Imagens e vídeos
IMAGENS

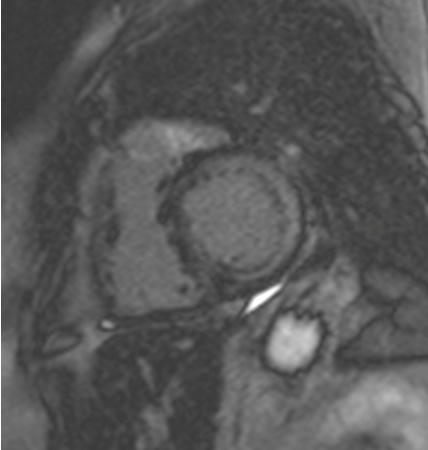
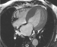
Insuficiência cardíaca com fração de ejeção preservada
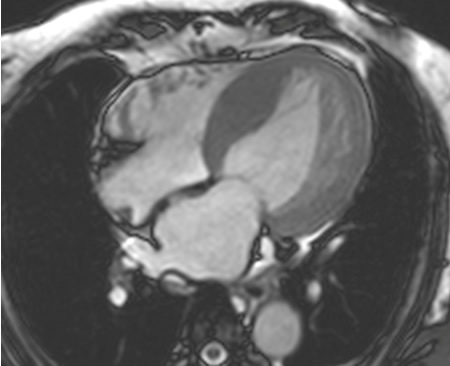
Ressonância nuclear magnética cardíaca (RNMC) de paciente com infiltração amiloide cardíaca. Após injeção de contraste de gadolínio, na fase tardia há um anel basal subendocárdico no ventrículo esquerdo (corte de 4 câmaras)
Do acervo de Dr Jessica Webb; usado com permissão
Veja esta imagem em contexto nas seguintes seções:

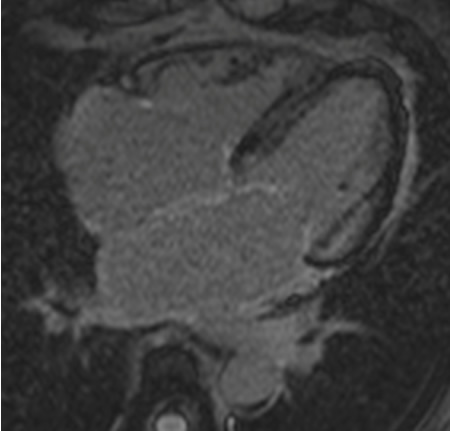
Insuficiência cardíaca com fração de ejeção preservada
Ressonância nuclear magnética cardíaca (RNMC) de paciente com infiltração amiloide cardíaca. Após injeção de contraste de gadolínio, na fase tardia há um anel basal subendocárdico no ventrículo esquerdo (imagem de eixo curto basal)
Do acervo de Dr Jessica Webb; usado com permissão
Veja esta imagem em contexto nas seguintes seções:

Insuficiência cardíaca com fração de ejeção preservada
Prevalência de condições crônicas individuais em pacientes com insuficiência cardíaca com fração de ejeção preservada e reduzida. Painel esquerdo, homens; painel direito, mulheres
Chamberlain AM, et al. Am J Med. 2015 Jan; 128(1): 38-45; usado com permissão
Veja esta imagem em contexto nas seguintes seções:

Insuficiência cardíaca com fração de ejeção preservada
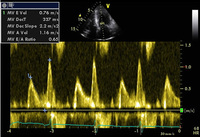
Pseudonormalização de fluxo de entrada mitral do E:A
Do acervo de Dr Jessica Webb; usado com permissão
Veja esta imagem em contexto nas seguintes seções:

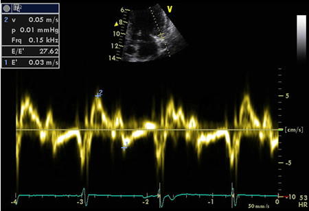
Insuficiência cardíaca com fração de ejeção preservada
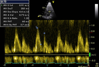
Doppler tecidual do ventrículo esquerdo (VE) basal exibindo E/E' elevado
Do acervo de Dr Jessica Webb; usado com permissão
Veja esta imagem em contexto nas seguintes seções:

Insuficiência cardíaca com fração de ejeção preservada
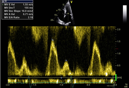
Fluxo de entrada mitral confirmando enchimento restritivo
Do acervo de Dr Jessica Webb; usado com permissão
Veja esta imagem em contexto nas seguintes seções:

Insuficiência cardíaca com fração de ejeção preservada
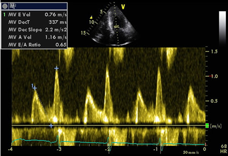
Relaxamento comprometido: fluxo de entrada mitral exibindo inversão de E:A
Do acervo de Dr Jessica Webb; usado com permissão
Veja esta imagem em contexto nas seguintes seções:

Insuficiência cardíaca com fração de ejeção preservada
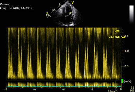
Técnica de Valsalva confirmando relaxamento comprometido
Do acervo do Dr. Marc Del Rosario
Veja esta imagem em contexto nas seguintes seções:

Insuficiência cardíaca com fração de ejeção preservada
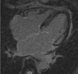
Ressonância nuclear magnética cardíaca (RNMC) exibindo cardiomiopatia restritiva com dilatação biatrial e hipertrofia ventricular esquerda concêntrica leve
Do acervo de Dr Jessica Webb; usado com permissão
Veja esta imagem em contexto nas seguintes seções:

Insuficiência cardíaca com fração de ejeção preservada
Ressonância nuclear magnética cardíaca (RNMC) confirmando aumento do átrio esquerdo e hipertrofia ventricular esquerda (HVE)
Do acervo de Dr Jessica Webb; usado com permissão
Veja esta imagem em contexto nas seguintes seções:
O uso deste conteúdo está sujeito ao nosso aviso legal