Imagens e vídeos
IMAGENS

Intussuscepção
Radiografia abdominal que mostra a passagem insuficiente de bário no local da obstrução decorrente da intussuscepção
Do acervo do Dr David J. Hackam; usada com permissão
Veja esta imagem em contexto nas seguintes seções:

Intussuscepção
Local de intussuscepção conforme revelado pela radiografia abdominal, que mostra o menisco
Do acervo do Dr David J. Hackam; usada com permissão
Veja esta imagem em contexto nas seguintes seções:

Intussuscepção
Intussuscepção: os vasos sanguíneos ficam presos entre as camadas do intestino, o que causa redução do suprimento de sangue, edema, estrangulação intestinal e gangrena. Por conseguinte, pode haver sepse, choque e óbito
Criado pelo BMJ Knowledge Centre
Veja esta imagem em contexto nas seguintes seções:

Intussuscepção
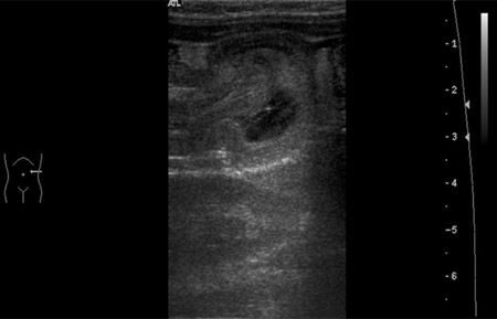
Sonograma transversal do abdome mostrando o sinal de rosca (anéis concêntricos dentro do lúmen de uma alça distendida do intestino)
Adaptado do Student BMJ. 2008;16:76. Copyright 2010 pelo BMJ Publishing Group; usado com permissão
Veja esta imagem em contexto nas seguintes seções:

Intussuscepção
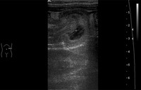
Imagem de ultrassonografia que mostra a invaginação de um segmento do intestino no segmento adjacente
BMJ Case Reports 2009; doi:10.1136/bcr.04.2009.1730; usada com permissão
Veja esta imagem em contexto nas seguintes seções:
O uso deste conteúdo está sujeito ao nosso aviso legal