Os objetivos do tratamento das fraturas do rádio distal são a restauração anatômica e a recuperação da funcionalidade da mão, do punho e do antebraço.
Se o paciente estiver sendo tratado com imobilização por gesso ou tala, ou se estiver aguardando fixação cirúrgica, é importante que a reabilitação da mão seja iniciada na primeira oportunidade; orientar o paciente, tranquilizá-lo e controlar a dor são essenciais logo na visita inicial.
Os membros afetados devem ser elevados. A amplitude de movimentos ativa dos dedos e do ombro deve começar durante os primeiros dias após a lesão. Isso ajuda a controlar o edema na mão, e para prevenir a rigidez nas articulações interfalângicas proximais e metacarpofalângicas, e ombro congelado.[41]Miller LK, Jerosch-Herold C, Shepstone L. Effectiveness of edema management techniques for subacute hand edema: a systematic review. J Hand Ther. 2017 Oct-Dec;30(4):432-46.
https://www.jhandtherapy.org/article/S0894-1130(16)30228-9/fulltext
http://www.ncbi.nlm.nih.gov/pubmed/28807598?tool=bestpractice.com
[42]Itoi E, Arce G, Bain GI, et al. Shoulder stiffness: current concepts and concerns. Arthroscopy. 2016 Jul;32(7):1402-14.
http://www.ncbi.nlm.nih.gov/pubmed/27180923?tool=bestpractice.com
Em qualquer paciente, após redução manual ou cirúrgica da fratura, se for observada piora ou persistência da disfunção do nervo mediano, um procedimento de liberação do túnel do carpo deve ser realizado com urgência por um cirurgião ortopédico.[43]Niver GE, Ilyas AM. Carpal tunnel syndrome after distal radius fracture. Orthop Clin North Am. 2012 Oct;43(4):521-7.
http://www.ncbi.nlm.nih.gov/pubmed/23026468?tool=bestpractice.com
[44]Brüske J, Niedźwiedź Z, Bednarski M, et al. Acute carpal tunnel syndrome after distal radius fractures - long term results of surgical treatment with decompression and external fixator application [in Polish]. Chir Narzadow Ruchu Ortop Pol. 2002;67(1):47-53.
http://www.ncbi.nlm.nih.gov/pubmed/12087674?tool=bestpractice.com
[45]Mack GR, McPherson SA, Lutz RB. Acute median neuropathy after wrist trauma. The role of emergent carpal tunnel release. Clin Orthop Relat Res. 1994 Mar;(300):141-6.
http://www.ncbi.nlm.nih.gov/pubmed/8131326?tool=bestpractice.com
Iniciar uma investigação da densidade mineral óssea na clínica ortopédica pode melhorar a avaliação da osteoporose e os índices do tratamento após fraturas por fragilidade da parte distal do rádio.[16]British Orthopaedic Association and The British Society for Surgery of the Hand. Best practice for management of distal radius fracture. 2018 [internet publication].
https://www.bssh.ac.uk/professionals/management_of_distal_radial_fractures.aspx
[46]Rozental TD, Makhni EC, Day CS, et al. Improving evaluation and treatment for osteoporosis following distal radial fractures: a prospective randomized intervention. J Bone Joint Surg Am. 2008 May;90(5):953-61.
http://www.ncbi.nlm.nih.gov/pubmed/18451385?tool=bestpractice.com
O manejo adequado da dor é importante, especialmente durante a reabilitação; contudo, o tratamento específico varia muito, dependendo do paciente, do quadro clínico, do método de tratamento e dos protocolos locais. Alternativas aos opioides, tanto farmacológicas (por exemplo, anestésicos locais, anti-inflamatórios não esteroidais, paracetamol) quanto não farmacológicas (por exemplo, gelo, elevação, compressão, terapias cognitivas), devem ser consideradas juntamente com protocolos poupadores de opioides, quando possível, devido aos riscos dos analgésicos opioides (eventos adversos, uso indevido, transtorno relacionado ao uso de opioides e desvio para uso não médico).[34]American Academy of Orthopaedic Surgeons. Management of distal radius fractures: evidence-based clinical practice guideline. Dec 2020 [internet publication].
https://www.aaos.org/globalassets/quality-and-practice-resources/distal-radius/drfcpg.pdf
Fraturas do processo estiloide da ulna frequentemente ocorrem concomitantemente com fraturas do rádio distal. Geralmente, podem ser tratadas sem cirurgia.[47]van Rossenberg LX, Beeres FJP, van Heijl M, et al. Operative versus non-operative treatment of ulnar styloid process base fractures: a systematic review and meta-analysis. Eur J Trauma Emerg Surg. 2024 Dec;50(6):2843-54.
https://link.springer.com/article/10.1007/s00068-024-02660-2
http://www.ncbi.nlm.nih.gov/pubmed/39269646?tool=bestpractice.com
Tratamento inicial, antes dos cuidados definitivos
Fraturas fechadas
Nas fraturas fechadas, o tratamento inicial é a imobilização.
