Diagnósticos diferenciais
Diretriz confiável
ebpracticenet recomenda que você priorize as seguintes diretrizes locais:
Klinische richtlijn rond lage rugpijn en radiculaire pijnPublicada por: KCEÚltima publicação: 2018Guide de pratique clinique pour les douleurs lombaires et radiculairesPublicada por: KCEÚltima publicação: 2018comuns
Torção/entorse muscular lombar
História
dor intensa aguda por 1 a 2 dias, espasmo muscular, a maioria dos pacientes se recupera dentro de 3 meses
Exame físico
exame físico benigno, pode revelar restrição da amplitude de movimento, sensibilidade muscular ou pontos-gatilho, o diagnóstico é de exclusão
Primeira investigação
- nenhuma:
diagnóstico clínico
Mais
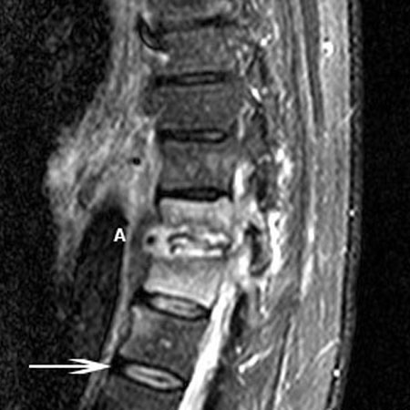
Núcleo pulposo herniado
História
irradiação da dor para os membros inferiores em uma distribuição dermátoma; história de disfunção intestinal ou vesical, dor ciática bilateral e anestesia em sela podem ser sintomas de compressão grave da cauda equina
Exame físico
elevação da perna estendida ou da perna contralateral estendida positivas para dor (reproduzida abaixo de 60° de flexão do quadril; a dor que ocorre acima de 60° geralmente é secundária a tensão no tendão isquiotibial); um teste de estiramento femoral positivo pode sugerir hérnia de disco lombar superior
Primeira investigação
- RNM:
hérnia de disco
Mais
Outras investigações
- radiografias simples:
nenhuma anormalidade é normalmente encontrada em radiografias simples
Mais
Estenose da coluna vertebral
História
dor intermitente irradiando para a coxa ou pernas, se agrava na postura ortostática, atividade ou extensão lombar prolongada; dor geralmente aliviada na postura sentada, deitada e/ou flexão lombar; paciente pode descrever queimação, dormência, sensação de peso ou fraqueza intermitente em suas pernas, dor unilateral ou bilateral radicular, déficits motores, disfunção intestinal ou vesical e dores nas costas e nádegas na postura ereta e ao deambular
Exame físico
pacientes caminham flexionados para a frente; pacientes com claudicação vascular possuem pulsos diminuídos e alterações cutâneas típicas, como descoloração, brilho e afinamento da pele
Primeira investigação
- RNM:
estenose da coluna vertebral, hipertrofia das facetas articulares e/ou ligamento amarelo com correspondente diminuição da dimensão do diâmetro do canal vertebral
Mais
Outras investigações
- radiografias simples:
artrite degenerativa; formação de osteófitos difusos normalmente observada em simultâneo com espondilolistese degenerativa ou escoliose
Mais
Fratura por compressão
História
normalmente história de trauma, apesar do evento agudo nem sempre ser lembrado; dor em repouso e à noite, história pregressa de fraturas por fragilidade (por exemplo, rádio distal, quadril ou outras fraturas por compressão vertebral); história de osteoporose ou risco de osteoporose (ou seja, idade avançada, pós-menopausa, tratamento prolongado com esteroides)
Exame físico
sensibilidade à palpação ao longo da linha média, aumento da cifose, exame neurológico normal, a menos que haja retropulsão óssea nos elementos neurais, como fraturas em explosão
Primeira investigação
- radiografias simples:
deformidade em cunha dos corpos vertebrais, tipicamente na parte anterior; deformidade cifótica, apenas a metade anterior do corpo vertebral está envolvida em fraturas por compressão
Mais
Doença degenerativa do disco ou artropatia facetária
História
os sintomas discogênicos se agravam com a flexão para a frente, ao tossir/espirrar ou levantar peso; a dor mediada pelas facetas é geralmente agravada com a extensão
Exame físico
diminuição da amplitude de movimento decorrente da dor e leve sensibilidade à palpação; a dor é reproduzida com a flexão na dor discogênica e com a extensão na artropatia facetária
Primeira investigação
- nenhum exame inicial:
diagnóstico clínico
Mais
Outras investigações
- RNM:
doença degenerativa discal: perda de altura discal, colapso da placa terminal e sinal T2 geralmente diminuído no disco; ruptura anular; artropatia facetária: hipertrofia da faceta e possível sinal T2 na articulação
Mais - radiografias simples:
artrite degenerativa e formação de osteófitos difusos
Mais
Sacroileíte
História
dorsalgia, talvez dor nos membros inferiores
Exame físico
sensibilidade à palpação na articulação sacroilíaca; o teste de impulsão da coxa, o teste de distração, o teste de Gaenslen, o teste de compressão pélvica e/ou o teste FABER podem ser positivos. Três ou mais testes positivos indicam que a ASI é provavelmente a causadora da dor
Primeira investigação
- nenhuma:
diagnóstico clínico
Outras investigações
- radiografias simples:
em geral, nenhuma outra anormalidade é observada
