O diagnóstico baseia-se na presença de critérios bem-definidos que ajudam a distinguir o MM de outras neoplasias plasmocitárias e neoplasias malignas que envolvem células B associadas à produção de paraproteína (proteína M).[3]Rajkumar SV, Dimopoulos MA, Palumbo A, et al. International Myeloma Working Group updated criteria for the diagnosis of multiple myeloma. Lancet Oncol. 2014 Nov;15(12):e538-48.
https://orbi.uliege.be/handle/2268/174646
http://www.ncbi.nlm.nih.gov/pubmed/25439696?tool=bestpractice.com
[4]Rajkumar SV. Updated diagnostic criteria and staging system for multiple myeloma. Am Soc Clin Oncol Educ Book. 2016;35:e418-23.
https://ascopubs.org/doi/10.1200/EDBK_159009
http://www.ncbi.nlm.nih.gov/pubmed/27249749?tool=bestpractice.com
Consulte Classificação.
A investigação diagnóstica inicial inclui história completa e exame físico, com os testes diagnósticos mais importantes decisivos fornecendo o diagnóstico definitivo.[44]Dimopoulos MA, Moreau P, Terpos E, et al. Multiple myeloma: EHA-ESMO clinical practice guidelines for diagnosis, treatment and follow-up. Ann Oncol. Ann Oncol. 2021 Mar;32(3):309-22.
https://www.annalsofoncology.org/article/S0923-7534(20)43169-2/fulltext
http://www.ncbi.nlm.nih.gov/pubmed/33549387?tool=bestpractice.com
[45]National Comprehensive Cancer Network. NCCN clinical practice guidelines in oncology: multiple myeloma [internet publication].
https://www.nccn.org/guidelines/category_1
História e características clínicas
História familiar de câncer linfo-hematopoiético (particularmente MM), sexo masculino, etnia negra e exposição à radiação ionizante ou produtos derivados do petróleo estão associados a um risco maior de MM.[9]National Cancer Institute: Surveillance, Epidemiology, and End Results Program. Cancer stat facts: myeloma. 2023 [internet publication].
https://seer.cancer.gov/statfacts/html/mulmy.html
[11]Schinasi LH, Brown EE, Camp NJ, et al. Multiple myeloma and family history of lymphohaematopoietic cancers: results from the International Multiple Myeloma Consortium. Br J Haematol. 2016 Oct;175(1):87-101.
https://onlinelibrary.wiley.com/doi/10.1111/bjh.14199
http://www.ncbi.nlm.nih.gov/pubmed/27330041?tool=bestpractice.com
[12]Bourguet CC, Grufferman S, Delzell E, et al. Multiple myeloma and family history of cancer: a case-control study. Cancer. 1985 Oct 15;56(8):2133-9.
http://www.ncbi.nlm.nih.gov/pubmed/4027940?tool=bestpractice.com
[14]Cardis E, Vrijheid M, Blettner M, et al. The 15-country collaborative study of cancer risk among radiation workers in the nuclear industry: estimates of radiation-related cancer risks. Radiat Res. 2007 Apr;167(4):396-416.
http://www.ncbi.nlm.nih.gov/pubmed/17388693?tool=bestpractice.com
[15]Torres A, Giralt M, Raichs A. Coexistence of chronic benzol contacts and multiple plasmacytoma: presentation of 2 cases [in Spanish]. Sangre (Barc). 1970;15(2):275-9.
http://www.ncbi.nlm.nih.gov/pubmed/5431825?tool=bestpractice.com
[16]Aksoy M, Erdem S, Dincol G, et al. Clinical observations showing the role of some factors in the etiology of multiple myeloma: a study in 7 patients. Acta Haematol. 1984;71(2):116-20.
http://www.ncbi.nlm.nih.gov/pubmed/6421049?tool=bestpractice.com
[17]Bergsagel DE, Wong O, Bergsagel PL, et al. Benzene and multiple myeloma: appraisal of the scientific evidence. Blood. 1999 Aug 15;94(4):1174-82.
https://ashpublications.org/blood/article/94/4/1174/249672/Benzene-and-Multiple-Myeloma-Appraisal-of-the
http://www.ncbi.nlm.nih.gov/pubmed/10438704?tool=bestpractice.com
[18]Stenehjem JS, Kjærheim K, Bråtveit M, et al. Benzene exposure and risk of lymphohaematopoietic cancers in 25,000 offshore oil industry workers. Br J Cancer. 2015 Apr 28;112(9):1603-12.
https://www.nature.com/articles/bjc2015108
http://www.ncbi.nlm.nih.gov/pubmed/25867262?tool=bestpractice.com
O MM é precedido pela doença pré-maligna assintomática gamopatia monoclonal de significado indeterminado (MGUS).