Normalmente, um gesso de braço curto pode ser usado com articulações metacarpofalângicas livres, sem se estender além da prega distal de flexão palmar. Talas não circunferenciais são frequentemente usadas em situações agudas no pronto-socorro devido ao risco de edema.
Se a fratura tiver deslocamento, o paciente necessitará de redução ou encaminhamento a um local onde ela possa ser realizada. Uma radiografia pós-redução deve ser obtida na tala. Se a redução for inadequada ou instável, é provável que uma redução aberta e uma fixação sejam necessárias.
Todas as fraturas devem ter acompanhamento adequado, para garantir cuidado oportuno. Em casos de fraturas instáveis e daquelas que necessitam de fixação, deve-se obter encaminhamento imediato a um cirurgião ortopédico (ou a um cirurgião de mão especializado, se disponível).
Fraturas expostas
As fraturas expostas exigem tratamento urgente com irrigação com soro fisiológico e desbridamento da fratura e da ferida aberta, além de remoção de todo o tecido desvitalizado e de resíduos estranhos, antes da fixação.[48]Rupp M, Popp D, Alt V. Prevention of infection in open fractures: where are the pendulums now? Injury. 2020 May;51 Suppl 2:S57-63.
http://www.ncbi.nlm.nih.gov/pubmed/31679836?tool=bestpractice.com
Em seguida, se houver previsão de qualquer demora no tratamento definitivo, a fratura pode ser provisoriamente estabilizada com uma tala ou um fixador externo.[16]British Orthopaedic Association and The British Society for Surgery of the Hand. Best practice for management of distal radius fracture. 2018 [internet publication].
https://www.bssh.ac.uk/professionals/management_of_distal_radial_fractures.aspx
A American Academy of Orthopaedic Surgeons (AAOS) recomenda que os pacientes com fraturas expostas sejam levados ao centro cirúrgico para desbridamento e irrigação assim que possível, até 24 horas após a lesão.[49]American Academy of Orthopaedic Surgeons. Prevention of surgical site infections after major extremity trauma: appropriate use criteria. Mar 2022 [internet publication].
https://www.aaos.org/globalassets/quality-and-practice-resources/dod/ssitrauma/ssitraumaauc.pdf
[50]American Academy of Orthopaedic Surgeons. Prevention of surgical site infections after major extremity trauma: evidence-based clinical practice guideline. Mar 2022 [internet publication].
https://www.aaos.org/globalassets/quality-and-practice-resources/dod/ssitrauma/ssitraumacpg.pdf
Recomenda-se o uso de antibióticos pré-operatórios para prevenir infecções cirúrgicas no tratamento cirúrgico de fraturas expostas.[49]American Academy of Orthopaedic Surgeons. Prevention of surgical site infections after major extremity trauma: appropriate use criteria. Mar 2022 [internet publication].
https://www.aaos.org/globalassets/quality-and-practice-resources/dod/ssitrauma/ssitraumaauc.pdf
[50]American Academy of Orthopaedic Surgeons. Prevention of surgical site infections after major extremity trauma: evidence-based clinical practice guideline. Mar 2022 [internet publication].
https://www.aaos.org/globalassets/quality-and-practice-resources/dod/ssitrauma/ssitraumacpg.pdf
Em pacientes com trauma grave de membro submetidos à cirurgia, a AAOS recomenda fortemente a profilaxia com antibióticos com administração sistêmica de cefazolina ou clindamicina, exceto para fraturas expostas de tipo III (uma fratura exposta segmentar, ou uma fratura exposta com dano extenso aos tecidos moles, ou uma amputação traumática) e, possivelmente, de tipo II (laceração com mais de 1 cm sem danos aos tecidos moles, enxertos ou avulsões), para as quais é preferível a cobertura Gram-negativa adicional (por exemplo, piperacilina/tazobactam).[49]American Academy of Orthopaedic Surgeons. Prevention of surgical site infections after major extremity trauma: appropriate use criteria. Mar 2022 [internet publication].
https://www.aaos.org/globalassets/quality-and-practice-resources/dod/ssitrauma/ssitraumaauc.pdf
[50]American Academy of Orthopaedic Surgeons. Prevention of surgical site infections after major extremity trauma: evidence-based clinical practice guideline. Mar 2022 [internet publication].
https://www.aaos.org/globalassets/quality-and-practice-resources/dod/ssitrauma/ssitraumacpg.pdf
[51]Gustilo RB, Anderson JT. Prevention of infection in the treatment of one thousand and twenty-five open fractures of long bones: retrospective and prospective analyses. J Bone Joint Surg Am. 1976 Jun;58(4):453-8.