- injeção de bloqueio anestésico local diagnóstico para articulação sacroilíaca com orientação fluoroscópica do braço C:
diminuição significativa da dor após injeção da articulação sacroilíaca
Incomuns
Síndrome da cauda equina
História
disfunção sexual, vesical ou intestinal, dorsalgia com ou sem ciática; os sintomas podem surgir gradualmente; história de hérnia de disco lombar, estenose da coluna vertebral, lesão na medula espinhal, neoplasia espinhal (primária ou metástase), infecção (por exemplo, tuberculose), cirurgia da coluna vertebral
Exame físico
alterações sensoriais na sela ou área perianal; alterações sensoriais ou dormência nos membros inferiores; fraqueza nos membros inferiores, redução ou perda dos reflexos nos membros inferiores; tônus anal reduzido
Primeira investigação
- RNM com ou sem contraste:
compressão da cauda equina
Mais
Compressão da medula espinhal
História
dorsalgia localizada, com ou sem dor radicular; história de trauma da coluna vertebral, fratura por compressão vertebral, hérnia de disco, tumor ou infecção; sensação alterada ou perda hemissensitiva; fraqueza; constipação, retenção urinária
Exame físico
alteração sensitiva abaixo de certo nível ou perda hemissensitiva; hemiplegia/hemiparesia, paraplegia/paraparesia ou tetraplegia/tetraparesia; hiporreflexia (hiper-reflexia pode ocorrer precocemente se a causa for uma neoplasia), sinal de Babinski positivo; diminuição do tônus anal
Primeira investigação
- RNM da coluna vertebral:
compressão da medula espinhal
Mais
Outras investigações
- tomografia computadorizada (TC) da coluna vertebral:
compressão da medula espinhal
Mais
Espondilólise e/ou espondilolistese
História
a maioria é assintomática; dor na coluna lombar com irradiação ocasional para a região posterior da coxa e agravada pela extensão
Exame físico
lordose exagerada, nádegas em formato de coração ou "degeneração" mediana dos processos espinhosos podem estar presentes; dor com teste de hiperextensão unipodal pode estar presente (este teste tem baixas sensibilidade e especificidade; uma combinação de achados é necessária para o diagnóstico)
Primeira investigação
- radiografias simples:
radiolucência linear nos pares interarticulares
Mais
Discite/osteomielite vertebral
História
infecção deve ser considerada para pacientes com história de febre, perda de peso e dorsalgia não mecânica (isto é, a dor que ocorre mesmo sem movimento, particularmente em repouso e à noite); história de uso de drogas intravenosas, imunossupressão ou diabetes
Exame físico
aparência generalizada de mal-estar, febre, sensibilidade localizada presente particularmente com percussão; achados neurológicos ausentes
Primeira investigação
Neoplasia maligna
História
história de malignidade (mama, pulmão, próstata, tireoide, rim), idade >50 anos, dorsalgia durante a noite e em repouso, pode ter déficits neurológicos se a destruição do tumor for extensa e provocar compressão neurológica
Exame físico
sintomas sistêmicos generalizados, incluindo febre/calafrios, perda de peso e mal-estar; sensibilidade focal e/ou déficits neurológicos podem estar presentes dependendo do tamanho e localização do tumor
Primeira investigação
- RNM:
uma lesão lítica ou blástica com intensidade variável de sinal T2; a lesão normalmente não atravessa a placa terminal, mas a extensão para os tecidos moles pode estar presente
Mais
Outras investigações
Espondiloartropatia inflamatória
História
predominância masculina na espondilite anquilosante, rigidez no início da manhã, dorsalgia noturna, fadiga, perda de peso, dor difusa inespecífica que se irradia bilateralmente para as nádegas; a dor melhora após atividade física ou anti-inflamatórios não esteroidais; pode apresentar sintomas de dactilite, entesite, uveíte ou psoríase; pode apresentar história familiar de artrite ou psoríase; uma história de doença inflamatória intestinal pode ser sugestiva de artrite enteropática; história de infecção geniturinária recente
Exame físico
espondiloartropatia axial ou espondilite anquilosante: rigidez da coluna com cifose, amplitude de movimento limitada da parte inferior da coluna, sensibilidade à palpação; sinais extra-articulares podem estar presentes, inclusive entesite, uveíte, dactilite, psoríase, doença de Crohn e colite ulcerativa
Primeira investigação
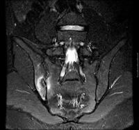
- radiografia simples das articulações sacroilíacas:
erosão da articulação sacroilíaca (quadratura de vértebras lombares) e estenose e fusão posteriormente (coluna em bambu) são sugestivas de espondilite anquilosante
Mais
Doença do tecido conjuntivo
História
artralgias, poliartrite, sintomas sistêmicos de febre, perda de peso e fadiga
Exame físico
