Imagens e vídeos
IMAGENS

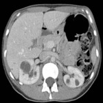
Doença renal policística
Tomografia computadorizada (TC) do abdome e da pelve de um paciente com doença leve
Da coleção do Dr. M. Hogan
Veja esta imagem em contexto nas seguintes seções:

Doença renal policística
Patologia macroscópica de rins policísticos
Adaptado do Dr. Edwin P. Ewing, Jr., Public Health Image Library, CDC (1972)
Veja esta imagem em contexto nas seguintes seções:

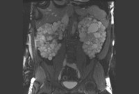
Doença renal policística
Ressonância nuclear magnética (RNM) do abdome e da pelve de paciente com doença renal policística sintomática
Da coleção do Dr. M. Hogan
Veja esta imagem em contexto nas seguintes seções:
Vídeos
Punção lombar diagnóstica em adultos: demonstração animadaComo realizar uma punção lombar diagnóstica em adultos. Inclui uma discussão sobre o posicionamento do paciente, a escolha da agulha e a medição da pressão de abertura e fechamento.
O uso deste conteúdo está sujeito ao nosso aviso legal