Diagnósticos diferenciais
comuns
Febre
História
febre
Exame físico
temperatura elevada >38.0 °C (100.4 °F)
Primeira investigação
- nenhuma:
diagnóstico clínico
Outras investigações
Esforço físico intenso
História
exercício extenuante recente
Exame físico
nenhum achado específico
Primeira investigação
- repetir urinálise após repouso de 2 dias:
ausência de proteinúria
Outras investigações
Infecção do trato urinário
História
disúria; urina turva e malcheirosa; urgência urinária; polaciúria
Exame físico
sensibilidade no flanco (se pielonefrite); sensibilidade da bexiga à palpação
Primeira investigação
- urinálise:
>5-10 leucócitos por campo de grande aumento; bactérias visualizadas; presença de nitritos
- urocultura:
>100,000 colônias/mL
Outras investigações
Hemorragia urológica
História
procedimento ou trauma recentes no sistema urológico
Exame físico
hematúria macroscópica
Primeira investigação
- urinálise:
sangue +
Mais - creatinina sérica:
geralmente normais
- taxa de filtração glomerular estimada:
geralmente normais
Outras investigações
- tomografia computadorizada (TC) abdominal:
normal ou massa vesical/renal
- ultrassonografia renal:
normal ou massa vesical/renal
- cistoscopia:
normal ou pode revelar fonte vesical e permitir intervenção terapêutica
Proteinúria ortostática
História
geralmente crianças e adolescentes
Exame físico
nenhum achado específico
Primeira investigação
- coleta de urina em etapas:
proteinúria durante o dia e ausente à noite
Mais
Outras investigações
Doença de lesão mínima
História
mais comum em crianças e idosos, mas ocorre em todas as idades; geralmente de início súbito com forte edema; pode estar associada a medicamentos anti-inflamatórios não esteroidais (AINEs), interferona, lítio, linfoma, picadas de abelha, transplante de células-tronco
Exame físico
forte edema; pressão arterial (PA) geralmente normal ou baixa
Primeira investigação
- urinálise:
sedimento acelular, geralmente proteinúria na faixa nefrótica
- creatinina sérica:
normal
- taxa de filtração glomerular estimada:
normal
Outras investigações
- biópsia renal:
aparência normal dos glomérulos sob microscopia óptica com obliteração de processos pedicelares dos podócitos na microscopia eletrônica
Glomeruloesclerose e segmentar focal
História
mais comum em pessoas negras e em pacientes com infecção por vírus da imunodeficiência humana (HIV); pode ser secundária a hipertensão, diabetes, lesão renal prévia, obesidade, bifosfonatos, uso de heroína
Exame físico
edema; hipertensão
Primeira investigação
- urinálise:
pode haver hematúria leve; proteinúria na faixa subnefrótica a nefrótica
- creatinina sérica:
elevado
- taxa de filtração glomerular estimada:
reduzidos
- biópsia renal:
glomérulos com áreas focais de esclerose
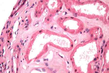
Nefropatia membranosa
História
mais comum nos idosos; pode estar associada a anti-inflamatórios não esteroidais (AINEs), ouro, penicilamina, adenocarcinoma, lúpus eritematoso sistêmico, hepatite B, hepatite C, sífilis, transplante de células-tronco, neoplasia maligna de órgão sólido
Exame físico
edema; geralmente hipertensão
Primeira investigação
- urinálise:
pode haver hematúria leve; proteinúria na faixa subnefrótica a nefrótica
- creatinina sérica:
normal ou elevado
- taxa de filtração glomerular estimada:
normal ou diminuído
- biópsia renal:
os glomérulos demonstram matriz mesangial aumentada com membranas basais espessadas; depósitos imunes subepiteliais com depósitos subepiteliais e mesangiais ocasionais
Outras investigações
- Anticorpos anti-receptor de fosfolipase A2 (PLA2R):
normal ou positivo
Mais - fator antinuclear (FAN):
normal ou positivo
Mais - C3/C4:
normais ou baixas
Mais - reagina plasmática rápida:
normal ou positivo
Mais - HBsAg:
normal ou positivo
Mais - anticorpo contra hepatite C:
normal ou positivo
Mais - rastreamento de câncer apropriado para a idade:
normal ou presença de neoplasia
Mais
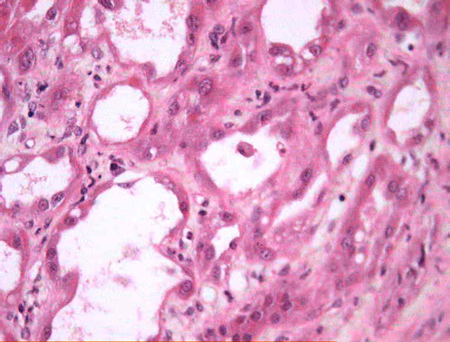
