Abordagem
Qualquer suspeita de vasculite sistêmica deve ser investigada urgentemente, pois, se não forem tratadas, essas doenças podem trazer alta morbidade e mortalidade. O diagnóstico de poliarterite nodosa (PAN) pode ser desafiador, pois as características individuais não são distinguíveis das de muitas outras doenças. A combinação de sintomas constitucionais e sintomas isquêmicos em um ou mais sistemas de órgãos deve aumentar a possibilidade de vasculite sistêmica.
Sintomas sistêmicos inespecíficos, como febre, perda de peso, fraqueza e mialgia, são encontrados em 65% a 80% dos pacientes na ocasião do diagnóstico.[16][20] Podem estar presentes manifestações em órgãos específicos no início da doença, envolvendo apenas um órgão ou diversos sistemas, ou a doença pode seguir uma evolução mais indolente, com o envolvimento dos órgãos reconhecido somente meses ou anos mais tarde.
O envolvimento renal nas vasculites sistêmicas traz um prognóstico desfavorável. Glomerulonefrite não é uma característica de PAN, mas é comum em vasculite de anticorpos anticitoplasma de neutrófilos (ANCA). A distinção precoce por meio de urinálise para proteínas, sangue e cilindros é um exame simples de primeira linha que pode orientar a investigação e o tratamento adicionais.
Possíveis manifestações em órgãos específicos
Os seguintes sistemas corporais podem estar envolvidos no início da PAN não relacionada ao vírus da hepatite B (HBV):[16][20]
Sistema nervoso (em 55% dos pacientes)
Pele (em 44%)
Órgãos abdominais (em 33%)
Rins (em 11%)
Sistema musculoesquelético (em 24% a 80%).
Índices semelhantes são encontrados no envolvimento de órgãos na PAN relacionada ao HBV.[20]
O envolvimento do sistema nervoso normalmente apresenta mononeurite múltipla, com sintomas sensoriais precedendo deficits motores.[31] O envolvimento do sistema nervoso central é um achado menos frequente e pode apresentar encefalopatia, convulsões ou acidente vascular cerebral (AVC).[25][32]
Manifestações cutâneas incluem púrpura, nódulos, livedo reticular, úlceras, erupções bolhosas ou vesiculares e edema cutâneo segmentar.[20][22][33][34]
No envolvimento abdominal, a dor é uma característica precoce de doença da artéria mesentérica. O envolvimento progressivo pode causar infarto intestinal, hepático ou esplênico; perfuração intestinal; ou sangramento proveniente de um aneurisma arterial.[35] Apresentações menos comuns incluem apendicite, pancreatite ou colecistite resultante de isquemia ou infarto desses órgãos.[36]
Vasculite das artérias renais é um achado comum. Ela pode se apresentar com comprometimento renal ou infartos renais ou com ruptura de aneurismas da artéria renal. A isquemia glomerular pode ocasionar leve proteinúria ou hematúria, mas sem a presença de cilindros eritrocitários, pois a inflamação glomerular não é uma característica. Se houver evidência de inflamação glomerular, como cilindros urinários, um diagnóstico alternativo, como poliangiite microscópica (PAM) ou granulomatose com poliangiite (GPA, anteriormente conhecida como granulomatose de Wegener), deve ser considerado. Hipertensão é uma manifestação de isquemia renal pela ativação do sistema renina-angiotensina.[37]
O envolvimento musculoesquelético pode se manifestar por meio de artrite, artralgia, mialgia ou fraqueza muscular. Quando há envolvimento do músculo, este proporciona um local útil para biópsia.[20][24]
Outras manifestações podem envolver qualquer sistema de órgãos. Têm sido descritos isquemia cardíaca, cardiomiopatia, envolvimento das mamas ou do útero e sintomas oculares decorrentes de neuropatia óptica isquêmica ou de retinopatia.[20][25][38] Embora a dor testicular decorrente de orquite isquêmica seja um aspecto clássico, ela é uma apresentação incomum.[20][39]
Exame físico
Em pacientes nos quais há suspeita de vasculite, é necessário um exame físico completo para identificar os sistemas de órgãos potencialmente envolvidos. O exame físico deve incluir, no mínimo:
Geral - investigar temperatura elevada e perda de peso (atual e prévia)
Pele - procurar por púrpura, úlceras, erupções bolhosas ou vesiculares, áreas de infarto cutâneo e livedo reticular
Exame ocular - teste para deficiência visual e procurar hemorragia retiniana e isquemia óptica
Exame neurológico - teste para neuropatias periféricas, AVC e confusão
Exame abdominal - avaliar quanto à ocorrência de desconforto abdominal ou peritonite e realizar um exame retal para verificar sinais de sangramento
Exame cardiovascular - verificar a pulsação periférica e pressão arterial e procurar sinais de insuficiência cardíaca congestiva, pericardite ou patologia valvar
Exame musculoesquelético - avaliar quanto à existência de sinovite, artralgia e sensibilidade muscular ou miastenia
Exame geniturinário - avaliar sensibilidade testicular
Otorrinolaringologia - procurar crostas nasais e sinais de sinusite e avaliar a perda auditiva; a presença dessas características sugere um diagnóstico alternativo, como GPA em vez de PAN
Exame respiratório - o envolvimento pulmonar não é observado na PAN e achados respiratórios anormais devem sugerir um diagnóstico alternativo
Pressão arterial - pressão arterial diastólica >90 mmHg pode ser sugestiva de PAN.[Figure caption and citation for the preceding image starts]: Uma erupção cutânea púrpura é um aspecto comumDo acervo do Dr Loic Guillevin [Citation ends].