Os sintomas iniciais do MM geralmente são inespecíficos (por exemplo, fadiga, dor óssea) e são resultado de danos aos órgãos-alvo causados pela infiltração de células do mieloma e/ou pela paraproteinemia associada. A dor óssea (normalmente localizada nas costas) e a anemia são as características mais comuns, afetando 60% a 70% dos pacientes.[5]Kyle RA. Multiple myeloma: review of 869 cases. Mayo Clin Proc. 1975 Jan;50(1):29-40.
http://www.ncbi.nlm.nih.gov/pubmed/1110582?tool=bestpractice.com
[6]Kyle RA, Gertz MA, Witzig TE, et al. Review of 1027 patients with newly diagnosed multiple myeloma. Mayo Clin Proc. 2003 Jan;78(1):21-33.
http://www.ncbi.nlm.nih.gov/pubmed/12528874?tool=bestpractice.com
As outras características incluem insuficiência renal, hipercalcemia e sintomas associados a infecções.[5]Kyle RA. Multiple myeloma: review of 869 cases. Mayo Clin Proc. 1975 Jan;50(1):29-40.
http://www.ncbi.nlm.nih.gov/pubmed/1110582?tool=bestpractice.com
[6]Kyle RA, Gertz MA, Witzig TE, et al. Review of 1027 patients with newly diagnosed multiple myeloma. Mayo Clin Proc. 2003 Jan;78(1):21-33.
http://www.ncbi.nlm.nih.gov/pubmed/12528874?tool=bestpractice.com
[7]Blimark C, Holmberg E, Mellqvist UH, et al. Multiple myeloma and infections: a population-based study on 9253 multiple myeloma patients. Haematologica. 2015 Jan;100(1):107-13.
https://haematologica.org/article/view/7239
http://www.ncbi.nlm.nih.gov/pubmed/25344526?tool=bestpractice.com
Investigação laboratorial inicial
Os exames iniciais a serem solicitados incluem hemograma completo com diferencial e contagem plaquetária, esfregaço de sangue periférico, ureia sérica, creatinina sérica, eletrólitos séricos (incluindo cálcio), ácido úrico sérico, testes da função hepática (TFHs), albumina sérica, proteína C-reativa, lactato desidrogenase (LDH) sérica, beta2-microglobulina sérica e fragmento N-terminal do pró-hormônio do PNB (NT-proPNB) ou peptídeo natriurético do tipo B (se o NT-proPNB não estiver disponível).[44]Dimopoulos MA, Moreau P, Terpos E, et al. Multiple myeloma: EHA-ESMO clinical practice guidelines for diagnosis, treatment and follow-up. Ann Oncol. Ann Oncol. 2021 Mar;32(3):309-22.
https://www.annalsofoncology.org/article/S0923-7534(20)43169-2/fulltext
http://www.ncbi.nlm.nih.gov/pubmed/33549387?tool=bestpractice.com
[45]National Comprehensive Cancer Network. NCCN clinical practice guidelines in oncology: multiple myeloma [internet publication].
https://www.nccn.org/guidelines/category_1
Esses exames laboratoriais básicos podem ajudar a orientar o diagnóstico (por exemplo, avaliando danos em órgãos-alvo) e informar o prognóstico e a estratificação de risco.