Glomerulonefrite membranoproliferativa
História
idiopática é rara; geralmente história de outra doença como lúpus eritematoso sistêmico, hepatite C, glomerulonefrite pós-infecciosa, endocardite, crioglobulinemia, microangiopatia trombótica, glomerulopatia C3
Exame físico
edema; geralmente hipertensivo; pode haver evidência de artrite/erupções cutâneas/outro envolvimento de órgãos-alvo com lúpus eritematoso sistêmico; sopro com endocardite; urina com coloração de chá na glomerulonefrite pós-infecciosa
Primeira investigação
- urinálise:
geralmente com hematúria, pode haver cilindros eritrocitários; proteinúria na faixa subnefrótica a nefrótica
- creatinina sérica:
normal ou elevado
- taxa de filtração glomerular estimada:
normal ou diminuída
- biópsia renal:
os glomérulos demonstram tufos lobulares com matriz mesangial aumentada, proliferação de células endoteliais e membranas basais espessadas; depósitos mesangiais e subendoteliais
Outras investigações
- fator antinuclear (FAN):
normal ou positivo
Mais - anticorpo contra hepatite C:
normal ou positivo
Mais - níveis do complemento:
C3 baixo ou normal em algumas doenças de imunocomplexo
Mais - crioglobulinas:
normal ou positivo
Mais - fator reumatoide:
normal ou positivo
Mais - Hemograma completo:
esquistócitos e trombocitopenia na microangiopatia trombótica
Nefropatia por imunoglobulina A (IgA)
História
é a glomerulonefrite mais comum em todo o mundo; alta incidência em populações asiáticas; história de hematúria macroscópica associada a infecção respiratória superior; história de doença de Crohn ou doença celíaca; mais comum entre homens
Exame físico
o edema e a hipertensão podem ocorrer raramente; geralmente descoberta incidentalmente ao se avaliar hematúria microscópica; podem haver lesões de pele purpúreas
Primeira investigação
- urinálise:
tipicamente proteinúria na faixa subnefrótica
- creatinina sérica:
geralmente normais
- taxa de filtração glomerular estimada:
geralmente normais
- biópsia renal:
pode haver desde um aumento leve da matriz mesangial dos glomérulos até uma glomerulonefrite crescente; depósitos mesangiais que têm coloração para IgA
Outras investigações
Lúpus eritematoso sistêmico
História
história de erupções cutâneas, fotossensibilidade, úlceras orais, artrite, serosite, doença renal, alterações neurológicas (psicose, convulsões), doença hematológica
Exame físico
erupção cutânea malar; artrite; edema; hipertensão; úlceras orais, derrame pleural; neuropatia; fenômeno de Raynaud
Primeira investigação
- urinálise:
pode haver hematúria, cilindros eritrocitários e piúria; proteinúria na faixa subnefrótica a nefrótica
- biópsia renal:
os achados da biópsia variam de proliferação mesangial leve a glomerulonefrite crescêntica; pode também resultar em nefropatia membranosa ou nefrite intersticial
- fator antinuclear (FAN):
positiva
- creatinina sérica:
normal ou elevado
- taxa de filtração glomerular estimada:
normal ou diminuído
Glomerulonefrite pós-infecciosa
História
história recente de infecção; pode ocorrer com praticamente qualquer agente infeccioso; a descrição clássica é pós-estreptocócica; superantígenos do Staphylococcus aureus podem rapidamente resultar em lesão renal aguda
Exame físico
edema; hipertensão; urina com coloração de chá em alguns casos
Primeira investigação
- urinálise:
hematúria e cilindros eritrocitários; tipicamente proteinúria na faixa subnefrótica
- creatinina sérica:
normal ou elevado
- taxa de filtração glomerular estimada:
normal ou diminuído
- biópsia renal:
os glomérulos apresentam depósitos subepiteliais em "dorso de camelo" (hump-like) grandes; proliferação endocapilar e crescentes são comuns, e os glomérulos podem ter uma aparência membranoproliferativa
Lesão tubular aguda
História
lesões nefrotóxicas recentes tais como hipotensão, AINEs, aminoglicosídeos, anfotericina B, ácido zoledrônico, preparações intestinais com fosfato oral, contraste intravenoso, ventilação mecânica, isquemia
Exame físico
