1 L com água esterilizada são enrolados ao redor do punho com bandagem de algodão e pendurados a uma altura suficiente para não tocar o assoalho
Acervo pessoal do Dr. Paul Novakovich
Veja esta imagem em contexto nas seguintes seções:

Luxação articular
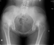
Radiografia mostrando luxação posterior bilateral do quadril
Fan KY, et al. BMJ Case Rep. 2015 Mar 25:2015:bcr2014204031; usado com permissão
Veja esta imagem em contexto nas seguintes seções:

Luxação articular
Método de Kocher de redução de ombro, parte 2: o braço é rotacionado internamente até a mão do paciente tocar o ombro.
Acervo pessoal do Dr. Paul Novakovich.
Veja esta imagem em contexto nas seguintes seções:

Luxação articular
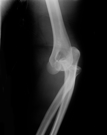
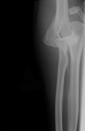
Visão lateral de radiografia de luxação posterolateral do cotovelo
Acervo pessoal do Dr. Paul Novakovich
Veja esta imagem em contexto nas seguintes seções:

Luxação articular
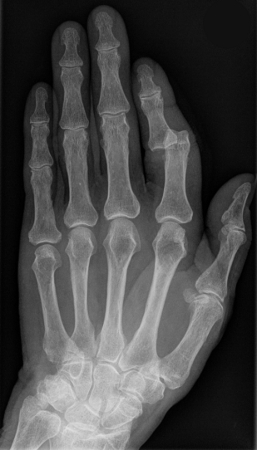
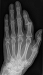
Radiografia mostrando luxação da articulação interfalângica proximal, dedo indicador esquerdo
Hellerhoff, CC BY-SA 3.0 via Wikimedia Commons
Veja esta imagem em contexto nas seguintes seções:

Luxação articular
Método da rotação externa para redução do ombro, parte 2: ao aplicar uma leve pressão no punho, lentamente o terapeuta rotaciona externamente o braço, sem ter pressa, para permitir que passem os espasmos e as contrações; finalmente, o braço é rotacionado externamente até a posição de 90° (ou seja, perpendicular ao eixo longitudinal do corpo); a luxação do ombro deve reduzir após 5 minutos
Acervo pessoal do Dr. Paul Novakovich
Veja esta imagem em contexto nas seguintes seções:

Luxação articular
Método de Kocher de redução de ombro, parte 1: tração em linha do braço enquanto está em abdução a 45°; enquanto a tração é mantida, o braço é rotacionado externamente e o cotovelo é levado até a linha média do tórax
Acervo pessoal do Dr. Paul Novakovich
Veja esta imagem em contexto nas seguintes seções:

Luxação articular
Técnica de Milch para redução do ombro, parte 2: depois que o braço atingiu a posição de abdução de 90° e rotação externa de 90°, a luxação do ombro deve reduzir espontaneamente; caso contrário, a cabeça do úmero pode ser palpada na axila, e uma pressão súperolateral pode então ser aplicada utilizando-se o polegar e o dedo indicador para ajudar a guiar a cabeça do úmero de volta à glenoide
Acervo pessoal do Dr. Paul Novakovich
Veja esta imagem em contexto nas seguintes seções:

Luxação articular
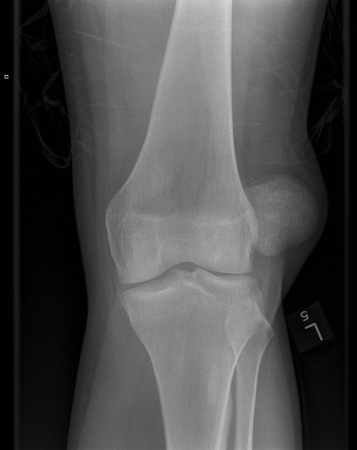
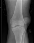
Radiografia do joelho esquerdo demonstrando luxação lateral da patela
Yerimah G, et al. BMJ Case Rep. 2013 May 2:2013:bcr2013009832; usado com permissão
Veja esta imagem em contexto nas seguintes seções:

Luxação articular
Radiografia com incidência anteroposterior do ombro mostrando uma luxação posterior despercebida: a articulação glenoumeral aparece reduzida
Acervo pessoal do Dr. Paul Novakovich
Veja esta imagem em contexto nas seguintes seções:

Luxação articular
Incidência em Y escapular de radiografia mostrando uma luxação anterior de ombro
Acervo pessoal do Dr. Paul Novakovich
Veja esta imagem em contexto nas seguintes seções:

Luxação articular
Incidência axilar normal de radiografia de luxação de ombro reduzida, mostrando a congruência da articulação glenoumeral
Acervo pessoal do Dr. Paul Novakovich
Veja esta imagem em contexto nas seguintes seções:

Luxação articular
Axilar lateral de um ombro com uma luxação posterior perdida: a cabeça do úmero claramente não está reduzida e está bloqueada na borda posterior da glenoide
Acervo pessoal do Dr. Paul Novakovich
Veja esta imagem em contexto nas seguintes seções:

Luxação articular
Incidência em Y escapular da radiografia mostrando uma luxação anterior de ombro e fratura da tuberosidade maior
Acervo pessoal do Dr. Paul Novakovich
Veja esta imagem em contexto nas seguintes seções:

Luxação articular
Incidência anteroposterior de radiografia de luxação do cotovelo
Acervo pessoal do Dr. Paul Novakovich
Veja esta imagem em contexto nas seguintes seções:

Luxação articular
Falange distal deslocada, dedo indicador, mão esquerda
Bobjgalindo, CC BY-SA 4.0, via Wikimedia Commons
Veja esta imagem em contexto nas seguintes seções:

Luxação articular
Luxação do cotovelo direito: cabeça do rádio deslocada (a), olécrano (b) e tendão do tríceps tenso (c), resultando em uma depressão na pele (d) logo proximal à cabeça do rádio
Lui TH, et al. BMJ. 2020 Oct 8:371:m3494; usado com permissão
Veja esta imagem em contexto nas seguintes seções:

Luxação articular
Luxação patelar: joelho mantido em flexão parcial com uma massa visível lateral ao côndilo femoral lateral
Yerimah G et al. BMJ Case Rep. 2013 May 2:2013:bcr2013009832; usado com permissão
Veja esta imagem em contexto nas seguintes seções:

Luxação articular
Método da rotação externa para redução do ombro, parte 1: o paciente é colocado na posição supina, e o membro afetado é levemente aduzido até que esteja paralelo ao eixo longitudinal do corpo; depois disso, o cotovelo é flexionado a 90°
Acervo pessoal do Dr. Paul Novakovich
Veja esta imagem em contexto nas seguintes seções:

Luxação articular
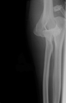
Incidência anteroposterior de radiografia de luxação do cotovelo reduzida
Acervo pessoal do Dr. Paul Novakovich
Veja esta imagem em contexto nas seguintes seções:

Luxação articular
Método de tração-contratração: com o paciente na posição supina no leito, um lençol é enrolado ao redor da axila com uma ponta livre sobre o tórax e a outra por baixo das costas; as 2 pontas devem ter o mesmo tamanho e são usadas por um assistente para aplicar a contratração. O terapeuta abduz o braço até a posição de 90° e dobra o cotovelo a 90°; o antebraço é usado para aplicar tração longitudinal lenta no membro afetado
Acervo pessoal do Dr. Paul Novakovich
Veja esta imagem em contexto nas seguintes seções:
Vídeos
- Redução fechada de luxação posterolateral do cotovelo
Redução fechada de luxação posterolateral do cotovelo
O uso deste conteúdo está sujeito ao nosso aviso legal