Testes diagnósticos
Exames usados para estabelecer o diagnóstico incluem:[3]Rajkumar SV, Dimopoulos MA, Palumbo A, et al. International Myeloma Working Group updated criteria for the diagnosis of multiple myeloma. Lancet Oncol. 2014 Nov;15(12):e538-48.
https://orbi.uliege.be/handle/2268/174646
http://www.ncbi.nlm.nih.gov/pubmed/25439696?tool=bestpractice.com
[4]Rajkumar SV. Updated diagnostic criteria and staging system for multiple myeloma. Am Soc Clin Oncol Educ Book. 2016;35:e418-23.
https://ascopubs.org/doi/10.1200/EDBK_159009
http://www.ncbi.nlm.nih.gov/pubmed/27249749?tool=bestpractice.com
[44]Dimopoulos MA, Moreau P, Terpos E, et al. Multiple myeloma: EHA-ESMO clinical practice guidelines for diagnosis, treatment and follow-up. Ann Oncol. Ann Oncol. 2021 Mar;32(3):309-22.
https://www.annalsofoncology.org/article/S0923-7534(20)43169-2/fulltext
http://www.ncbi.nlm.nih.gov/pubmed/33549387?tool=bestpractice.com
[45]National Comprehensive Cancer Network. NCCN clinical practice guidelines in oncology: multiple myeloma [internet publication].
https://www.nccn.org/guidelines/category_1
[46]National Institute for Health and Care Excellence. Myeloma: diagnosis and management. Oct 2018 [internet publication].
https://www.nice.org.uk/guidance/ng35
[47]Hillengass J, Usmani S, Rajkumar SV, et al. International Myeloma Working Group consensus recommendations on imaging in monoclonal plasma cell disorders. Lancet Oncol. 2019 Jun;20(6):e302-12.
http://www.ncbi.nlm.nih.gov/pubmed/31162104?tool=bestpractice.com
Imunoglobulinas quantitativas séricas
eletroforese de proteínas séricas e urinárias
Imunofixação no soro e na urina
técnica de detecção de cadeias leves livres no soro
Estudos de imagem (por exemplo, imagem de corpo inteiro com tomografia computadorizada [TC] de baixa dose, tomografia por emissão de pósitrons com 18F-fluordesoxiglucose-CT [FDG-PET-CT] de corpo inteiro ou, em alguns casos, ressonância nuclear magnética [RNM])
Avaliação da medula óssea
A grande maioria dos pacientes com MM apresenta uma proteína M no soro e/ou urina (na eletroforese ou imunofixação). Entretanto, uma proteína M não é detectável em 1% a 5% dos pacientes. Esses pacientes são definidos como tendo MM não-secretor.[6]Kyle RA, Gertz MA, Witzig TE, et al. Review of 1027 patients with newly diagnosed multiple myeloma. Mayo Clin Proc. 2003 Jan;78(1):21-33.
http://www.ncbi.nlm.nih.gov/pubmed/12528874?tool=bestpractice.com
[48]Drayson M, Tang LX, Drew R, et al. Serum free light-chain measurements for identifying and monitoring patients with nonsecretory multiple myeloma. Blood. 2001 May 1;97(9):2900-2.
https://ashpublications.org/blood/article/97/9/2900/130347/Serum-free-light-chain-measurements-for
http://www.ncbi.nlm.nih.gov/pubmed/11313287?tool=bestpractice.com
[49]Kumar SK, Mikhael JR, Buadi FK, et al. Management of newly diagnosed symptomatic multiple myeloma: updated Mayo Stratification of Myeloma and Risk-Adapted Therapy (mSMART) consensus guidelines. Mayo Clin Proc. 2009 Dec;84(12):1095-110.
https://www.mayoclinicproceedings.org/article/S0025-6196(11)60296-6/fulltext
http://www.ncbi.nlm.nih.gov/pubmed/19955246?tool=bestpractice.com
Com a disponibilidade da técnica de detecção de cadeias leves livres no soro, o MM não-secretor e também o oligossecretor podem ser facilmente diagnosticados.[48]Drayson M, Tang LX, Drew R, et al. Serum free light-chain measurements for identifying and monitoring patients with nonsecretory multiple myeloma. Blood. 2001 May 1;97(9):2900-2.
https://ashpublications.org/blood/article/97/9/2900/130347/Serum-free-light-chain-measurements-for
http://www.ncbi.nlm.nih.gov/pubmed/11313287?tool=bestpractice.com
[50]Dispenzieri A, Kyle R, Merlini G, et al. International Myeloma Working Group guidelines for serum-free light chain analysis in multiple myeloma and related disorders. Leukemia. 2009 Feb;23(2):215-24.
http://www.ncbi.nlm.nih.gov/pubmed/19020545?tool=bestpractice.com
Às vezes, uma proteína M é observada na eletroforese de proteínas séricas em pacientes assintomáticos devido ao aumento das frações de globulina.
