Investigações
Primeiras investigações a serem solicitadas
eletrocardiograma (ECG)
Exame
Fornece somente evidências de suporte. É necessária ecocardiografia para confirmar a presença de regurgitação aórtica (RA).
RA crônica grave: pode demonstrar alterações inespecíficas na onda ST-T, hipertrofia ventricular esquerda (HVE) com desvio do eixo esquerdo decorrente de aumento compensatório da câmara VE ou contração ventricular prematura isolada. Nos estágios tardios de disfunção VE, podem ser observados retardos de condução do VE.
RA aguda: pode revelar algumas alterações inespecíficas na onda ST-T e taquicardia sinusal ou arritmias; também podem estar presentes evidências de isquemia miocárdica.
Também podem ser observadas anormalidades de condução em endocardite infecciosa ativa resultante de abscesso paravalvar.
Resultado
pode apresentar alterações inespecíficas na onda ST-T, desvio do eixo esquerdo ou anormalidades de condução
radiografia torácica
Exame
A RA crônica pode produzir cardiomegalia na direção esquerda e inferior em virtude da hipertrofia excêntrica decorrente de volume diastólico final elevado. O botão aórtico é tipicamente proeminente em pacientes gravemente hipertensos e nos que apresentam dilatação da raiz aórtica.
Na RA crônica grave, a raiz aórtica às vezes aumenta progressivamente em virtude do volume sistólico elevado e da pressão arterial sistólica elevada; a calcificação da valva aórtica é incomum na RA pura, mas pode ser observada em pacientes com estenose atrial e RA combinadas.
Resultado
pode mostrar cardiomegalia
ecocardiograma
Exame
É o método preferencial para a detecção não invasiva e a avaliação da gravidade e da etiologia da RA.
Resultado
visualização da origem do jato regurgitante e sua largura; detecção da causa da patologia da valva aórtica
modo-M e imagem bidimensional
Exame
Ajuda indiretamente a avaliar RA. A ecocardiografia bidimensional é muito importante na avaliação da anatomia valvar e da dilatação da raiz aórtica e no monitoramento da resposta ventricular esquerda à sobrecarga de volume.[Figure caption and citation for the preceding image starts]: Incidência do eixo paraesternal longitudinal demonstrando jato de regurgitação aórticaDos acervos Dr. Sanjeev Wasson e Dr. Nishant Kalra; usado com permissão [Citation ends].
Possíveis achados incluem fechamento prematuro da valva mitral (regurgitação aórtica grave/aguda), vibração diastólica do folheto mitral anterior a partir do jato aórtico regurgitante e movimento septal interventricular hiperdinâmico.
Resultado
avaliação da anatomia valvar, dilatação da raiz aórtica e resposta ventricular esquerda à sobrecarga de volume
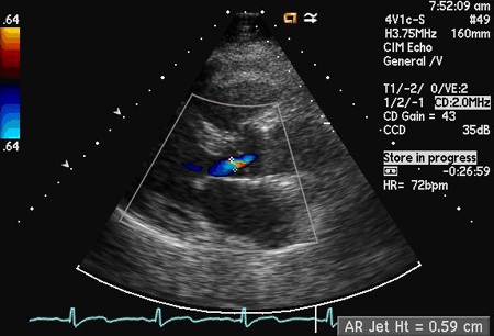
Dopplerfluxometria colorida
Exame
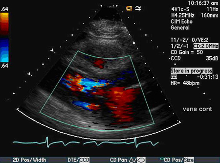
Uma das técnicas mais específicas e sensíveis usadas para julgar a gravidade do fluxo regurgitante, que usa a relação entre a largura do jato proximal e a via de saída do ventrículo esquerdo e a relação entre a área transversal do jato e a via de saída do ventrículo esquerdo. A vena contracta, que é a região mais estreita do jato regurgitante logo abaixo da valva aórtica, também pode ser usada.[24][Figure caption and citation for the preceding image starts]: Incidência do eixo paraesternal longitudinal demonstrando largura e altura de jato de regurgitação aórticaDos acervos Dr. Sanjeev Wasson e Dr. Nishant Kalra; usado com permissão [Citation ends].
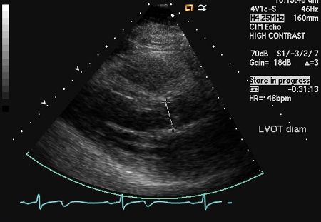
[Figure caption and citation for the preceding image starts]: Incidência do eixo paraesternal longitudinal demonstrando o diâmetro da via de saída do ventrículo esquerdoDos acervos Dr. Sanjeev Wasson e Dr. Nishant Kalra; usado com permissão [Citation ends].
[Figure caption and citation for the preceding image starts]: Incidência do eixo paraesternal longitudinal mostrando vena contracta do jato de regurgitação aórticaDos acervos Dr. Sanjeev Wasson e Dr. Nishant Kalra; usado com permissão [Citation ends].
