Investigações
Diretriz confiável
ebpracticenet recomenda que você priorize as seguintes diretrizes locais:
Chronisch hartfalenPublicada por: Werkgroep Ontwikkeling Richtlijnen Eerste Lijn (Worel)Última publicação: 2024Insuffisance cardiaque chroniquePublicada por: Groupe de Travail Développement de recommmandations de première ligneÚltima publicação: 2024Chronische nierinsufficiëntiePublicada por: Domus Medica | SSMGÚltima publicação: 2012Insuffisance rénale chroniquePublicada por: Domus Medica | SSMGÚltima publicação: 2012Primeiras investigações a serem solicitadas
eletrólitos séricos
Exame
A hiponatremia hipervolêmica é comum na insuficiência cardíaca grave devido à expansão do volume extracelular.
Os níveis de potássio geralmente são normais, mas diuréticos tiazídicos e de alça podem resultar em hipocalemia.
Resultado
hiponatremia hipervolêmica; pode estar presente hipocalemia
testes de função renal
Exame
Testes da função renal anormais podem indicar a presença de comorbidades, como hipertensão ou diabetes de longa duração, ou outras causas, como amiloidose.
Resultado
creatinina elevada, taxa de filtração glomerular estimada reduzida
enzimas hepáticas
Exame
Marcadoras de congestão hepática passiva.
Resultado
aspartato transaminase e alanina transaminase elevadas
peptídeo natriurético do tipo B (PNB)/fragmento N-terminal do peptídeo natriurético do tipo B (NT-proPNB)
Exame
Peptídeo natriurético do tipo B ou NT-proPNB elevados em pacientes com insuficiência cardíaca, com as concentrações se elevando de maneira alinhada com a gravidade dos sintomas (classe New York Heart Association). Em pacientes que apresentam dispneia, os biomarcadores do peptídeo natriurético devem ser medidos para auxiliar no diagnóstico de insuficiência cardíaca.[3][4]
As causas de PNB elevado (além de insuficiência cardíaca) incluem hipertrofia ventricular esquerda, isquemia miocárdica, taquicardia, sobrecarga ventricular direita, hipoxemia, disfunção renal, sepse, doença pulmonar obstrutiva crônica (DPOC), diabetes, idade >70 anos e cirrose.
A presença de peptídeos natriuréticos elevados (BNP ≥35 nanogramas/L [≥35 picogramas/mL] ou NT-proBNP ≥125 nanogramas/L [≥125 picogramas/mL], juntamente com outras evidências de doença cardíaca estrutural, tornam o diagnóstico de insuficiência cardíaca mais provável. Cortes mais altos para níveis de peptídeo natriurético são recomendados em idosos ou em pacientes com fibrilação atrial ou doença renal crônica. Os níveis de peptídeo natriurético do tipo B e NT-proPNB podem ser mais baixos em pacientes com obesidade; portanto, a sensibilidade diagnóstica pode ser reduzida nesses pacientes.[2][3] Além disso, o uso de sacubitrila/valsartana (inibidor do receptor de angiotesina-neprilisina) pode elevar os níveis de peptídeo natriurético do tipo B, e o uso de NT-proPNB pode ser preferível nesse caso.[67] A presença de níveis normais de peptídeo natriurético não deve ser usada para descartar o diagnóstico.[11]
É importante observar as unidades de NT-proPNB, especialmente ao gerenciar encaminhamentos a partir de cenários comunitários, pois alguns laboratórios usam picomoles/L (pmol/L) e outros usam picogramas/mL (pg/mL). É preciso usar tabelas de conversão.
Resultado
elevado
Hemograma completo e perfil de ferro
Exame
Recomenda-se hemograma completo com níveis de ferro (saturação de transferrina) e ferritina. Anemia pode contribuir para os sintomas do paciente.
Dados de ensaios sugerem que a deficiência de ferro deve ser definida como ferritina <100 nanogramas/mL ou 100 a 300 nanogramas/mL se a saturação da transferrina for <20%.[71][72] A European Society of Cardiology recomenda que todos os pacientes com insuficiência cardíaca devem ser rastreados para deficiência de ferro.[4]
Resultado
ferritina <100 nanogramas/mL ou 100 a 300 nanogramas/mL se a saturação de transferrina for <20%.
eletrocardiograma (ECG) de 12 derivações
Exame
Rastreamento para doença cardiovascular comórbida. Pode revelar evidências de infarto do miocárdio prévio, defeitos de condução e arritmias comuns à ICFEP, como a fibrilação atrial. Uma voltagem do intervalo QRS elevada pode inferir a presença de hipertrofia ventricular esquerda; uma baixa voltagem do intervalo QRS pode sugerir cardiomiopatia infiltrante.
Resultado
hipertrofia ventricular esquerda, fibrilação atrial, baixa voltagem na cardiomiopatia infiltrante
glicose sanguínea
Exame
Rastreamento de diabetes mellitus como uma comorbidade clínica.