http://www.ncbi.nlm.nih.gov/pubmed/773941?tool=bestpractice.com
No entanto, devem-se seguir as sensibilidades e os protocolos locais em relação à escolha do antibiótico. Em pacientes com trauma grave de membro submetidos à cirurgia, estratégias profiláticas com antibióticos locais, como vancomicina em pó, tobramicina em gotas ou pinos cobertos de gentamicina, podem ser benéficas, quando disponíveis.[49]American Academy of Orthopaedic Surgeons. Prevention of surgical site infections after major extremity trauma: appropriate use criteria. Mar 2022 [internet publication].
https://www.aaos.org/globalassets/quality-and-practice-resources/dod/ssitrauma/ssitraumaauc.pdf
[50]American Academy of Orthopaedic Surgeons. Prevention of surgical site infections after major extremity trauma: evidence-based clinical practice guideline. Mar 2022 [internet publication].
https://www.aaos.org/globalassets/quality-and-practice-resources/dod/ssitrauma/ssitraumacpg.pdf
Um estudo sugere que as fraturas abertas devem ser desbridadas até 6 horas após a lesão.[52]Prodromidis AD, Charalambous CP. The 6-hour rule for surgical debridement of open tibial fractures: a systematic review and meta-analysis of infection and nonunion rates. J Orthop Trauma. 2016 Jul;30(7):397-402.
http://www.ncbi.nlm.nih.gov/pubmed/26978135?tool=bestpractice.com
Outro estudo prospectivo concluiu que o tempo até a irrigação e o desbridamento não afeta o desenvolvimento de infecções locais, pois são realizados em até 24 horas após a chegada ao pronto-socorro.[53]Srour M, Inaba K, Okoye O, et al. Prospective evaluation of treatment of open fractures: effect of time to irrigation and debridement. JAMA Surg. 2015 Apr;150(4):332-6.
https://jamanetwork.com/journals/jamasurgery/fullarticle/2108746
http://www.ncbi.nlm.nih.gov/pubmed/25692391?tool=bestpractice.com
Uma revisão sistemática relatou que o desbridamento precoce de fraturas expostas por uma equipe especializada no prazo de 24 horas é adequado.[48]Rupp M, Popp D, Alt V. Prevention of infection in open fractures: where are the pendulums now? Injury. 2020 May;51 Suppl 2:S57-63.
http://www.ncbi.nlm.nih.gov/pubmed/31679836?tool=bestpractice.com
Se houver preocupação relativa à contaminação, é prudente realizar irrigação e desbridamento, além de estabilizar a fratura provisoriamente, com um fixador externo.[49]American Academy of Orthopaedic Surgeons. Prevention of surgical site infections after major extremity trauma: appropriate use criteria. Mar 2022 [internet publication].
https://www.aaos.org/globalassets/quality-and-practice-resources/dod/ssitrauma/ssitraumaauc.pdf
[50]American Academy of Orthopaedic Surgeons. Prevention of surgical site infections after major extremity trauma: evidence-based clinical practice guideline. Mar 2022 [internet publication].
https://www.aaos.org/globalassets/quality-and-practice-resources/dod/ssitrauma/ssitraumacpg.pdf
Para tratar infecções, devem ser administrados antibióticos de acordo com o tipo de lesão aberta e com a gravidade da contaminação no momento do diagnóstico.[48]Rupp M, Popp D, Alt V. Prevention of infection in open fractures: where are the pendulums now? Injury. 2020 May;51 Suppl 2:S57-63.
http://www.ncbi.nlm.nih.gov/pubmed/31679836?tool=bestpractice.com
[49]American Academy of Orthopaedic Surgeons. Prevention of surgical site infections after major extremity trauma: appropriate use criteria. Mar 2022 [internet publication].
https://www.aaos.org/globalassets/quality-and-practice-resources/dod/ssitrauma/ssitraumaauc.pdf
No entanto, devem-se seguir as sensibilidades e os protocolos locais em relação à escolha do antibiótico.
Depois que a infecção estiver controlada, uma redução aberta formal e uma fixação interna podem ser realizadas mais tarde.[50]American Academy of Orthopaedic Surgeons. Prevention of surgical site infections after major extremity trauma: evidence-based clinical practice guideline. Mar 2022 [internet publication].
https://www.aaos.org/globalassets/quality-and-practice-resources/dod/ssitrauma/ssitraumacpg.pdf
O monitoramento da função do nervo mediano deve ser mantido durante todo o período pós-operatório.
Fraturas do rádio distal sem desvio
Pacientes com fraturas sem deslocamento do rádio distal geralmente sofrem lesões de baixa energia e ficam bastante confortáveis uma vez que o punho é imobilizado.
