Imagens e vídeos
IMAGENS

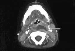
Abscesso retrofaríngeo
Tomografia computadorizada (TC) cervical demonstrando lesão com realce em anel
Philpott CM, Selvadurai D, Banerjee AR. Paediatric retropharyngeal abscess. J Laryngol Otol. 2004;118:919-926
Veja esta imagem em contexto nas seguintes seções:
O uso deste conteúdo está sujeito ao nosso aviso legal