A espectrometria de massa pode ser usada como uma alternativa à imunofixação para a detecção de proteínas M.[51]Murray DL, Puig N, Kristinsson S, et al. Mass spectrometry for the evaluation of monoclonal proteins in multiple myeloma and related disorders: an International Myeloma Working Group Mass Spectrometry Committee Report. Blood Cancer J. 2021 Feb 1;11(2):24.
https://www.nature.com/articles/s41408-021-00408-4
http://www.ncbi.nlm.nih.gov/pubmed/33563895?tool=bestpractice.com
A espectrometria de massa é mais sensível que a imunofixação e também pode auxiliar na distinção entre anticorpos monoclonais terapêuticos (administrados a um paciente) e proteínas M endógenas.[52]Zajec M, Jacobs JFM, Groenen PJTA, et al. Development of a targeted mass-spectrometry serum assay to quantify M-protein in the presence of therapeutic monoclonal antibodies. J Proteome Res. 2018 Mar 2;17(3):1326-33.
http://www.ncbi.nlm.nih.gov/pubmed/29424538?tool=bestpractice.com
[Figure caption and citation for the preceding image starts]: A: eletroforese de proteínas séricas (EFPS) de soro normal. B: EFPS do soro do mieloma múltiplo mostrando uma imunoglobulina monoclonal (proteína M) na região gama. C: traçado densitométrico de soro normal (A) mostrando as 5 zonas da eletroforese em agarose de alta resolução. D: traçado densitométrico do soro do mieloma múltiplo (B) mostrando um pico monoclonal (pico M)Cortesia do Dr. M Murali e do Clinical Immunology Laboratory, Massachusetts General Hospital; usado com permissão [Citation ends].
Exames por imagem
Exames de imagem para avaliar doenças ósseas são essenciais para o diagnóstico e orientação do tratamento, e devem ser realizados em todos os pacientes com suspeita de MM.[3]Rajkumar SV, Dimopoulos MA, Palumbo A, et al. International Myeloma Working Group updated criteria for the diagnosis of multiple myeloma. Lancet Oncol. 2014 Nov;15(12):e538-48.
https://orbi.uliege.be/handle/2268/174646
http://www.ncbi.nlm.nih.gov/pubmed/25439696?tool=bestpractice.com
[4]Rajkumar SV. Updated diagnostic criteria and staging system for multiple myeloma. Am Soc Clin Oncol Educ Book. 2016;35:e418-23.
https://ascopubs.org/doi/10.1200/EDBK_159009
http://www.ncbi.nlm.nih.gov/pubmed/27249749?tool=bestpractice.com
[45]National Comprehensive Cancer Network. NCCN clinical practice guidelines in oncology: multiple myeloma [internet publication].
https://www.nccn.org/guidelines/category_1
[46]National Institute for Health and Care Excellence. Myeloma: diagnosis and management. Oct 2018 [internet publication].
https://www.nice.org.uk/guidance/ng35
[47]Hillengass J, Usmani S, Rajkumar SV, et al. International Myeloma Working Group consensus recommendations on imaging in monoclonal plasma cell disorders. Lancet Oncol. 2019 Jun;20(6):e302-12.
http://www.ncbi.nlm.nih.gov/pubmed/31162104?tool=bestpractice.com
FDG-PET-CT de corpo inteiro (preferencial) ou TC de baixa dose de corpo inteiro são recomendadas para o diagnóstico inicial de MM.[45]National Comprehensive Cancer Network. NCCN clinical practice guidelines in oncology: multiple myeloma [internet publication].
https://www.nccn.org/guidelines/category_1
[46]National Institute for Health and Care Excellence. Myeloma: diagnosis and management. Oct 2018 [internet publication].