[Figure caption and citation for the preceding image starts]: Úlceras cutâneas nos membros inferiores são uma manifestação comum de poliarterite nodosa (PAN)Do acervo do Dr Raashid Luqmani [Citation ends].
[Figure caption and citation for the preceding image starts]: Grande úlcera cutânea em um paciente com poliarterite nodosa (PAN)Do acervo do Dr Raashid Luqmani [Citation ends].
[Figure caption and citation for the preceding image starts]: Erupção cutânea vesicobolhosa com necroseDo acervo do Dr Raashid Luqmani [Citation ends].
[Figure caption and citation for the preceding image starts]: Gangrena digital decorrente de vasculite de vasos médiosDo acervo do Dr Raashid Luqmani [Citation ends].
Exames laboratoriais
Não há exames laboratoriais específicos para diagnosticar a PAN, mas alguns exames podem ser úteis para dar suporte ao diagnóstico, identificar órgãos afetados e descartar diagnósticos alternativos.
Os resultados dos testes que ajudam a dar suporte ao diagnóstico incluem:
Proteína C-reativa e/ou velocidade de hemossedimentação elevada, que sugere inflamação sistêmica
Fibrinogênio elevado, que é um marcador de inflamação aguda; os níveis de fibrinogênio podem ser baixos na síndrome antifosfolipídica catastrófica
Creatinina sérica elevada, tipicamente sem hematúria ou proteinúria na urinálise, que pode indicar isquemia ou infarto renal; entretanto, proteinúria ou hematúria significativa (principalmente cilindros eritrocitários) sugeririam doença glomerular, que não é um aspecto de PAN
Testes de função hepática anormais, que podem sugerir hepatite por HBV ou como resultado de hepatite isquêmica causada por PAN envolvendo as artérias hepáticas[20]
Sorologia positiva para HBV, que dá suporte ao diagnóstico[20]
Hemograma completo, que pode mostrar anemia como resultado de inflamação crônica ou de sangramento gastrointestinal
Baixos níveis de complemento, causados pela ativação da cascata do complemento por imunocomplexos (principalmente na PAN relacionada ao HBV)
Creatina quinase normal ou com discreta elevação, independentemente de qualquer envolvimento muscular.
Os exames que devem ser feitos para excluir outras causas incluem:
Hemoculturas, para excluir endocardite ou outra mimetização infecciosa de vasculite
Sorologia do vírus da hepatite C (HCV) e crioglobulinas; embora o HCV tenha sido associado a uma manifestação de PAN limitada à pele, ele está normalmente associado a uma vasculite de vasos pequenos relacionada à crioglobulinemia
ANCA, que se positivo sugeriria outro tipo de vasculite, como GPA ou PAM; um ANCA negativo é útil para corroborar o diagnóstico de PAN no contexto certo[3][20]
Fator reumatoide e anticorpos antipeptídeos citrulinados cíclicos (anticorpos anti-CCP), para descartar artrite reumatoide, principalmente em um paciente que predominantemente apresente características artríticas
Fator antinuclear e anticorpos antiácido desoxirribonucleico (anti-DNA) de fita dupla em pacientes com características clínicas consistentes com lúpus eritematoso sistêmico ou outras doenças do tecido conjuntivo
Anticoagulante lúpico, anticorpos antifosfolipídeos e glicoproteína B2, que podem estar presentes na síndrome antifosfolipídica
teste de vírus da imunodeficiência humana (HIV)
Teste genético para falta de mutações de função no gene adenosina desaminase 2 (ADA2) (antes denominado gene CECR1) em pacientes jovens com características de PAN, especialmente se o AVC fizer parte da apresentação.
