Imagens e vídeos
IMAGENS

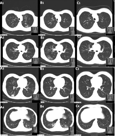
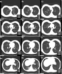
Granulomatose eosinofílica com poliangiite (Síndrome de Churg-Strauss)
Tomografia computadorizada (TC) do tórax obtida (A) durante a exacerbação dos sintomas, revelando infiltrados pulmonares no lobo inferior direito (A3) e no lobo inferior esquerdo (A4). Uma reavaliação feita 15 dias depois (B) revelou a natureza migratória das lesões, com o desaparecimento completo dos infiltrados descritos anteriormente e a presença de novas áreas com opacidade em vidro fosco dentro do lobo inferior direito (B2) e do segmento lingular esquerdo e do lobo inferior esquerdo (B4). (C) Seis meses após o tratamento, todas as lesões pulmonares descritas estavam completamente curadas
BMJ Case Reports 2009; doi:10.1136/bcr.04.2009.1731. Copyright © 2011 by the BMJ Publishing Group Ltd
Veja esta imagem em contexto nas seguintes seções:

Granulomatose eosinofílica com poliangiite (Síndrome de Churg-Strauss)
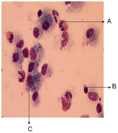
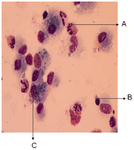
Exame citológico do líquido da lavagem broncoalveolar, revelando a presença de uma grande predominância de eosinófilos (A), representando 27% dos elementos celulares. Os outros elementos celulares encontrados foram macrófagos (C) e linfócitos (B)
BMJ Case Reports 2009; doi:10.1136/bcr.04.2009.1731. Copyright © 2011 by the BMJ Publishing Group Ltd
Veja esta imagem em contexto nas seguintes seções:

Granulomatose eosinofílica com poliangiite (Síndrome de Churg-Strauss)
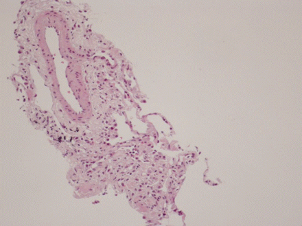
Avaliação histológica de uma amostra de biópsia pulmonar, revelando a presença de um infiltrado inflamatório, composto predominantemente por eosinófilos encontrados dentro do lúmen vascular e da parede vascular
BMJ Case Reports 2009; doi:10.1136/bcr.04.2009.1731. Copyright © 2011 by the BMJ Publishing Group Ltd
Veja esta imagem em contexto nas seguintes seções:
O uso deste conteúdo está sujeito ao nosso aviso legal