Resultado
elevada no diabetes
testes da função tireoidiana
Exame
Rastreamento para hipo ou hipertireoidismo comórbidos. Ambos podem ser uma causa primária ou secundária de insuficiência cardíaca.
Resultado
hipotireoidismo primário: hormônio estimulante da tireoide (TSH) elevado, tiroxina livre (T4L) diminuída; hipertireoidismo: TSH diminuído, tri-iodotironina livre (T3L) elevada, T4L elevada
lipídeos séricos
Exame
Rastreamento para dislipoproteinemias/síndrome metabólica comórbidas.
Resultado
elevados na dislipidemia, diminuído na insuficiência cardíaca em estágio terminal, especialmente na presença de caquexia cardíaca
radiografia torácica
Exame
O achado de cardiomegalia é útil no diagnóstico.
A radiografia torácica também ajuda a avaliar causas pulmonares de dispneia (por exemplo, pneumonia, embolia pulmonar, pneumotórax). Na presença de sobrecarga hídrica, edema pulmonar ou derrame pleural é um achado típico.
Resultado
cardiomegalia, edema pulmonar, derrame pleural
ecocardiografia transtorácica
Exame
A ecocardiografia pode ser usada para estabelecer a estrutura e função do ventrículo esquerdo e se existe alguma outra patologia que possa explicar a apresentação dos pacientes, como valvopatia ou doença pericárdica.
Através da ecocardiografia, é possível medir se há hipertrofia ventricular esquerda (a espessura da parede do VE é normalmente de 7-12 mm) e/ou dilatação do átrio esquerdo.
A ecocardiografia também pode ser utilizada para avaliar as pressões de enchimento no coração. A velocidade de pico através da valva mitral durante o enchimento diastólico inicial e corresponde à onda E. A é o fluxo transmitral durante a contração atrial e corresponde à onda A. A velocidade da onda E é determinada pelo equilíbrio entre a taxa de relaxamento e o gradiente de pressão entre o átrio esquerdo e o ventrículo esquerdo no início da diástole. Em indivíduos normais, uma razão E/A típica é 1.0 a 1.5.
A imagem por Doppler tecidual (TDI) mede a mudança na velocidade do tecido miocárdico em si no decorrer das diferentes fases do ciclo cardíaco. A velocidade anular mitral (E') tem sido usada como um marcador da função diastólica e é menos dependente da pré-carga em comparação com a ecocardiografia com Doppler.[68]
E/e' é a razão de velocidade de pico pela valva mitral durante o enchimento diastólico inicial na ecocardiografia com Doppler de rotina e a velocidade anular mitral ao Doppler tecidual. Uma razão E/e' acima de 15 é um indicador confiável de elevação da pressão atrial esquerda, enquanto uma razão <8 geralmente está associada a pressão de enchimento normal.[69]
Estágio I ou comprometimento diastólico leve: Razão E/A <1.0 decorrente de relaxamento comprometido e contribuição significativa da contração atrial para o enchimento do ventrículo esquerdo (VE). O menor enchimento do VE no início da diástole frequentemente resulta em contração acentuada do átrio esquerdo e consequente aumento na velocidade de A, reduzindo a razão E/A. A relação E/e' geralmente está normal.
Estágio II ou comprometimento diastólico moderado: E/A é normal, mas a inversão de E/A (razão <1.0) ocorre com manobras de Valsalva. Também chamado de pseudonormalização. É decorrente da diminuição da complacência do VE, resultando em aumento da pressão atrial esquerda. A razão E/e' é intermediária a elevada nessa situação.
Estágio III ou comprometimento diastólico grave: Razão E/A anormal (>2.0), mas muda com manobras de Valsalva. Decorrente de intensa diminuição da complacência, causando ainda mais aumento da pressão no átrio esquerdo (AE). A razão E/e' é alta (ou seja, >15).
Estágio IV (fisiologia restritiva): razão E/A anormal (>2.0) e permanece fixa com manobras de Valsalva. A razão E/e' é alta (ou seja, >15).
As velocidades de ondas E e A são afetadas por volemia, disfunção da valva mitral e presença de fibrilação atrial, razão pela qual a interpretação apropriada dessas ondas deve levar em consideração muitos desses fatores.[69][Figure caption and citation for the preceding image starts]: Relaxamento comprometido: fluxo de entrada mitral exibindo inversão de E:ADo acervo de Dr Jessica Webb; usado com permissão [Citation ends].
[Figure caption and citation for the preceding image starts]: Pseudonormalização de fluxo de entrada mitral do E:ADo acervo de Dr Jessica Webb; usado com permissão [Citation ends].
[Figure caption and citation for the preceding image starts]: Técnica de Valsalva confirmando relaxamento comprometidoDo acervo do Dr. Marc Del Rosario [Citation ends].
[Figure caption and citation for the preceding image starts]: Doppler tecidual do ventrículo esquerdo (VE) basal exibindo E/E' elevadoDo acervo de Dr Jessica Webb; usado com permissão [Citation ends].