nenhum achado específico
Primeira investigação
- urinálise:
tipicamente acelular com cilindros granulares de coloração acastanhada; proteinúria mínima; células epiteliais tubulares renais (ETR), cilindros de células ETR, cilindros céreos
- creatinina sérica:
elevado
- taxa de filtração glomerular estimada:
reduzidos
Outras investigações
- biópsia renal:
lesão tubular proximal, perda da borda em escova, vacuolização de células epiteliais tubulares
Mais
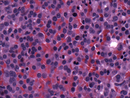
Nefrite intersticial
História
exposição a medicamentos desencadeantes típicos como AINEs, antibióticos, alopurinol, inibidores da bomba de prótons; uveíte na nefrite túbulo-intersticial e síndrome de uveíte; agentes infecciosos (por exemplo, vírus); doença sistêmica (por exemplo, sarcoidose, doença de Sjögren)
Exame físico
pode haver erupção cutânea e febre; uveíte anterior na nefrite túbulo-intersticial e síndrome de uveíte
Primeira investigação
- urinálise:
piúria; cilindros leucocitários; pode haver hematúria; proteinúria na faixa subnefrótica
- Hemograma completo:
eosinofilia
Mais - creatinina sérica:
elevado
- taxa de filtração glomerular estimada:
reduzidos
Outras investigações
- biópsia renal:
inflamação intersticial com eosinófilos
Mais
Obstrução do trato urinário
História
história de hiperplasia prostática benigna, nefrolitíase, retenção urinária, câncer ginecológico; o débito urinário pode estar reduzido, normal ou aumentado; dor suprapúbica ou nos flancos
Exame físico
a bexiga pode estar palpável; próstata aumentada no exame retal
Primeira investigação
- urinálise:
tipicamente acelular; proteinúria mínima
Mais - ultrassonografia renal:
bexiga distendida com hiperplasia prostática benigna; hidronefrose/hidroureter na obstrução ureteral
- creatinina sérica:
normal ou elevado
- taxa de filtração glomerular estimada:
normal ou diminuído
Síndrome metabólica
História
sobrepeso; história de hipertensão, resistência insulínica/diabetes, dislipidemia
Exame físico
PA ≥130/85 mmHg; cintura ≥102 cm (40 polegadas) em homens ou 89 cm (35 polegadas) em mulheres
Primeira investigação
- perfil lipídico:
triglicerídeos ≥1.7 mmol/L (≥150 mg/dL); lipoproteína de alta densidade <1.03 mmol/L (<40 mg/dL) em homens ou <1.3 mmol/L (<50 mg/dL) em mulheres
- glicemia de jejum:
≥7.0 mmol/L (≥126 mg/dL) ou HbA1c ≥48 mmol/mol
- creatinina sérica:
normal ou elevado
- taxa de filtração glomerular estimada:
normal ou diminuído
Outras investigações
Nefropatia diabética
História
aumenta com a duração do diabetes; retinopatia tipicamente está presente
Exame físico
retinopatia; neuropatia; geralmente hipertenso com complicações macrovasculares
Primeira investigação
- urinálise:
proteinúria geralmente >1 g/dia
Mais - creatinina sérica:
normal ou elevado
- taxa de filtração glomerular estimada:
normal ou diminuído
- biópsia renal:
matriz mesangial aumentada com nódulos de Kimmelstiel-Wilson
Outras investigações
Hipertensão
História
história de hipertensão de longa data
Exame físico
evidência de dano hipertensivo em órgãos-alvo (por exemplo, retinopatia, hipertrofia ventricular esquerda)
Primeira investigação
- urinálise:
geralmente proteinúria na faixa subnefrótica
- creatinina sérica:
normal ou elevado
- taxa de filtração glomerular estimada:
normal ou diminuído
Outras investigações
- ecocardiograma:
normal ou hipertrofia ventricular esquerda
Mais - biópsia renal:
evidência de alterações vasculares e nefroesclerose hipertensivas
Vasculite de pequenos e médios vasos
História
disfunções de múltiplos órgãos; erupção cutânea, neuropatia, cefaleia, acidente vascular cerebral (AVC), alteração do estado mental, dispneia, hemoptise, dor abdominal, insuficiência renal aguda
Exame físico
o envolvimento de órgãos específicos ditará os achados; em geral, vários sistemas estão envolvidos simultaneamente
Primeira investigação
- urinálise:
vasculite de médios vasos: tipicamente acelular e proteinúria mínima; vasculite de pequenos vasos: hematúria, cilindros eritrocitários e geralmente proteinúria na faixa subnefrótica
