Imagens e vídeos
IMAGENS

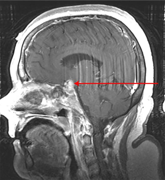
Craniofaringioma
Craniofaringioma: ressonância nuclear magnética (RNM) sagital pós-contraste
Do acervo de Marc C. Chamberlain
Veja esta imagem em contexto nas seguintes seções:

Craniofaringioma
Craniofaringioma: histologia adamantinomatosa (potência média) com bandas epiteliais mostrando áreas reticulares e nódulos de queratina
Do acervo de Marc C. Chamberlain
Veja esta imagem em contexto nas seguintes seções:

Craniofaringioma
Craniofaringioma: ressonância nuclear magnética (RNM) sagital pós-contraste
Do acervo de Marc C. Chamberlain; usado com permissão
Veja esta imagem em contexto nas seguintes seções:

Craniofaringioma
Craniofaringioma: ressonância nuclear magnética (RNM) sagital pós-contraste
Do acervo de Marc C. Chamberlain
Veja esta imagem em contexto nas seguintes seções:

Craniofaringioma
Craniofaringioma: histologia adamantinomatosa (baixa potência) com arranjos complexos de epitélio, cistos e cérebro gliótico.
Do acervo de Marc C. Chamberlain
Veja esta imagem em contexto nas seguintes seções:

Craniofaringioma
Craniofaringioma: histologia adamantinomatosa (alta potência) com células colunares alinhadas basalmente, retículo estrelado e queratinização epitelial
Do acervo de Marc C. Chamberlain
Veja esta imagem em contexto nas seguintes seções:

Craniofaringioma
Craniofaringioma: ressonância nuclear magnética (RNM) coronal pós-contraste
Do acervo de Marc C. Chamberlain
Veja esta imagem em contexto nas seguintes seções:

Craniofaringioma
Craniofaringioma: ressonância nuclear magnética (RNM) axial pós-contraste
Do acervo de Marc C. Chamberlain; usado com permissão
Veja esta imagem em contexto nas seguintes seções:
O uso deste conteúdo está sujeito ao nosso aviso legal