https://www.nice.org.uk/guidance/ng35
[47]Hillengass J, Usmani S, Rajkumar SV, et al. International Myeloma Working Group consensus recommendations on imaging in monoclonal plasma cell disorders. Lancet Oncol. 2019 Jun;20(6):e302-12.
http://www.ncbi.nlm.nih.gov/pubmed/31162104?tool=bestpractice.com
A RNM de corpo inteiro deve ser considerada se a FDG-PET-CT ou a TC for negativa ou inconclusiva e a suspeita permanecer alta para MM.[45]National Comprehensive Cancer Network. NCCN clinical practice guidelines in oncology: multiple myeloma [internet publication].
https://www.nccn.org/guidelines/category_1
[46]National Institute for Health and Care Excellence. Myeloma: diagnosis and management. Oct 2018 [internet publication].
https://www.nice.org.uk/guidance/ng35
[47]Hillengass J, Usmani S, Rajkumar SV, et al. International Myeloma Working Group consensus recommendations on imaging in monoclonal plasma cell disorders. Lancet Oncol. 2019 Jun;20(6):e302-12.
http://www.ncbi.nlm.nih.gov/pubmed/31162104?tool=bestpractice.com
A radiografia de esqueleto convencional é menos sensível na detecção de lesões osteolíticas em comparação com a TC, a FDG-PET/TC e a RNM, mas pode ser considerada se essas modalidades de imagem avançadas não estiverem disponíveis.[47]Hillengass J, Usmani S, Rajkumar SV, et al. International Myeloma Working Group consensus recommendations on imaging in monoclonal plasma cell disorders. Lancet Oncol. 2019 Jun;20(6):e302-12.
http://www.ncbi.nlm.nih.gov/pubmed/31162104?tool=bestpractice.com
[53]Terpos E, Kleber M, Engelhardt M, et al; European Myeloma Network. European Myeloma Network guidelines for the management of multiple myeloma-related complications. Haematologica. 2015 Oct;100(10):1254-66.
https://haematologica.org/article/view/7519
http://www.ncbi.nlm.nih.gov/pubmed/26432383?tool=bestpractice.com
[54]Hillengass J, Moulopoulos LA, Delorme S, et al. Whole-body computed tomography versus conventional skeletal survey in patients with multiple myeloma: a study of the International Myeloma Working Group. Blood Cancer J. 2017 Aug 25;7(8):e599.
https://www.nature.com/articles/bcj201778
http://www.ncbi.nlm.nih.gov/pubmed/28841211?tool=bestpractice.com
[55]Walker R, Barlogie B, Haessler J, et al. Magnetic resonance imaging in multiple myeloma: diagnostic and clinical implications. J Clin Oncol. 2007 Mar 20;25(9):1121-8.
https://ascopubs.org/doi/10.1200/JCO.2006.08.5803
http://www.ncbi.nlm.nih.gov/pubmed/17296972?tool=bestpractice.com
A RNM consegue detectar lesões focais e infiltrações da medula óssea. Ela tem valor prognóstico nos pacientes assintomáticos porque a presença de pequenas lesões focais (ou seja, <5 mm) nesses pacientes é um forte preditor de progressão para MM sintomático.[56]Hillengass J, Fechtner K, Weber MA, et al. Prognostic significance of focal lesions in whole-body magnetic resonance imaging in patients with asymptomatic multiple myeloma. J Clin Oncol. 2010 Mar 20;28(9):1606-10.
https://ascopubs.org/doi/10.1200/JCO.2009.25.5356
http://www.ncbi.nlm.nih.gov/pubmed/20177023?tool=bestpractice.com
A FDG-PET/TC e a RNM são particularmente úteis durante o acompanhamento do tratamento, pois podem detectar lesões focais residuais e informar o prognóstico.[57]Regelink JC, Minnema MC, Terpos E, et al. Comparison of modern and conventional imaging techniques in establishing multiple myeloma-related bone disease: a systematic review. Br J Haematol. 2013 Jul;162(1):50-61.
https://onlinelibrary.wiley.com/doi/10.1111/bjh.12346
http://www.ncbi.nlm.nih.gov/pubmed/23617231?tool=bestpractice.com
[58]Cavo M, Terpos E, Nanni C, et al. Role of 18F-FDG PET/CT in the diagnosis and management of multiple myeloma and other plasma cell disorders: a consensus statement by the International Myeloma Working Group. Lancet Oncol. 2017 Apr;18(4):e206-17.