A escolha do meio de imobilização pode variar de um gesso aplicado por um cirurgião ou por um técnico até uma órtese personalizada preparada por um terapeuta ocupacional.
Os suportes curtos para o braço, feitos de gesso ou de fibra de vidro, são aplicados em posição distal em relação ao cotovelo e, nas fraturas sem desvio, mantêm a posição neutra do punho.[16]British Orthopaedic Association and The British Society for Surgery of the Hand. Best practice for management of distal radius fracture. 2018 [internet publication].
https://www.bssh.ac.uk/professionals/management_of_distal_radial_fractures.aspx
O polegar fica livre e o suporte imobilizador termina na prega distal de flexão palmar, o que permite a livre movimentação das articulações metacarpofalângicas, mantendo, assim, a mobilidade dos dedos à medida que a fratura se consolida, além de minimizar a rigidez pós-traumática.
Os suportes imobilizadores devem ficar bem adaptados e ser bem acolchoados, para evitar qualquer pressão; o paciente deve ser avisado sobre a possibilidade de precisar trocar o suporte. Essas trocas podem ser necessárias caso o suporte fique frouxo depois que o inchaço pós-traumático inicial diminuir. A imobilização com gesso por um período de 3-4 semanas é segura.[16]British Orthopaedic Association and The British Society for Surgery of the Hand. Best practice for management of distal radius fracture. 2018 [internet publication].
https://www.bssh.ac.uk/professionals/management_of_distal_radial_fractures.aspx
[54]Bentohami A, van Delft EAK, Vermeulen J, et al. Non- or minimally displaced distal radial fractures in adult patients: three weeks versus five weeks of cast immobilization - a randomized controlled trial. J Wrist Surg. 2019 Feb;8(1):43-8.
https://pmc.ncbi.nlm.nih.gov/articles/PMC6358449
http://www.ncbi.nlm.nih.gov/pubmed/30723601?tool=bestpractice.com
[55]Delft EAKV, Gelder TGV, Vries R, et al. Duration of cast immobilization in distal radial fractures: a systematic review. J Wrist Surg. 2019 Oct;8(5):430-8.
http://www.ncbi.nlm.nih.gov/pubmed/31579555?tool=bestpractice.com
De forma alternativa, em pacientes incapazes de tolerar gesso ou que não querem colocar um, ou ainda em pacientes que apresentam fratura incompleta do rádio distal, é possível utilizar uma órtese baseada no antebraço, que mantém o punho em posição neutra.[56]Roth KM, Blazar PE, Earp BE, et al. Incidence of displacement after nondisplaced distal radial fractures in adults. J Bone Joint Surg Am. 2013 Aug 7;95(15):1398-402.
http://www.ncbi.nlm.nih.gov/pubmed/23925744?tool=bestpractice.com
As órteses são personalizadas por terapeutas ocupacionais e podem ser moldadas de acordo com a anatomia do paciente. À medida que o inchaço diminui, podem ser necessárias modificações para se adaptar às mudanças de dimensão do membro do paciente.
Os pacientes com fraturas sem desvio ou com fissuras do rádio precisam ser alertados sobre a possibilidade de ruptura espontânea do tendão extensor longo do polegar (ELP). Trata-se de uma complicação rara com incidência de no máximo 5% que tende a ocorrer dentro de 12 semanas após a lesão e, geralmente, é precedida por aumento da dor sobre o aspecto dorsal do rádio distal.[57]Roth KM, Blazar PE, Earp BE, et al. Incidence of extensor pollicis longus tendon rupture after nondisplaced distal radius fractures. J Hand Surg Am. 2012 May;37(5):942-7.
http://www.ncbi.nlm.nih.gov/pubmed/22463927?tool=bestpractice.com
Nem todas as rupturas do ELP são sintomáticas e nem todas precisam, necessariamente, de tratamento.[Figure caption and citation for the preceding image starts]: Tratamento de uma fratura do rádio distal com gessoDo acervo do Dr. Chaitanya S. Mudgal [Citation ends].
Fraturas fechadas do rádio distal com deslocamento
A restauração da anatomia é essencial, em uma tentativa de maximizar o desfecho funcional. Nos estágios iniciais, isso pode ser conseguido por redução manipulativa e, em seguida, planeja-se um tratamento formal.
A análise da geometria da fratura é auxiliada por radiografias pós-redução e, se necessário, pode-se fazer uma tomografia computadorizada. Essas investigações radiográficas oferecem indicações quanto à estabilidade ou instabilidade da fratura e ajudam a orientar o tratamento definitivo.
