Imagens e vídeos
IMAGENS

Poliarterite nodosa
Critérios de 1990 do American College of Rheumatology para poliarterite nodosa (PAN)
Adaptado pelos autores de Lightfoot RW Jr, Michel BA, Bloch DA, et al. The American College of Rheumatology 1990 criteria for the classification of polyarteritis nodosa. Artrite reum. 1990;33:1088-1093
Veja esta imagem em contexto nas seguintes seções:

Poliarterite nodosa
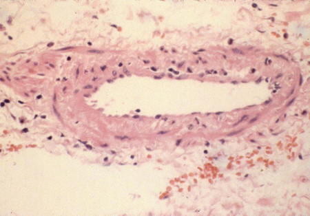
Espécime para estudo patológico de artéria muscular de tamanho médio mostrando inflamação transmural
Do acervo do Dr Raashid Luqmani
Veja esta imagem em contexto nas seguintes seções:

Poliarterite nodosa
Erupção cutânea vesicobolhosa com necrose
Do acervo do Dr Raashid Luqmani
Veja esta imagem em contexto nas seguintes seções:

Poliarterite nodosa
Grande úlcera cutânea em um paciente com poliarterite nodosa (PAN)
Do acervo do Dr Raashid Luqmani
Veja esta imagem em contexto nas seguintes seções:

Poliarterite nodosa
Úlceras cutâneas nos membros inferiores são uma manifestação comum de poliarterite nodosa (PAN)
Do acervo do Dr Raashid Luqmani
Veja esta imagem em contexto nas seguintes seções:

Poliarterite nodosa
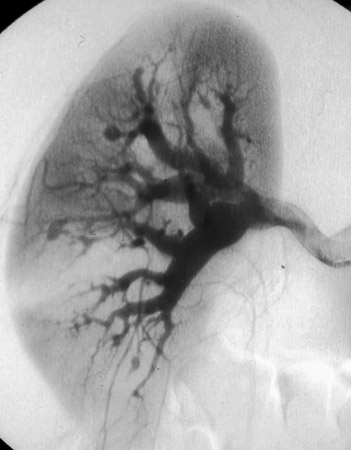
Angiografia renal mostrando aneurismas, uma característica clássica de poliarterite nodosa (PAN)
Do acervo do Dr Raashid Luqmani
Veja esta imagem em contexto nas seguintes seções:

Poliarterite nodosa
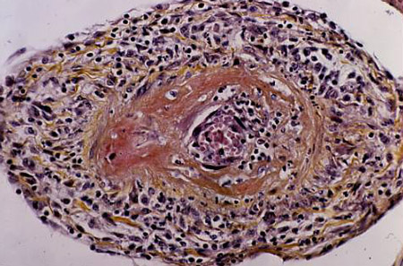
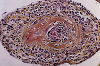
Espécime de biópsia mostrando inflamação transmural visível de uma pequena artéria
Do acervo do Dr Loic Guillevin
Veja esta imagem em contexto nas seguintes seções:

Poliarterite nodosa
Angiografia mesentérica mostrando pequenos aneurismas e microaneurismas
Do acervo do Dr Loic Guillevin
Veja esta imagem em contexto nas seguintes seções:

Poliarterite nodosa
Uma erupção cutânea púrpura é um aspecto comum
Do acervo do Dr Loic Guillevin
Veja esta imagem em contexto nas seguintes seções:

Poliarterite nodosa
Angiografia renal mostrando aneurismas e microaneurismas
Do acervo do Dr Loic Guillevin
Veja esta imagem em contexto nas seguintes seções:

Poliarterite nodosa
Gangrena digital decorrente de vasculite de vasos médios
Do acervo do Dr Raashid Luqmani
Veja esta imagem em contexto nas seguintes seções:
O uso deste conteúdo está sujeito ao nosso aviso legal