http://www.ncbi.nlm.nih.gov/pubmed/28368259?tool=bestpractice.com
[59]Zamagni E, Nanni C, Mancuso K, et al. PET/CT improves the definition of complete response and allows to detect otherwise unidentifiable skeletal progression in multiple myeloma. Clin Cancer Res. 2015 Oct 1;21(19):4384-90.
https://aacrjournals.org/clincancerres/article/21/19/4384/125050/PET-CT-Improves-the-Definition-of-Complete
http://www.ncbi.nlm.nih.gov/pubmed/26078390?tool=bestpractice.com
[60]Pawlyn C, Fowkes L, Otero S, et al. Whole-body diffusion-weighted MRI: a new gold standard for assessing disease burden in patients with multiple myeloma? Leukemia. 2016 Jun;30(6):1446-8.
https://www.nature.com/articles/leu2015338
http://www.ncbi.nlm.nih.gov/pubmed/26648535?tool=bestpractice.com
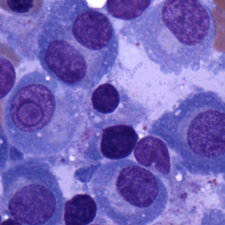
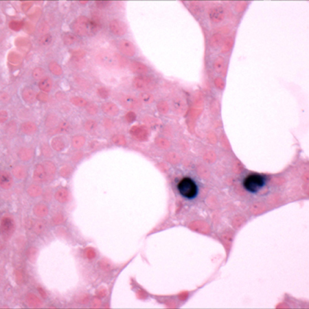
Avaliação da medula óssea
A biópsia e o aspirado da medula óssea são necessários para verificar a presença de plasmócitos monoclonais na medula óssea e para confirmar o diagnóstico de MM.[3]Rajkumar SV, Dimopoulos MA, Palumbo A, et al. International Myeloma Working Group updated criteria for the diagnosis of multiple myeloma. Lancet Oncol. 2014 Nov;15(12):e538-48.
https://orbi.uliege.be/handle/2268/174646
http://www.ncbi.nlm.nih.gov/pubmed/25439696?tool=bestpractice.com
[4]Rajkumar SV. Updated diagnostic criteria and staging system for multiple myeloma. Am Soc Clin Oncol Educ Book. 2016;35:e418-23.
https://ascopubs.org/doi/10.1200/EDBK_159009
http://www.ncbi.nlm.nih.gov/pubmed/27249749?tool=bestpractice.com
A proporção de plasmócitos clonais da medula óssea pode ajudar a diferenciar MM de MGUS. Consulte Classificação.
O plasmocitoma solitário, que pode progredir para MM, é confirmado pela presença de uma lesão solitária de osso (ou tecido mole) na biópsia, com evidência de plasmócitos clonais.[3]Rajkumar SV, Dimopoulos MA, Palumbo A, et al. International Myeloma Working Group updated criteria for the diagnosis of multiple myeloma. Lancet Oncol. 2014 Nov;15(12):e538-48.
https://orbi.uliege.be/handle/2268/174646
http://www.ncbi.nlm.nih.gov/pubmed/25439696?tool=bestpractice.com
A medula óssea é normal e não há evidências de plasmócitos clonais na medula óssea. Os exames de imagem são normais (exceto pela lesão solitária); não há danos em órgãos-alvo.[3]Rajkumar SV, Dimopoulos MA, Palumbo A, et al. International Myeloma Working Group updated criteria for the diagnosis of multiple myeloma. Lancet Oncol. 2014 Nov;15(12):e538-48.
https://orbi.uliege.be/handle/2268/174646
http://www.ncbi.nlm.nih.gov/pubmed/25439696?tool=bestpractice.com
A imuno-histoquímica e a citometria de fluxo podem ser realizadas em amostras de medula óssea para confirmar a presença de plasmócitos monoclonais e quantificar com precisão o envolvimento dos plasmócitos.[45]National Comprehensive Cancer Network. NCCN clinical practice guidelines in oncology: multiple myeloma [internet publication].
https://www.nccn.org/guidelines/category_1
[Figure caption and citation for the preceding image starts]: Biópsia da medula ósseaCortesia do Dr. Robert Hasserjian, Hematopatologia, Massachusetts General Hospital; usado com permissão [Citation ends].