A redução manipulativa em contextos agudos é realizada, na maioria das vezes, usando-se um bloqueio do hematoma (instilação de um anestésico local no hematoma da fratura) e distração do local da fratura auxiliada por tiras de dedos.[58]Myderrizi N, Mema B. The hematoma block an effective alternative for fracture reduction in distal radius fractures. Med Arh. 2011;65(4):239-42.
http://www.ncbi.nlm.nih.gov/pubmed/21950232?tool=bestpractice.com
[59]Tseng PT, Leu TH, Chen YW, et al. Hematoma block or procedural sedation and analgesia, which is the most effective method of anesthesia in reduction of displaced distal radius fracture? J Orthop Surg Res. 2018 Mar 27;13(1):62.
https://josr-online.biomedcentral.com/articles/10.1186/s13018-018-0772-7
http://www.ncbi.nlm.nih.gov/pubmed/29580286?tool=bestpractice.com
[60]Søsborg-Würtz H, Corap Gellert S, Ladeby Erichsen J, et al. Closed reduction of distal radius fractures: a systematic review and meta-analysis. EFORT Open Rev. 2018 Apr;3(4):114-20.
https://eor.bioscientifica.com/view/journals/eor/3/4/2058-5241.3.170063.xml
http://www.ncbi.nlm.nih.gov/pubmed/29780618?tool=bestpractice.com
O anestésico pode difundir-se na região volar em torno dos nervos mediano e ulnar; deve-se tranquilizar o paciente quanto a uma dormência nos dedos, a qual é esperada. A sedação consciente pode ser usada para reduções no pronto-socorro. Diferentes geometrias de fratura requerem diferentes técnicas de redução; por exemplo, uma fratura com angulação dorsal pode ser reduzida aplicando-se pressão dorsal ao fragmento distal para "reposicioná-lo" na posição correta.
A redução adequada é verificada por palpação em busca de desníveis ao longo das superfícies dorsal e radial. A fratura é, então, mantida em sua posição reduzida com uma tala de imobilização bem moldada. Uma radiografia pós-redução deve ser obtida com a tala de imobilização no lugar.
Se o paciente não for um candidato adequado à imobilização prolongada ou se for observada uma redução inadequada após a redução manual, deve-se considerar a redução cirúrgica e fixação.
A decisão sobre a necessidade de uma intervenção cirúrgica deve ser discutida entre o paciente e o cirurgião. Fortes evidências sugerem que não há diferença significativa nos desfechos radiográficos ou relatados pelo paciente entre as técnicas de fixação para fraturas articulares completas ou fraturas instáveis do rádio distal. Embora as placas volares bloqueadas causem uma recuperação mais precoce da função em curto prazo (3-6 meses), os resultados se igualam até 1 ano após a lesão.[34]American Academy of Orthopaedic Surgeons. Management of distal radius fractures: evidence-based clinical practice guideline. Dec 2020 [internet publication].
https://www.aaos.org/globalassets/quality-and-practice-resources/distal-radius/drfcpg.pdf
[61]Selles CA, Mulders MAM, Winkelhagen J, et al; VIPAR Collaborators. Volar plate fixation versus cast immobilization in acceptably reduced intra-articular distal radial fractures: a randomized controlled trial. J Bone Joint Surg Am. 2021 Nov 3;103(21):1963-9.
http://www.ncbi.nlm.nih.gov/pubmed/34314402?tool=bestpractice.com
Um ensaio clínico randomizado e controlado envolvendo 90 pacientes (46 no grupo não cirúrgico e 44 no grupo cirúrgico) revelou que 28% dos pacientes com manejo não cirúrgico foram submetidos a um procedimento cirúrgico subsequente.[61]Selles CA, Mulders MAM, Winkelhagen J, et al; VIPAR Collaborators. Volar plate fixation versus cast immobilization in acceptably reduced intra-articular distal radial fractures: a randomized controlled trial. J Bone Joint Surg Am. 2021 Nov 3;103(21):1963-9.
http://www.ncbi.nlm.nih.gov/pubmed/34314402?tool=bestpractice.com
Outro ensaio clínico randomizado e controlado relatou que os pacientes com fratura do rádio distal extra-articular aceitavelmente reduzida com redução aberta e fixação por placas volares apresentam melhores desfechos funcionais após 12 meses, comparados com pacientes tratados de maneira não cirúrgica. Um total de 42% dos pacientes com manejo não cirúrgico foram submetidos a um procedimento cirúrgico subsequente.[62]Mulders MAM, Walenkamp MMJ, van Dieren S, et al. Volar plate fixation versus plaster immobilization in acceptably reduced extra-articular distal radial fractures: a multicenter randomized controlled trial. J Bone Joint Surg Am. 2019 May 1;101(9):787-96.
http://www.ncbi.nlm.nih.gov/pubmed/31045666?tool=bestpractice.com
Evidências moderadas dão suporte a que, para pacientes não geriátricos (mais comumente definidos em estudos como abaixo de 65 anos de idade), o tratamento cirúrgico para fraturas com encurtamento radial pós-redução >3 mm, inclinação dorsal >10º ou deslocamento intra-articular ou afastamento >2 mm resulta em melhores desfechos radiográficos e relatados pelo paciente.[34]American Academy of Orthopaedic Surgeons. Management of distal radius fractures: evidence-based clinical practice guideline. Dec 2020 [internet publication].