- creatinina sérica:
normal ou elevado
- taxa de filtração glomerular estimada:
normal ou diminuído
- biópsia renal:
a vasculite de pequenos vasos produz uma glomerulonefrite crescêntica sem proliferação endotelial significativa ou uma deposição acentuada de imunocomplexo
- autoanticorpo anticitoplasma de neutrófilo (ANCA):
positiva
Mais
Outras investigações
- angiografia convencional ou angiografia por ressonância magnética:
normal ou pode apresentar perolização, aneurisma ou lesões oclusivas focais de vasos de médio calibre
Mais
Rabdomiólise (mioglobinúria)
História
dor muscular; lesão recente por esmagamento; imobilidade prolongada; infecção viral; uso de drogas como estatinas e cocaína; erros inatos do metabolismo muscular podem se apresentar em adultos jovens
Exame físico
sensibilidade muscular; urina escura
Primeira investigação
- urinálise:
pigmentos heme sem eritrócitos; proteinúria na faixa subnefrótica
- creatinina sérica:
elevado
- creatina quinase:
geralmente >5000 a 10,000 U/L
Outras investigações
- mioglobina urinária:
normal ou positivo
Mais
Incomuns
Gestação
História
agravamento de uma doença renal crônica preexistente; desenvolvimento de novo episódio de hipertensão e/ou edema durante a gestação (por exemplo, pré-eclâmpsia); distúrbios visuais; dor na parte superior do abdome; cefaleia; possível púrpura trombocitopênica trombótica na síndrome hemolítico-urêmica (PTT-SHU)
Exame físico
hipertensão; edema; equimose/petéquia (com PTT-SHU)
Primeira investigação
- urinálise:
proteinúria na faixa subnefrótica a nefrótica; sedimento acelular na pré-eclâmpsia; pode haver hematúria na PTT-SHU
- ácido úrico:
geralmente >357 micromoles/L (6 mg/dL) na pré-eclâmpsia
- ureia e creatinina:
pode estar elevada
- esfregaço de sangue periférico:
esquistócitos; anemia; trombocitopenia se PTT-SHU
Outras investigações
- biópsia renal:
endoteliose glomerular na pré-eclâmpsia; trombose glomerular pode ser observada, embora a biópsia renal não seja geralmente obtida devido à trombocitopenia
Amiloidose
História
doenças inflamatórias crônicas como artrite reumatoide, cardiopatia restritiva, insuficiência hepática e febre familiar do Mediterrâneo; discrasia plasmocitária como mieloma múltiplo ou gamopatia monoclonal de significância renal
Exame físico
edema; hipertensão; pode haver síndrome do túnel do carpo; fragilidade capilar; insuficiência autonômica
Primeira investigação
- urinálise:
hematúria; proteinúria na faixa subnefrótica a nefrótica
- biópsia renal:
depósitos amiloides glomerulares
Mais - creatinina sérica:
geralmente normais
- taxa de filtração glomerular estimada:
geralmente normais
- eletroforese de proteínas:
uma proteína monoclonal é tipicamente evidente na eletroforese de proteínas séricas e urinárias
Outras investigações
- biópsia da medula óssea:
pode revelar evidência de discrasia plasmocitária
Mais
Doenças de depósito de cadeias leves e pesadas
História
discrasia plasmocitária, como mieloma múltiplo ou gamopatia monoclonal de significância indeterminada
Exame físico
edema; hipertensão; insuficiência autonômica
Primeira investigação
- urinálise:
pode haver hematúria e proteinúria na faixa subnefrótica a nefrótica
- creatinina sérica:
geralmente elevada no mieloma múltiplo
- taxa de filtração glomerular estimada:
geralmente reduzida no mieloma múltiplo
- biópsia renal:
depósitos glomerulares e tubulares de cadeias leves
Mais - eletroforese de proteínas:
proteína monoclonal, níveis elevados de cadeias leves kappa ou lambda
Mais - cadeias leves livres no soro:
concentrações elevadas de cadeias leves livres no soro
Mais
Outras investigações
- biópsia da medula óssea:
normal ou discrasia plasmocitária
Mais
Glomerulopatias imunotactoide e fibrilar
História
discrasia plasmocitária como mieloma múltiplo ou gamopatia monoclonal; hepatite C; alguns pacientes apresentam linfoma subjacente
Exame físico
edema; hipertensão