Exames por imagem
Angiografia convencional, ressonância magnética (RM) ou angiotomografia, ultrassonografia com Doppler e radiografia torácica, todos têm sua utilidade para o diagnóstico.
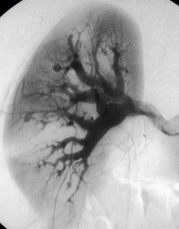
A angiografia convencional é a modalidade de exame de imagem de escolha e deve ser realizada caso haja suspeita clínica de PAN. A sensibilidade relatada é de 89%. A especificidade é de 90% quando realizada em pacientes com suspeita de vasculite.[40] Achados clássicos incluem pequenos aneurismas múltiplos, ectasia vascular e lesões oclusivas focais em vasos de tamanho médio, mais tipicamente nas artérias renais e mesentéricas.
RM ou angiotomografia são alternativas menos invasivas à angiografia convencional, mas são muito menos sensíveis em mostrar microaneurismas.[41] Elas apresentam a vantagem de mostrar áreas de infarto renal e outra patologia potencial. No contexto de alta suspeita de PAN com tomografia computadorizada (TC) ou angiografia por ressonância magnética normal, ainda é necessário realizar uma angiografia convencional.
Foi observado em relatos de casos individuais que a ultrassonografia com Doppler identificou com sucesso aneurismas renais e hepáticos relacionados à PAN.[42]
A PAN não afeta os pulmões, mas a radiografia torácica pode ser útil em descartar outras doenças, como outras vasculites que podem afetar os pulmões, e excluir infecção.[Figure caption and citation for the preceding image starts]: Angiografia renal mostrando aneurismas, uma característica clássica de poliarterite nodosa (PAN)Do acervo do Dr Raashid Luqmani [Citation ends].
[Figure caption and citation for the preceding image starts]: Angiografia renal mostrando aneurismas e microaneurismasDo acervo do Dr Loic Guillevin [Citation ends].
[Figure caption and citation for the preceding image starts]: Angiografia mesentérica mostrando pequenos aneurismas e microaneurismasDo acervo do Dr Loic Guillevin [Citation ends].
Biópsia
A biópsia deve ser realizada se a angiografia não estiver disponível ou não mostrar de forma conclusiva uma vasculite de vasos médios. Vários órgãos ou tecidos podem ser amostrados. O tecido escolhido para amostragem deve ser direcionado pelas evidências de envolvimento clínico a partir da anamnese ou do exame físico. Músculos, nervos periféricos, rins, testículos e reto, quando envolvidos, fornecem os melhores alvos. Uma biópsia de pele positiva nem sempre indica envolvimento sistêmico.[43]
Uma biópsia que mostre uma artéria de tamanho médio com evidência de inflamação necrosante transmural focal e segmentar sustenta o diagnóstico de PAN.[25][43]A presença de aspectos clínicos ou laboratoriais indicando o envolvimento de pequenos vasos deve ser investigada,[44]pois ela sugere uma forma alternativa de vasculite, como PAM.
Nas descrições patológicas de PAN, o envolvimento das bifurcações vasculares é relatado como característica comum. Diferentes etapas de inflamação e cicatrização, assim como áreas da parede vascular normal, geralmente coexistem. Áreas de inflamação aguda tipicamente apresentam um infiltrado celular pleomórfico de linfócitos, neutrófilos, macrófagos e eosinófilos. Podem ocorrer aneurismas no local das lesões ativas. A cicatrização proliferativa em outras áreas pode causar estenose vascular.[25][37][43][44][Figure caption and citation for the preceding image starts]: Espécime para estudo patológico de artéria muscular de tamanho médio mostrando inflamação transmuralDo acervo do Dr Raashid Luqmani [Citation ends].
[Figure caption and citation for the preceding image starts]: Espécime de biópsia mostrando inflamação transmural visível de uma pequena artériaDo acervo do Dr Loic Guillevin [Citation ends].
O uso deste conteúdo está sujeito ao nosso aviso legal