[Figure caption and citation for the preceding image starts]: Biópsia da medula óssea após análise histoquímica de cadeia leve kappaCortesia do Dr. Robert Hasserjian, Hematopatologia, Massachusetts General Hospital; usado com permissão [Citation ends].
[Figure caption and citation for the preceding image starts]: Biópsia da medula óssea após análise histoquímica de cadeia leve lambdaCortesia do Dr. Robert Hasserjian, Hematopatologia, Massachusetts General Hospital; usado com permissão [Citation ends].
[Figure caption and citation for the preceding image starts]: Aspirado mostrando infiltrado plasmocitárioCortesia do Dr. Robert Hasserjian, Hematopatologia, Massachusetts General Hospital; usado com permissão [Citation ends].
Testes citogenéticos
A análise citogenética (por exemplo, hibridização in situ fluorescente [FISH]) deve ser realizada em amostras de medula óssea para identificar anormalidades cromossômicas consideradas como de aumento do risco de progressão/recidiva, por exemplo: del(13q), del(17p), t(4;14), t(11;14), t(14;16), t(14:20), ganho/amplificação de 1q21, deleção de 1p, translocação MYC.[44]Dimopoulos MA, Moreau P, Terpos E, et al. Multiple myeloma: EHA-ESMO clinical practice guidelines for diagnosis, treatment and follow-up. Ann Oncol. Ann Oncol. 2021 Mar;32(3):309-22.
https://www.annalsofoncology.org/article/S0923-7534(20)43169-2/fulltext
http://www.ncbi.nlm.nih.gov/pubmed/33549387?tool=bestpractice.com
[45]National Comprehensive Cancer Network. NCCN clinical practice guidelines in oncology: multiple myeloma [internet publication].
https://www.nccn.org/guidelines/category_1
Prognóstico e estratificação de risco
Marcadores prognósticos importantes incluem beta2-microglobulina sérica, albumina sérica, anormalidades citogenéticas, creatinina, ureia, proteína C-reativa, LDH sérica e NT-proPNB/peptídeo natriurético do tipo B.
A beta2-microglobulina sérica se correlaciona com estágios clínicos no sistema de estadiamento de Durie Salmon, sendo considerado o fator mais importante para a estimativa da sobrevida.[61]Durie BG, Salmon SE. A clinical staging system for multiple myeloma: correlation of measured myeloma cell mass with presenting clinical features, response to treatment, and survival. Cancer. 1975 Sep;36(3):842-54.
http://www.ncbi.nlm.nih.gov/pubmed/1182674?tool=bestpractice.com
Foi demonstrado que os níveis de albumina sérica combinados com os níveis séricos de beta2-microglobulina melhoram a significância prognóstica, e isso forma a base do sistema de classificação do Sistema Internacional de Estadiamento (ISS) usado para estratificar o risco de pacientes com MM.[62]Greipp PR, San Miguel J, Durie BG, et al. International staging system for multiple myeloma. J Clin Oncol. 2005 May 20;23(15):3412-20.
https://ascopubs.org/doi/10.1200/JCO.2005.04.242
http://www.ncbi.nlm.nih.gov/pubmed/15809451?tool=bestpractice.com
Consulte Critérios.
A LDH sérica e as anormalidades citogenéticas de alto risco, como del(17p), t(4;14), t(14;16) e ganho/amplificação de 1q, foram incorporadas em versões revisadas do sistema de classificação ISS (RISS e R2-ISS) para melhorar a estratificação de risco e o prognóstico.[63]Palumbo A, Avet-Loiseau H, Oliva S, et al. Revised International Staging System for multiple myeloma: a report from International Myeloma Working Group. J Clin Oncol. 2015 Sep 10;33(26):2863-9.