Primeira investigação
- urinálise:
hematúria; proteinúria na faixa subnefrótica a nefrótica
- creatinina sérica:
geralmente elevada no mieloma múltiplo
- taxa de filtração glomerular estimada:
geralmente reduzida no mieloma múltiplo
- biópsia renal:
depósitos de fibrilas visualizados por microscopia eletrônica
Mais - eletroforese de proteínas:
normal ou proteína monoclonal
Mais
Outras investigações
Doença por anticorpo antimembrana basal glomerular (anti-GBM) (doença de Goodpasture)
História
insuficiência renal rapidamente progressiva, hemoptise, hematúria; geralmente tem história positiva para tabagismo
Exame físico
estertores; pode apresentar hematúria macroscópica
Primeira investigação
- urinálise:
hematúria; proteinúria tipicamente mínima a <2 g/dia
- anticorpo anti-GBM:
positivo (≥3 U/mL)
- radiografia torácica:
opacidades no espaço aéreo bilaterais
Mais - creatinina sérica:
elevado
- biópsia renal:
glomerulonefrite crescêntica, não proliferativa; coloração de IgG linear na membrana basal glomerular
Outras investigações
Síndrome de Fanconi
História
pode ser hereditária; pode haver mieloma múltiplo subjacente, exposição a metais pesados ou a medicamentos como o tenofovir
Exame físico
microcefalia, hipogonadismo e manchas "café com leite" com doença congênita; sintomas de início na idade adulta específicos à etiologia subjacente
Primeira investigação
- urinálise:
proteinúria de baixo peso molecular/proteinúria na faixa subnefrótica; glicosúria; acidose tubular renal proximal; fosfatúria
- eletrólitos séricos:
hipofosfatemia; hipocalemia; acidose sem anion gap
- creatinina sérica:
geralmente normais
- taxa de filtração glomerular estimada:
geralmente normais
Doenças renais císticas
História
doença renal crônica na infância com nefronoftise; pode haver dor nos flancos ou hematúria com doença renal policística (DRP); hemorragia cerebral/AVC em DRP
Exame físico
rins palpáveis na DRP; retinite pigmentosa em algumas formas de nefronoftise; polidactilia na síndrome de Bardet-Biedl
Primeira investigação
- urinálise:
geralmente acelular; proteinúria mínima
- creatinina sérica:
geralmente normal
- taxa de filtração glomerular estimada:
geralmente normal
- ultrassonografia:
rins pequenos e císticos com nefronoftise; rins aumentados e císticos com DRP
Outras investigações
Hipercalciúria
História
geralmente assintomática; pode haver história de nefrolitíase; se o paciente também estiver hipercalcêmico, pode haver náuseas, constipação, psicose, poliúria, fraqueza
Exame físico
se o paciente estiver hipercalcêmico, pode haver alteração no estado mental, fraqueza generalizada
Primeira investigação
- urinálise:
pode haver hematúria; proteinúria na faixa subnefrótica
Mais - creatinina sérica:
geralmente normal
- taxa de filtração glomerular estimada:
geralmente normal
- excreção urinária de cálcio:
>300 mg/dia nos homens e >250 mg/dia nas mulheres
Outras investigações
- ultrassonografia renal:
pode revelar evidência de nefrocalcinose
Doença de Dent
História
recessiva ligada ao cromossomo X: tipicamente apenas homens são afetados; poliúria e noctúria na infância; nefrolitíase; doença renal crônica; raquitismo; nefrocalcinose
Exame físico
poucos achados físicos
Primeira investigação
- urinálise:
proteinúria de baixo peso molecular/proteinúria na faixa subnefrótica; pode haver hematúria; hipercalciúria; glicosúria
Mais - creatinina sérica:
geralmente elevado
- taxa de filtração glomerular estimada:
geralmente reduzida
Outras investigações
- teste genético de CLC-5:
mutação genética
Mais
Nefropatia por ácido aristolóquico
História
tem sido associada à ingestão de ácido aristolóquico, que é um componente de algumas ervas chinesas e medicamentos para perda de peso, além de ser um componente do trigo usado no pão na região dos Bálcãs
Exame físico
poucos achados físicos; pode haver hematúria macroscópica com malignidade urológica subjacente
Primeira investigação
- urinálise:
pode haver hematúria leve e piúria; geralmente proteinúria <2 g
