Imagens e vídeos
IMAGENS

Avaliação da dorsalgia
Núcleo pulposo herniado que causa pinçamento da raiz nervosa. Sintomas radiculares podem resultar da liberação de mediadores químicos por discos degenerativos ou de compressão mecânica da raiz nervosa.
BMJ 2008;337:a2718; usado com permissão
Veja esta imagem em contexto nas seguintes seções:

Avaliação da dorsalgia
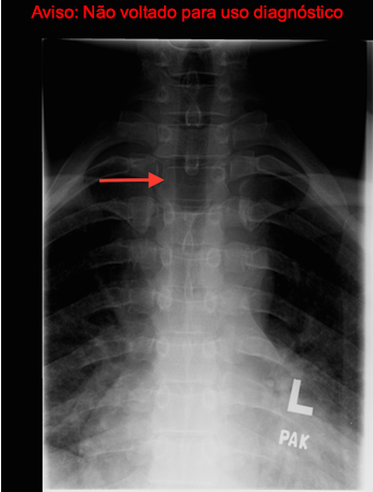
Radiografia do tumor: linfoma (A) destruindo a vértebra L5
Cortesia do Dr K. Singh; usado com permissão
Veja esta imagem em contexto nas seguintes seções:

Avaliação da dorsalgia
Sinal de "coruja piscando" (seta): aparência assimétrica da coluna cervical na radiografia simples causada pela destruição do pedículo
Criado por BMJ Publishing Group
Veja esta imagem em contexto nas seguintes seções:

Avaliação da dorsalgia
Dermátomos sensoriais da coluna lombar e das pernas
Criado pelo BMJ Knowledge Centre
Veja esta imagem em contexto nas seguintes seções:

Avaliação da dorsalgia
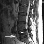
Ressonância nuclear magnética da osteomielite: o espaço do disco T11-T12 é envolvido com discite (A). Existe um comprometimento ósseo de ambas as vértebras indicado pelo sinal T2 elevado dos corpos vertebrais. A seta indica um disco intervertebral normal saudável
Cortesia do Dr K. Singh; usado com permissão
Veja esta imagem em contexto nas seguintes seções:

Avaliação da dorsalgia
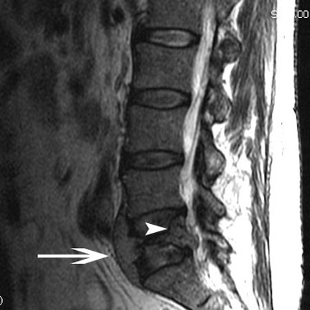
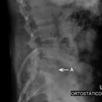
Radiografia de uma fratura de compressão: uma radiografia de perfil de uma fratura de compressão L2 (A). Observa-se um formato em cunha do corpo vertebral
Cortesia do Dr K. Singh; usado com permissão
Veja esta imagem em contexto nas seguintes seções:

Avaliação da dorsalgia
Ressonância nuclear magnética da estenose da coluna vertebral: a seta aponta para o canal vertebral com estenose moderada causada por facetas hipertróficas e ligamento amarelo
Cortesia do Dr K. Singh; usado com permissão
Veja esta imagem em contexto nas seguintes seções:

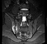
Avaliação da dorsalgia
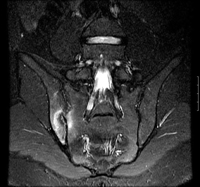
Imagem de ressonância magnética coronal de recuperação de inversão de tau curto STIR (short tau inversion recovery) mostrando sacroileíte unilateral (à direita)
BMJ 2006;333;581-585. © BMJ Publishing Group Ltd 2009
Veja esta imagem em contexto nas seguintes seções:

Avaliação da dorsalgia
Ressonância nuclear magnética do linfoma: a seta indica uma massa de tecido mole saliente no canal vertebral. A seta aponta para o tumor protuberante anterior ao corpo vertebral L5
Cortesia do Dr K. Singh; usado com permissão
Veja esta imagem em contexto nas seguintes seções:

Avaliação da dorsalgia
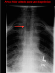
Radiografia da coluna: o sinal de "coruja piscando" (aparência assimétrica causada pela destruição do pedículo)
Cortesia do Dr. D. Park; usado com permissão
Veja esta imagem em contexto nas seguintes seções:

Avaliação da dorsalgia
Visualização axial de um corpo vertebral mostrando estenose do canal vertebral
BMJ 2008;337:a2718; usado com permissão
Veja esta imagem em contexto nas seguintes seções:

Avaliação da dorsalgia
Radiografia simples mostrando sacroileíte bilateral em um paciente com espondilite anquilosante
BMJ 2006;333;581-585. © BMJ Publishing Group Ltd 2009
Veja esta imagem em contexto nas seguintes seções:

Avaliação da dorsalgia
Ressonância nuclear magnética da estenose da coluna vertebral: (A) demarca o diâmetro sagital normal do canal vertebral. (B) demarca grave estenose do canal vertebral
Cortesia do Dr K. Singh; usado com permissão
Veja esta imagem em contexto nas seguintes seções:
Vídeos
- Inspeção das costas
Como realizar um exame de inspeção das costas, incluindo inspeção da marcha e da postura
- Demonstração de exame físico das costas
Um clínico geral demonstra como realizar o exame físico das costas
- Demonstração de exame neurológico das costas
Um clínico geral mostra como realizar um exame físico neurológico das costas
O uso deste conteúdo está sujeito ao nosso aviso legal