https://www.aaos.org/globalassets/quality-and-practice-resources/distal-radius/drfcpg.pdf
Fortes evidências sugerem que o tratamento cirúrgico para pacientes geriátricos (mais comumente definido em estudos como 65 anos de idade ou mais) não resulta em melhores desfechos em longo prazo relatados pelo paciente em comparação com o tratamento não cirúrgico.[34]American Academy of Orthopaedic Surgeons. Management of distal radius fractures: evidence-based clinical practice guideline. Dec 2020 [internet publication].
https://www.aaos.org/globalassets/quality-and-practice-resources/distal-radius/drfcpg.pdf
Após a fixação por placas volares, os pacientes podem ser tratados de maneira segura com uma atadura de pressão.[63]Poiset S, Abboudi J, Gallant G, et al. Splinting after distal radius fracture fixation: a prospective cohort analysis of postoperative plaster splint versus soft dressing. J Wrist Surg. 2019 Dec;8(6):452-5.
http://www.ncbi.nlm.nih.gov/pubmed/31815058?tool=bestpractice.com
Alguns cirurgiões preferem uma tala para controle da dor. No entanto, esse período não deve ser superior a 3 semanas.[64]Watson N, Haines T, Tran P, et al. A comparison of the effect of one, three, or six weeks of immobilization on function and pain after open reduction and internal fixation of distal radial fractures in adults: a randomized controlled trial. J Bone Joint Surg Am. 2018 Jul 5;100(13):1118-25.
http://www.ncbi.nlm.nih.gov/pubmed/29975268?tool=bestpractice.com
Nos pacientes idosos com poucas demandas funcionais, a presença de deformidade não impede bons desfechos funcionais.[65]Gehrmann SV, Windolf J, Kaufmann RA, et al. Distal radius fracture management in elderly patients: a literature review. J Hand Surg Am. 2008 Mar;33(3):421-9.
http://www.ncbi.nlm.nih.gov/pubmed/18343302?tool=bestpractice.com
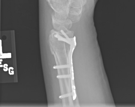
O monitoramento da função do nervo mediano deve ser mantido durante todo o período pós-operatório.[Figure caption and citation for the preceding image starts]: Fixação com placa, após redução aberta, com placa e parafusos colocados em posição volarDo acervo do Dr. Chaitanya S. Mudgal [Citation ends].
Não há benefício aparente de tratamento para o uso da artroscopia do punho no momento da fixação da fratura do rádio distal.[34]American Academy of Orthopaedic Surgeons. Management of distal radius fractures: evidence-based clinical practice guideline. Dec 2020 [internet publication].
https://www.aaos.org/globalassets/quality-and-practice-resources/distal-radius/drfcpg.pdf
[66]Yamazaki H, Uchiyama S, Komatsu M, et al. Arthroscopic assistance does not improve the functional or radiographic outcome of unstable intra-articular distal radial fractures treated with a volar locking plate: a randomised controlled trial. Bone Joint J. 2015 Jul;97-B(7):957-62.
http://www.ncbi.nlm.nih.gov/pubmed/26130352?tool=bestpractice.com
[67]Selles CA, Reerds STH, Roukema G, et al. Relationship between plate removal and Soong grading following surgery for fractured distal radius. J Hand Surg Eur Vol. 2018 Feb;43(2):137-41.
https://journals.sagepub.com/doi/10.1177/1753193417726636
http://www.ncbi.nlm.nih.gov/pubmed/28825371?tool=bestpractice.com
Fraturas expostas do rádio distal com deslocamento
Fraturas expostas do rádio distal são lesões raras.[68]Iorio ML, Harper CM, Rozental TD. Open distal radius fractures: timing and strategies for surgical management. Hand Clin. 2018 Feb;34(1):33-40.
http://www.ncbi.nlm.nih.gov/pubmed/29169595?tool=bestpractice.com
Na maioria das situações, as fraturas expostas constituem uma emergência cirúrgica e esse tratamento, realizado o mais rápido possível, é o método preferido de manejo.
Nos pacientes que apresentam comorbidades significativas ou outras lesões, uma criteriosa avaliação do risco de uma intervenção cirúrgica de urgência é fundamental e será orientada por uma discussão ampla com outras equipes clínicas e com os anestesistas.