- creatinina sérica:
geralmente elevado
- taxa de filtração glomerular estimada:
geralmente reduzida
- biópsia renal:
fibrose intersticial cortical grave com glomérulos não afetados; ausência geral de infiltrado inflamatório
Outras investigações
Nefropatia com cilindros de cadeia leve
História
discrasia plasmocitária, como mieloma múltiplo ou gamopatia monoclonal de significância indeterminada; insuficiência renal de início rápido
Exame físico
edema; hipertensão
Primeira investigação
- urinálise:
tipicamente acelular; proteinúria na faixa nefrótica
- biópsia renal:
cilindros de cadeia leve dentro dos túbulos renais sem evidência de deposição glomerular ou de substância amiloide
- creatinina sérica:
geralmente elevada no mieloma múltiplo
- taxa de filtração glomerular estimada:
geralmente reduzida no mieloma múltiplo
- eletroforese de proteínas:
uma proteína monoclonal é tipicamente evidente na eletroforese de proteínas séricas e urinárias
Outras investigações
- biópsia da medula óssea:
pode revelar evidência de discrasia plasmocitária
Mais
Doença de Fabry
História
Deficiência genética da alfagalactosidase A ligada ao cromossomo X, sensação de queimação das mãos com exercício e calor, doença ocular, doença arterial coronariana e periférica, insuficiência cardíaca congestiva, hipohidrose, alteração da motilidade gastrointestinal, insuficiência renal e febre
Exame físico
opacificação da córnea; hipertensão; má circulação; angina; angioqueratomas; hipohidrose; obesidade; telangiectasia; depósitos córneos
Primeira investigação
- urinálise:
proteinúria na faixa subnefrótica a nefrótica
- dosagem de alfagalactosidase A em leucócitos:
<4% do normal
- glicosaminoglicanos urinários:
globotriaosilceramida (Gb3) elevada
- creatinina sérica:
geralmente elevado
- taxa de filtração glomerular estimada:
geralmente reduzida
Outras investigações
- biópsia de pele:
acúmulo de glicolipídio
- biópsia renal:
acúmulo de glicolipídio e de células espumosas
Mais
Síndrome hemolítico-urêmica (SHU)
História
infecção por Escherichia coli recente; diarreia; nos casos de SHU atípica, há história de SHU/púrpura trombocitopênica trombótica; história familiar positiva; história de mutações de proteínas reguladoras do complemento; transplante prévio de medula óssea; associada a medicamentos como ciclosporina, gencitabina e bevacizumabe (inibidor do fator de crescimento endotelial vascular); gestação ou estado pós-parto
Exame físico
edema; hipertensão; erupção cutânea petequial ou purpúrica; febre
Primeira investigação
- urinálise:
pode ser acelular ou com hematúria; proteinúria tipicamente de mínima a <2 g/dia
- Hemograma completo:
Hb baixa e plaquetopenia
- esfregaço de sangue periférico:
esquizócitos, trombocitopenia
- haptoglobina:
normais ou baixas
Mais - ureia e creatinina:
elevado
Mais - lactato desidrogenase:
normal ou elevado
Mais - coprocultura em ágar MacConkey-sorbitol para detectar Escherichia coli produtora de toxina Shiga; coprocultura para detectar E coli O157:H7 ou O104:H4:
colônias brancas
Mais - reação em cadeia da polimerase para detectar toxina Shiga 1/toxina Shiga 2:
positiva
Outras investigações
- biópsia renal:
a trombose glomerular pode ser observada, embora a biópsia renal não seja geralmente obtida devido à trombocitopenia
- análise de mutação do complemento:
pode detectar mutações em ≥1 membros da via do complemento
- atividade da ADAMTS13:
geralmente normais
Mais
Púrpura trombocitopênica trombótica (PTT)
História
infecção recente; alterações no estado mental variando de cefaleia e confusão a convulsões; história de PTT; história familiar positiva; transplante prévio de medula óssea; associada a medicamentos como ciclosporina, clopidogrel e gencitabina
Exame físico
edema; hipertensão; erupção cutânea petequial ou purpúrica; febre; deficit neurológico focal e coma
Primeira investigação
- urinálise:
pode ser acelular ou com hematúria; proteinúria tipicamente de mínima a <2 g/dia