Antigamente era usado o comprimento da coluna de jato no ventrículo, mas esse critério atualmente não é mais considerado uma medida da gravidade.
Incidências paraesternais têm preferência sobre a incidência apical devido à melhor resolução axial.
Resultado
detecção e quantificação do fluxo regurgitante
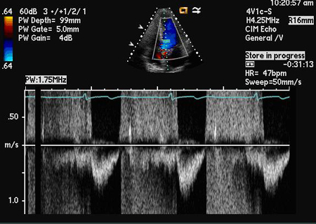
Doppler de onda pulsada
Exame
À medida que a RA se agrava, ocorre um maior grau de reversão de fluxo e a reversão do fluxo holodiastólico indica RA grave; o Doppler de onda pulsada pode quantificar este efeito pela avaliação do volume sistólico regurgitante e da área eficaz do orifício regurgitante.
A reversão do fluxo diastólico é medida na aorta descendente a partir de uma posição supraesternal da sonda.[Figure caption and citation for the preceding image starts]: Doppler de onda pulsada do jato regurgitanteDos acervos Dr. Sanjeev Wasson e Dr. Nishant Kalra; usado com permissão [Citation ends].
O volume sistólico regurgitante pode ser calculado subtraindo-se o volume sistólico para diante, que pode ser determinado na valva mitral, do volume sistólico total (valva aórtica). Tanto o volume sistólico regurgitante quanto a fração regurgitante podem ser calculados dessa forma.
A área eficaz do orifício regurgitante é outra medida para avaliar a gravidade da RA e pode ser calculada dividindo-se o volume sistólico regurgitante pela integral de tempo da velocidade do jato da RA avaliada por Doppler de onda contínua.[24]
Resultado
detecção e quantificação do fluxo holodiastólico reverso
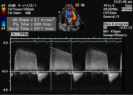
Doppler de onda contínua
Exame
À medida que a RA se agrava, a pressão diastólica do ventrículo esquerdo aumenta rapidamente e a pressão diastólica aórtica diminui rapidamente, acarretando em um tempo de meia-pressão mais curto ou uma inclinação mais abrupta da desaceleração da velocidade. Essas medidas podem ser usadas como parte da avaliação da gravidade da RA.[Figure caption and citation for the preceding image starts]: Doppler de onda contínua do jato regurgitante demonstrando o tempo de meia-pressão da velocidade regurgitante aórticaDos acervos Dr. Sanjeev Wasson e Dr. Nishant Kalra; usado com permissão [Citation ends].
Resultado
pode mostrar tempo de meia-pressão mais curto ou inclinação mais abrupta da desaceleração da velocidade na RA grave
Investigações a serem consideradas
angiocintilografia
Exame
Um método útil, preciso e não invasivo para avaliação de regurgitação aórtica (RA) em pacientes com ecocardiograma abaixo do ideal. Medições em série podem ser úteis para a detecção precoce de disfunção sistólica.[25]
Resultado
medição da fração de ejeção e da fração de regurgitação; detecção do aumento ventricular relativo
RNM
Exame
Fornece avaliação precisa dos diâmetros e volume ventriculares, na sístole e na diástole. Também mostra a medição precisa do volume regurgitante e do tamanho do orifício. A RNM é a técnica não invasiva mais precisa para avaliação de RA, mas raramente é usada por causa de seu alto custo. A RNM pode ser usada para a avaliação inicial e serial da função ventricular esquerda, do volume e da gravidade da RA em pacientes com um ecocardiograma inconclusivo.
Resultado
medição do diâmetro e do volume ventricular, do volume regurgitante e do tamanho do orifício
teste ergométrico
Exame
Não é usado como teste diagnóstico, mas pode ser usado para avaliar a resposta sintomática em pacientes com história de sintomas duvidosos e RA crônica.[1]
Resultado
avaliação da capacidade funcional e resposta sintomática
cateterismo cardíaco
Exame
Usado para avaliar a anatomia coronariana em pacientes com alto risco de doença arterial coronariana (DAC) e que serão submetidos a reparo/substituição cirúrgica da valva aórtica. Homens com idade >35 anos, mulheres em período pré-menopausa com idade >35 anos com fatores de risco para DAC e mulheres menopausadas devem se submeter à angiografia coronariana. Embora o ecocardiograma avalie com precisão a gravidade da RA, se os resultados forem inconclusivos ou discordantes com os achados clínicos, o cateterismo cardíaco deverá ser realizado para avaliar a gravidade da RA e da função ventricular esquerda (VE).[1] Com a ajuda da angiografia da raiz aórtica, a gravidade da RA e o tamanho da raiz aórtica podem ser avaliados.
Resultado
avaliação da extensão e gravidade da doença arterial coronariana (DAC) e medição da função VE associada
O uso deste conteúdo está sujeito ao nosso aviso legal