https://ascopubs.org/doi/10.1200/JCO.2015.61.2267
http://www.ncbi.nlm.nih.gov/pubmed/26240224?tool=bestpractice.com
[64]D'Agostino M, Cairns DA, Lahuerta JJ, et al. Second revision of the International Staging System (R2-ISS) for overall survival in multiple myeloma: a European Myeloma Network (EMN) report within the HARMONY project. J Clin Oncol. 2022 Oct 10;40(29):3406-18.
https://ascopubs.org/doi/10.1200/JCO.21.02614?url_ver=Z39.88-2003&rfr_id=ori:rid:crossref.org&rfr_dat=cr_pub%20%200pubmed
http://www.ncbi.nlm.nih.gov/pubmed/35605179?tool=bestpractice.com
Consulte Critérios.
A definição de mieloma múltiplo de alto risco da International Myeloma Society and International Myeloma Working Group exige análises baseadas em sequenciamento para identificar uma ou mais anormalidades genéticas específicas.[65]Avet-Loiseau H, Davies FE, Samur MK, et al. International Myeloma Society/International Myeloma Working Group consensus recommendations on the definition of high-risk multiple myeloma. J Clin Oncol. 2025 Aug 20;43(24):2739-51.
http://www.ncbi.nlm.nih.gov/pubmed/40489728?tool=bestpractice.com
Consulte Critérios.
O prognóstico desfavorável está associado a:[5]Kyle RA. Multiple myeloma: review of 869 cases. Mayo Clin Proc. 1975 Jan;50(1):29-40.
http://www.ncbi.nlm.nih.gov/pubmed/1110582?tool=bestpractice.com
[66]Dimopoulos MA, Terpos E, Chanan-Khan A, et al. Renal impairment in patients with multiple myeloma: a consensus statement on behalf of the International Myeloma Working Group. J Clin Oncol. 2010 Nov 20;28(33):4976-84.
http://www.ncbi.nlm.nih.gov/pubmed/20956629?tool=bestpractice.com
[67]Pavo N, Cho A, Wurm R, et al. N-terminal B-type natriuretic peptide (NT-proBNP) is associated with disease severity in multiple myeloma. Eur J Clin Invest. 2018 Apr;48(4).
http://www.ncbi.nlm.nih.gov/pubmed/29417568?tool=bestpractice.com
Aumento da creatinina e da ureia, que indica comprometimento renal e é relatado em até 50% dos pacientes
Elevação de proteína C-reativa, LDH sérica e NT-proPNB/peptídeo natriurético do tipo B, indicativos de doença mais extensa
Exames adicionais a serem considerados
Os seguintes exames devem ser considerados:[45]National Comprehensive Cancer Network. NCCN clinical practice guidelines in oncology: multiple myeloma [internet publication].
https://www.nccn.org/guidelines/category_1
[68]Kumar SK, Rajkumar SV. The multiple myelomas - current concepts in cytogenetic classification and therapy. Nat Rev Clin Oncol. 2018 Jul;15(7):409-21.
http://www.ncbi.nlm.nih.gov/pubmed/29686421?tool=bestpractice.com
[69]Dimopoulos MA, Merlini G, Bridoux F, et al. Management of multiple myeloma-related renal impairment: recommendations from the International Myeloma Working Group. Lancet Oncol. 2023 Jul;24(7):e293-311.
http://www.ncbi.nlm.nih.gov/pubmed/37414019?tool=bestpractice.com
O teste de polimorfismo de nucleotídeo único (SNP) e/ou sequenciamento de última geração (NGS) em amostras de medula óssea; fornece detalhes adicionais sobre a genética dos plasmócitos clonais que podem informar o prognóstico e auxiliar no teste/monitoramento da doença residual mínima (DRM) durante o tratamento.
Identificação do clonótipo basal (sequenciamento da cadeia pesada de imunoglobulina usando um ensaio de sequenciamento direcionado tipo NGS) no diagnóstico; de forma alternativa, preservar um aspirado de medula óssea para futuros testes de DMR.
Viscosidade sérica, se houver suspeita de hiperviscosidade (particularmente aqueles com altos níveis de proteína M).
Rastreamento para hepatite B e C, HIV, vírus do herpes simples e vírus da varicela-zóster, conforme indicação clínica.
Biópsia renal, se houver albuminúria ou função renal anormal.