- hemograma completo:
Hb baixa e plaquetopenia
- esfregaço de sangue periférico:
esquizócitos, trombocitopenia
- haptoglobina:
normais ou baixas
Mais - ureia e creatinina:
elevado
Mais - lactato desidrogenase:
normal ou elevado
Mais - atividade da ADAMTS13:
baixa
Outras investigações
- biópsia renal:
a trombose glomerular pode ser observada, embora a biópsia renal não seja geralmente obtida devido à trombocitopenia
Crise renal esclerodérmica
História
geralmente dentro dos primeiros 5 anos do diagnóstico de esclerodermia com envolvimento difuso da pele; frequentemente em pacientes que fazem uso de prednisona; novo episódio de hipertensão e piora da função renal com rápida progressão; pode haver alteração da motilidade gastrointestinal e hipertensão pulmonar
Exame físico
geralmente hipertensão acentuada (muitas vezes com início abrupto); hipomimia da esclerodermia; dígitos afilados com pele rígida
Primeira investigação
Outras investigações
- biópsia renal:
demonstra lesões vasculares do tipo "casca de cebola"; pode haver evidência de microangiopatia trombótica
Envenenamento por metais pesados
História
história de exposição industrial/ambiental; pinturas antigas e "moonshine" (bebida alcoólica ilícita) são fontes comuns de intoxicação por chumbo; pode haver neuropatia, hipertensão, dor abdominal, sintomas psiquiátricos, gota, erupção cutânea
Exame físico
gota, neuropatia, retardo no desenvolvimento, hiperceratose, hipertensão
Primeira investigação
- urinálise:
frequentemente acelular; proteinúria na faixa subnefrótica
- teste de metais pesados na urina:
positiva
- creatinina sérica:
geralmente elevado
- taxa de filtração glomerular estimada:
geralmente reduzida
Outras investigações
- biópsia renal:
achados inespecíficos de fibrose intersticial
Glomeruloesclerose nodular idiopática
História
história de tabagismo e obesidade
Exame físico
obesidade, edema
Primeira investigação
- urinálise:
acelular, proteinúria na faixa nefrótica
- creatinina sérica:
geralmente elevado
- taxa de filtração glomerular estimada:
geralmente reduzida
Outras investigações
- biópsia renal:
glomeruloesclerose nodular
Glomerulonefrite (GN) proliferativa com deposições de imunoglobulina G (IgG) monoclonal
História
história de gamopatia monoclonal
Exame físico
edema
Primeira investigação
- urinálise:
proteinúria na faixa subnefrótica com hematúria
- creatinina sérica:
geralmente elevado
- taxa de filtração glomerular estimada:
geralmente reduzida
- imunoglobulinas séricas:
pico monoclonal
Outras investigações
- biópsia renal:
depósitos granulares não organizados à microscopia eletrônica
Polimiosite
História
história de dor e fraqueza musculares
Exame físico
fraqueza muscular
Primeira investigação
- urinálise:
proteinúria na faixa subnefrótica
- anticorpos antissintetase:
positivo para anti-Jo1
- creatina quinase:
elevado
- creatinina sérica:
normal ou elevado
- taxa de filtração glomerular estimada:
normal ou diminuído
Outras investigações
- RNM:
inflamação e edema musculares
- biópsia muscular:
infiltrado celular com o fascículo
Trombose da veia renal
História
mais comum nos pacientes com síndrome nefrótica (primariamente nefropatia membranosa), síndrome do anticorpo antifosfolipídeo e outros defeitos hereditários protrombóticos; compressão extrínseca da veia renal por fibrose retroperitoneal ou aneurisma aórtico; história de trauma ou desidratação grave; em crianças, apresenta-se com dor aguda nos flancos
Exame físico
hematúria, edema
Primeira investigação
- urinálise:
hematúria; proteinúria na faixa subnefrótica a nefrótica
- ureia e creatinina:
elevadas se a trombose unilateral ou bilateral está presente no cenário da doença renal crônica
- lactato desidrogenase (LDH):
pode estar elevada
Outras investigações
- venografia renal seletiva:
mostra oclusão de veia renal
- ressonância nuclear magnética (RNM), TC ou ultrassonografia com Doppler:
mostra oclusão de veia renal
O uso deste conteúdo está sujeito ao nosso aviso legal