evidências do envolvimento de órgãos (por exemplo, erupção cutânea, linfadenopatia, sibilância, sinais de má absorção, sensibilidade da articulação, derrame e edema articular, sinais de uveíte, conjuntivite)
Primeira investigação
Outras investigações
- radiografia torácica:
normal; linfadenopatia mediastinal; doença pulmonar intersticial; derrame pericárdico
- radiografia simples da coluna vertebral:
pode haver evidência de artrite reumatoide
Escoliose
História
dorsalgia, assimetria postural, paciente adolescente
Exame físico
curvatura lateral da coluna vertebral em plano coronal; proeminências paraespinhais e das costelas acentuadas por flexão para frente; proeminência escapular assimétrica; exame neurológico normal
Primeira investigação
- nenhuma:
diagnóstico clínico
Outras investigações
- radiografia de coluna total:
curvatura da coluna >10 graus no plano coronal
Mais
Aneurisma da aorta abdominal
História
início súbito de dor abdominal intermitente ou contínua, irradiando para as costas; paciente pode entrar em colapso; idade avançada; história de doença cardiovascular
Exame físico
massa pulsátil abdominal, hipotensão ou hipertensão, taquicardia
Primeira investigação
- ultrassonografia abdominal:
extensão e tamanho do aneurisma
Outras investigações
- angiografia por tomografia computadorizada:
define claramente aneurisma e envolvimento das artérias viscerais
Mais
Pancreatite aguda
História
início súbito de dor epigástrica; irradia para as costas; pode ser aliviada sentando-se para a frente; associada a náuseas e vômitos; história de cálculos biliares ou uso de álcool
Exame físico
taquicardia, febre, icterícia, sensibilidade/sinal de defesa abdominal
Primeira investigação
- lipase e amilase séricas:
elevado (3 vezes o limite superior do normal)
Mais - Hemograma completo:
contagem elevada de leucócitos
- TFHs:
aspartato aminotransferase, alanina aminotransferase, fosfatase alcalina e/ou bilirrubina elevadas
Mais - perfil bioquímico:
glicose elevada
Mais - triglicerídeos séricos:
frequentemente elevado
Outras investigações
- ultrassonografia:
pode mostrar inflamação pancreática, estriações peripancreáticas, calcificações ou coleções de fluido
Mais - tomografia computadorizada realçada por contraste:
coleções de fluido; pseudocistos; abscesso
Mais - ressonância nuclear magnética/colangiopancreatografia por ressonância magnética (RNM/CPRM):
os achados podem incluir cálculos, tumores, aumento difuso ou em segmentos do pâncreas com contornos irregulares e obliteração da gordura peripancreática, necrose ou pseudocistos
Mais
Pielonefrite
História
sintomas urinários de disúria, frequência e hesitação; a dor no flanco pode irradiar para as costas, febre, calafrios, fadiga
Exame físico
sensibilidade no flanco ou costovertebral
Primeira investigação
- urinálise:
piúria, hematúria microscópica
- urocultura:
positiva
Outras investigações
- ultrassonografia renal:
anomalias estruturais macroscópicas; hidronefrose; cálculos; coleções de fluido perirrenal
Mais - tomografia computadorizada realçada por contraste:
perfusão do parênquima renal alterada; excreção do contraste alterada; fluido perinéfrico; doença não renal
Mais - RNM:
pode ser normal com infecção leve; com infecção grave, partes do rim podem parecer edematosas e de atenuação mais baixa; outros achados podem incluir cálculos renais ou gás dentro do sistema coletor; pode-se observar encarceramento perinéfrico
Mais
Cólica renal
História
dor aguda, grave no flanco que pode irradiar para a virilha ipsilateral; associada a náuseas e vômitos; história de depleção de volume ou medicamento indutor de cálculos (por exemplo, antiácidos, inibidores da anidrase carbônica, medicamento que contenha sódio e cálcio, vitaminas C e D, indinavir)
Exame físico
sensibilidade do ângulo do flanco ou costovertebral; pode ter hematúria macroscópica
Primeira investigação
- urinálise:
hematúria microscópica
Mais - tomografia computadorizada sem contraste:
calcificação observada no sistema coletor renal ou ureter
- Hemograma completo:
contagem leucocitária normal ou elevada
- eletrólitos, ureia e creatinina séricos:
normal ou alterado
Outras investigações
- ultrassonografia renal:
calcificação observada dentro do trato urinário
Úlcera péptica
História
dor epigástrica em queimação; irradiação para as costas; geralmente ocorre em associação com as refeições; pode ser aliviada por antiácidos; hematêmese ou melena na doença avançada
Exame físico
sensibilidade epigástrica, pode ter melena no exame retal
Primeira investigação
- Hemograma completo:
anemia microcítica; contagem leucocitária elevada
- Teste para Helicobacter pylori:
pode ser positiva
- radiografia abdominal simples:
pode-se observar ar livre no abdome à radiografia abdominal ortostática se houver perfuração. Obtêm-se imagens nas posição deitada (supina) e ereta (ortostática).
