Imagens e vídeos
IMAGENS

Avaliação da proteinúria
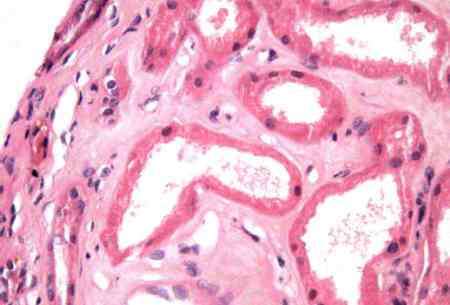
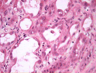
Necrose tubular aguda: biópsia mostrando áreas focais de vacuolização tubular proximal e achatamento; dilatação tubular; debris celulares da borda em escova presentes em alguns lúmens tubulares
Cortesia da Puigvert Foundation, Barcelona, Espanha
Veja esta imagem em contexto nas seguintes seções:

Avaliação da proteinúria
Amiloidose: vaso sanguíneo corado com vermelho congo em uma biópsia de medula óssea demonstrando birrefringência verde patognomônica
Cortesia do Dr Morie A. Gertz, Hematology, Mayo Clinic, Rochester, MN
Veja esta imagem em contexto nas seguintes seções:

Avaliação da proteinúria
Prognóstico da DRC por TFG e classificação de albuminúria: DRC, doença renal crônica; TFG, taxa de filtração glomerular; KDIGO, Kidney Disease: Improving Global Outcomes
Reimpressão com a permissão de Macmillan Publishers Ltd: Kidney International Supplements (vol 3, issue 1, January 2013), copyright 2013
Veja esta imagem em contexto nas seguintes seções:

Avaliação da proteinúria
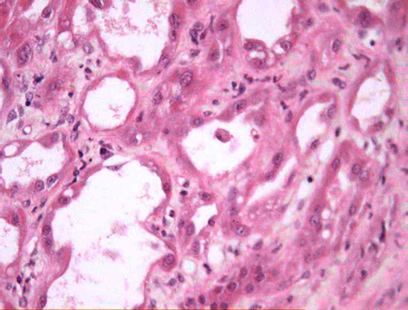
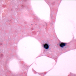
Necrose tubular aguda: biópsia mostrando membranas basais desnudas e presença de células no lúmen tubular
Cortesia da Puigvert Foundation, Barcelona, Espanha
Veja esta imagem em contexto nas seguintes seções:

Avaliação da proteinúria
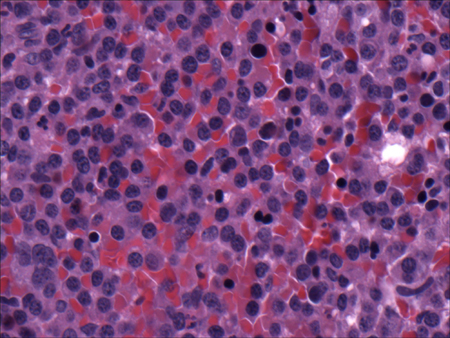
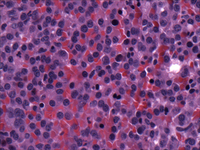
Mieloma múltiplo: biópsia da medula óssea
Cortesia do Dr Robert Hasserjian, Hematopathology, MGH
Veja esta imagem em contexto nas seguintes seções:

Avaliação da proteinúria
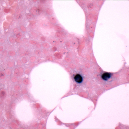
Mieloma múltiplo: biópsia de medula óssea após análise histoquímica de cadeia leve lambda
Cortesia do Dr Robert Hasserjian, Hematopathology, MGH
Veja esta imagem em contexto nas seguintes seções:
O uso deste conteúdo está sujeito ao nosso aviso legal