[Figure caption and citation for the preceding image starts]: Fluxo de entrada mitral confirmando enchimento restritivoDo acervo de Dr Jessica Webb; usado com permissão [Citation ends].
Resultado
avaliação da estrutura e função do VE; a presença de hipertrofia do VE ou dilatação do átrio esquerdo; relação E/A anormal (E/A normal = 1.0 a 1.5); A relação E/e' pode ser normal, intermediária ou alta, indicando as pressões de enchimento do VE
Investigações a serem consideradas
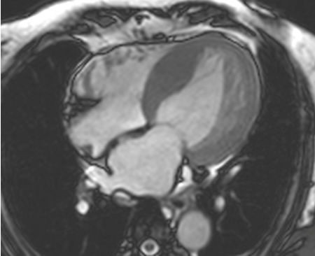
ressonância nuclear magnética cardíaca (RNMC)
Exame
Padrão ouro para avaliar o tamanho da câmara ventricular esquerda e a massa ventricular esquerda, detectando displasia do ventrículo direito ou reconhecendo a presença de doenças pericárdicas. A RNMC pode ajudar a definir causas infiltrativas da disfunção diastólica, especialmente se utilizada com contraste de gadolínio que busque captação tardia.[70]
Estudos demonstraram que a RNMC tem uma elevada concordância com a ecocardiografia na medição de velocidades do fluxo de entrada mitral e velocidades de tecido do miocárdio, nos pacientes e controles.[73][74][Figure caption and citation for the preceding image starts]: Ressonância nuclear magnética cardíaca (RNMC) de paciente com infiltração amiloide cardíaca. Após injeção de contraste de gadolínio, na fase tardia há um anel basal subendocárdico no ventrículo esquerdo (corte de 4 câmaras)Do acervo de Dr Jessica Webb; usado com permissão [Citation ends].
[Figure caption and citation for the preceding image starts]: Ressonância nuclear magnética cardíaca (RNMC) de paciente com infiltração amiloide cardíaca. Após injeção de contraste de gadolínio, na fase tardia há um anel basal subendocárdico no ventrículo esquerdo (imagem de eixo curto basal)Do acervo de Dr Jessica Webb; usado com permissão [Citation ends].
[Figure caption and citation for the preceding image starts]: Ressonância nuclear magnética cardíaca (RNMC) exibindo cardiomiopatia restritiva com dilatação biatrial e hipertrofia ventricular esquerda concêntrica leveDo acervo de Dr Jessica Webb; usado com permissão [Citation ends].
[Figure caption and citation for the preceding image starts]: Ressonância nuclear magnética cardíaca (RNMC) confirmando aumento do átrio esquerdo e hipertrofia ventricular esquerda (HVE)Do acervo de Dr Jessica Webb; usado com permissão [Citation ends].
Resultado
função cardíaca sistólica e diastólica anormais
Angiotomografia
Exame
Pode ser usada para diagnosticar doença arterial coronariana (DAC); pode ser útil para avaliar o tamanho da câmara e a massa ventricular, detectando displasia do ventrículo direito ou reconhecendo a presença de doença pericárdica.
Resultado
pode mostrar doença arterial coronariana (DAC) ou doença pericárdica
ventriculografia com radionuclídeos (exame MUGA [angiografia sincronizada multinuclear])
Exame
Em pacientes nos quais a qualidade de imagem da ecocardiografia for baixa, a ventriculografia com radionuclídeos pode fornecer uma avaliação da FE do ventrículo esquerdo. No entanto, ela não é capaz de avaliar diretamente as anormalidades valvares e a hipertrofia cardíaca.
Resultado
fração de ejeção (FE) normal >50%
teste ergométrico
Exame
A avaliação para cardiopatia isquêmica e isquemia miocárdica induzida é indicada nos pacientes com insuficiência cardíaca e fração de ejeção preservada (ICFEp).[3][4]
Pode ser realizada com exercícios (por exemplo, esteira, bicicleta) ou com métodos farmacológicos (por exemplo, adenosina, dobutamina).
Dependendo da expertise local, a ecocardiografia sob estresse, a RNMC de perfusão ou a tomografia computadorizada por emissão de fóton único (SPECT) podem ser usadas.
Resultado
isquemia
teste ergométrico (CPET)
cateterismo cardíaco e angiografia coronariana
Exame
Pode ser usada para diagnosticar ou descartar doença arterial coronariana (DAC).
A sua natureza invasiva limita a utilidade clínica para o diagnóstico exclusivo de insuficiência cardíaca com fração de ejeção preservada na prática clínica diária. No entanto, devem ser realizados se a probabilidade de DAC for alta.
A decisão de realizar estes exames deve ser tomada por um cardiologista devido aos riscos do procedimento.
Resultado
DAC: parâmetros diastólicos anormais (tempo de relaxamento constante ou tau, dP/dT e pressão diastólica do VE)
O uso deste conteúdo está sujeito ao nosso aviso legal