Mais
Outras investigações
- endoscopia digestiva alta:
detecta o local do sangramento e ulceração
Mais - radiografia do trato gastrointestinal superior com contraste hidrossolúvel:
extravasamento do contraste a partir do estômago
Abscesso epidural espinhal
História
dor focal no processo espinhal, muitas vezes com espasmo paravertebral; a dor aumenta ao sustentar peso e não alivia com repouso; história de diabetes mellitus, uso de substâncias por via intravenosa, infecção por vírus da imunodeficiência humana (HIV), imunossupressão, procedimentos invasivos recentes (por exemplo, cirurgia ou trauma vertebral prévio, anestesia neuraxial prévia associada a colocação de cateter [intratecal/epidural] de demora), diálise, abuso de álcool; infecções existentes (por exemplo, endocardite infecciosa, infecção do trato urinário) podem ser fonte de infecção por disseminação hematogênica; o foco de uma infecção local preexistente também deve ser averiguado, pois a fonte pode ser extensão direta de osteomielite vertebral, abscesso do psoas ou abscesso retrofaríngeo
Exame físico
febre com sudorese e calafrios ou paciente afebril; sinais e sintomas de deficit neurológico; fraqueza nos membros é comum e pode indicar fraqueza motora iminente; distúrbio sensitivo, reflexos anormais (que variam de hiper-reflexia a respostas reduzidas ou ausentes) e disfunção esfincteriana isolada
Primeira investigação
- Hemograma completo:
leucocitose
Mais - proteína C-reativa:
elevado
Mais - velocidade de hemossedimentação:
elevado
Mais - ressonância nuclear magnética (RNM) ponderada por difusão da coluna com realce de gadolínio:
infecção no espaço epidural ± envolvimento ósseo
Mais - hemoculturas:
identifica organismos causadores
Mais
Infecção por herpes-zóster
História
Queimação, ardência ou dor aguda em distribuição do dermátomo; prurido, erupção cutânea; fatores de risco (idade avançada, imunossupressão)
Exame físico
erupção cutânea em distribuição do dermátomo, que não cruza a linha média, inicialmente eritematosa e maculopapular, posteriormente vesicular
Primeira investigação
- nenhuma:
diagnóstico clínico
Outras investigações
- reação em cadeia da polimerase para o DNA viral:
positivo para DNA do varicela-zóster
Sangramento retroperitoneal
História
os sintomas podem ser vagos; dor na virilha, parte inferior do abdome ou dorsalgia; história de fatores de risco (por exemplo, uso de anticoagulação recente, história recente de angiografia cardíaca ou femoral, procedimento obstétrico recente em mulheres em idade fértil)
Exame físico
taquicardia inexplicada; dor à palpação do abdome inferior no lado do sangramento; pode haver hematomas no flanco; diaforese se for grave; hipotensão profunda com diminuição do nível de consciência em caso de choque
Primeira investigação
- painel de exames básico (hemograma completo, eletrólitos séricos, glicose sanguínea, testes séricos da função hepática, perfil de coagulação, tipagem e reserva de sangue):
hemoglobina (Hb) baixa; razão normalizada internacional (INR) pode ser elevada
- eletrocardiograma (ECG):
normal ou taquicardia
Outras investigações
- tomografia computadorizada (TC) abdominal:
hematoma pode ser visualizado
- angiotomografia:
pode demonstrar local do sangramento ativo se o sangramento estiver ocorrendo no momento
O uso deste conteúdo está sujeito ao nosso aviso legal







