Imagens e vídeos
IMAGENS

Fraturas do tornozelo
Aplicação de tala gessada: uma camada opcional de acolchoamento 100% algodão por baixo do gesso sobre a placa para impedir que a faixa tensora ou a flanela grudem e para permitir a fácil remoção. Bandagem tensora aplicada (alguns utilizam flanela) com tensão mínima ou nenhuma; "apenas enrolada"
Do acervo de B. Petrisor, MD; usado com permissão
Veja esta imagem em contexto nas seguintes seções:

Fraturas do tornozelo
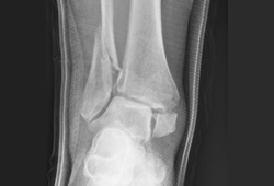
Visão da articulação de encaixe de uma fratura-luxação trimaleolar com ruptura concomitante da sindesmose
Do acervo de B. Petrisor, MD; usado com permissão
Veja esta imagem em contexto nas seguintes seções:

Fraturas do tornozelo
Visão lateral de uma fratura trimaleolar após a fixação
Do acervo de B. Petrisor, MD; usado com permissão
Veja esta imagem em contexto nas seguintes seções:

Fraturas do tornozelo
Aplicação de tala gessada: colocação de placas de gesso (2 suportes laterais envolvendo os lados do pé e um suporte posterior)
Do acervo de B. Petrisor, MD; usado com permissão
Veja esta imagem em contexto nas seguintes seções:

Fraturas do tornozelo
Aplicação de tala gessada: acolchoamento 100% algodão geralmente aplicado por baixo do gesso sobrepondo aproximadamente 50% para proporcionar pelo menos 2 camadas de acolchoamento sob o gesso
Do acervo de B. Petrisor, MD; usado com permissão
Veja esta imagem em contexto nas seguintes seções:

Fraturas do tornozelo
Visão da articulação de encaixe de uma fratura trimaleolar após a fixação. Nota: 2 parafusos na sindesmose também foram usados
Do acervo de B. Petrisor, MD; usado com permissão
Veja esta imagem em contexto nas seguintes seções:
O uso deste conteúdo está sujeito ao nosso aviso legal