As fraturas são frequentemente reduzidas provisoriamente no pronto-socorro, prevendo-se um possível atraso na transferência do paciente para o centro cirúrgico. Isso ajuda a reduzir deformidades e o edema dos tecidos moles, e pode aliviar quaisquer sintomas de compressão de nervo. Redução aberta e fixação interna são realizadas na sala de cirurgia. É necessária a irrigação completa com soro fisiológico e o desbridamento da fratura e da ferida aberta, antes da fixação.[48]Rupp M, Popp D, Alt V. Prevention of infection in open fractures: where are the pendulums now? Injury. 2020 May;51 Suppl 2:S57-63.
http://www.ncbi.nlm.nih.gov/pubmed/31679836?tool=bestpractice.com
[49]American Academy of Orthopaedic Surgeons. Prevention of surgical site infections after major extremity trauma: appropriate use criteria. Mar 2022 [internet publication].
https://www.aaos.org/globalassets/quality-and-practice-resources/dod/ssitrauma/ssitraumaauc.pdf
[50]American Academy of Orthopaedic Surgeons. Prevention of surgical site infections after major extremity trauma: evidence-based clinical practice guideline. Mar 2022 [internet publication].
https://www.aaos.org/globalassets/quality-and-practice-resources/dod/ssitrauma/ssitraumacpg.pdf
Caso a contaminação gere apreensão e haja muita preocupação com infecção, a fixação interna pode ser protelada ou a fixação externa pode ser utilizada como tratamento definitivo.[49]American Academy of Orthopaedic Surgeons. Prevention of surgical site infections after major extremity trauma: appropriate use criteria. Mar 2022 [internet publication].
https://www.aaos.org/globalassets/quality-and-practice-resources/dod/ssitrauma/ssitraumaauc.pdf
[50]American Academy of Orthopaedic Surgeons. Prevention of surgical site infections after major extremity trauma: evidence-based clinical practice guideline. Mar 2022 [internet publication].
https://www.aaos.org/globalassets/quality-and-practice-resources/dod/ssitrauma/ssitraumacpg.pdf
[68]Iorio ML, Harper CM, Rozental TD. Open distal radius fractures: timing and strategies for surgical management. Hand Clin. 2018 Feb;34(1):33-40.
http://www.ncbi.nlm.nih.gov/pubmed/29169595?tool=bestpractice.com
A antibioticoterapia contínua devem ser administrada de acordo com o tipo de lesão aberta e com a gravidade da contaminação no momento do diagnóstico.[49]American Academy of Orthopaedic Surgeons. Prevention of surgical site infections after major extremity trauma: appropriate use criteria. Mar 2022 [internet publication].
https://www.aaos.org/globalassets/quality-and-practice-resources/dod/ssitrauma/ssitraumaauc.pdf
Na maioria dos centros, o esquema específico é melhor definido em conjunto com os colegas infectologistas, levando em consideração as sensibilidades locais.
A profilaxia de tétano pode ser necessária, dependendo da história de vacinação antitetânica do paciente.[69]Centers for Disease Control and Prevention. Clinical guidance for wound management to prevent tetanus. Jun 2025 [internet publication].
https://www.cdc.gov/tetanus/hcp/clinical-guidance
As fraturas expostas são, em sua maioria, lesões de alta energia e há um limiar baixo para realizar a liberação do túnel do carpo concomitante. Essas lesões podem ser acompanhadas por trauma significativo dos tecidos moles. Não é incomum que esses pacientes apresentem antebraços muito edemaciados e tensos. Nesses pacientes é importantíssimo investigar a possibilidade de síndrome compartimental no antebraço. Se houver sinais e sintomas óbvios de síndrome compartimental, um diagnóstico clínico é estabelecido e a fasciotomia cirúrgica é realizada.[70]Duckworth AD, Mitchell SE, Molyneux SG, et al. Acute compartment syndrome of the forearm. J Bone Joint Surg Am. 2012 May 16;94(10):e63.
http://www.ncbi.nlm.nih.gov/pubmed/22617929?tool=bestpractice.com
Esse procedimento é realizado no pronto-socorro e uma pressão compartimental >30 mmHg comprova o diagnóstico de síndrome compartimental (caso o paciente esteja normotenso). Essa é uma emergência cirúrgica e é fundamental realizar uma fasciotomia urgente, combinada com redução aberta e fixação da fratura, além de liberação do túnel do carpo, para minimizar os efeitos adversos em longo prazo. Consulte Síndrome compartimental dos membros.
Fratura do escafoide sem deslocamento
As fraturas isoladas sem desvio do escafoide podem ser tratadas por meios não cirúrgicos na maioria dos pacientes, com altas taxas de consolidação e bons desfechos clínicos.[71]Clementson M, Jørgsholm P, Besjakov J, et al. Conservative treatment versus arthroscopic-assisted screw fixation of scaphoid waist fractures - a randomized trial with minimum 4-year follow-up. J Hand Surg Am. 2015 Jul;40(7):1341-8.
http://www.ncbi.nlm.nih.gov/pubmed/25913660?tool=bestpractice.com
[72]Fowler JR, Hughes TB. Scaphoid fractures. Clin Sports Med. 2015 Jan;34(1):37-50.
http://www.ncbi.nlm.nih.gov/pubmed/25455395?tool=bestpractice.com
Coloca-se no paciente uma tala no antebraço, sem envolver o polegar. Não há um consenso universal sobre a duração da tala, mas geralmente a imobilização é mantida por 8-12 semanas no total, ou até que a fratura esteja consolidada.[73]Buijze GA, Goslings JC, Rhemrev SJ, et al; CAST Trial Collaboration. Cast immobilization with and without immobilization of the thumb for nondisplaced and minimally displaced scaphoid waist fractures: a multicenter, randomized, controlled trial. J Hand Surg Am. 2014 Apr;39(4):621-7.
http://www.ncbi.nlm.nih.gov/pubmed/24582846?tool=bestpractice.com
Pacientes com fraturas do polo proximal, com deslocamento da fratura ou que não estão dispostos a aceitar a imobilização por tempo prolongado são considerados candidatos à fixação com parafusos percutâneos ou à redução aberta e fixação interna do escafoide.[74]Shen L, Tang J, Luo C, et al. Comparison of operative and non-operative treatment of acute undisplaced or minimally-displaced scaphoid fractures: a meta-analysis of randomized controlled trials. PLoS One. 2015;10(5):e0125247.
https://journals.plos.org/plosone/article?id=10.1371/journal.pone.0125247
http://www.ncbi.nlm.nih.gov/pubmed/25942316?tool=bestpractice.com
[75]Alnaeem H, Aldekhayel S, Kanevsky J, et al. A systematic review and meta-analysis examining the differences between nonsurgical management and percutaneous fixation of minimally and nondisplaced scaphoid fractures. J Hand Surg Am. 2016 Dec;41(12):1135-44;e1.
http://www.ncbi.nlm.nih.gov/pubmed/27707564?tool=bestpractice.com
Fraturas do rádio distal com lesões associadas do carpo ou dos seus ligamentos
Lesões concomitantes do osso carpal, dos ligamentos ou do complexo da fibrocartilagem triangular (CFCT) podem ter impacto negativo sobre o desfecho dos pacientes com fraturas do rádio distal.[2]Rutgers M, Mudgal CS, Shin R. Combined fractures of the distal radius and scaphoid. J Hand Surg Eur Vol. 2008 Aug;33(4):478-83.
http://www.ncbi.nlm.nih.gov/pubmed/18687836?tool=bestpractice.com
[76]Fernandez DL, Jupiter JB. Fractures of the distal radius. New York, NY: Springer-Verlag; 2002:41-7.[77]Young BT, Rayan GM. Outcome following nonoperative treatment of displaced distal radius fractures in low-demand patients older than 60 years. J Hand Surg Am. 2000 Jan;25(1):19-28.
http://www.ncbi.nlm.nih.gov/pubmed/10642469?tool=bestpractice.com
Os padrões de fratura em que a linha da fratura do rádio distal sai na crista escafo-semilunar da superfície articular são particularmente propensos a lesões do ligamento interósseo escafo-semilunar.
Evidências sugerem que a fratura do rádio distal sem lesão concomitante no ligamento é rara. Estudos artroscópicos relatam a incidência de lesões no ligamento escafossemilunar (LE) e no complexo da fibrocartilagem triangular (CFCT) de 78% e 54%, respectivamente, em pacientes com fratura do rádio distal.[78]Mrkonjic A, Lindau T, Geijer M, et al. Arthroscopically diagnosed scapholunate ligament injuries associated with distal radial fractures: a 13- to 15-year follow-up. J Hand Surg Am. 2015 Jun;40(6):1077-82.
http://www.ncbi.nlm.nih.gov/pubmed/25936737?tool=bestpractice.com
[79]Mrkonjic A, Geijer M, Lindau T, et al. The natural course of traumatic triangular fibrocartilage complex tears in distal radial fractures: a 13-15 year follow-up of arthroscopically diagnosed but untreated injuries. J Hand Surg Am. 2012 Aug;37(8):1555-60.
http://www.ncbi.nlm.nih.gov/pubmed/22835585?tool=bestpractice.com
[80]Selles CA, Mulders MAM, Colaris JW, et al. Arthroscopic debridement does not enhance surgical treatment of intra-articular distal radius fractures: a randomized controlled trial. J Hand Surg Eur Vol. 2020 May;45(4):327-32.
http://www.ncbi.nlm.nih.gov/pubmed/31686586?tool=bestpractice.com
Dois estudos prospectivos de acompanhamento de 13 a 15 anos realizados com pacientes com lesões do ligamento escafossemilunar (LE) completas (grau 3) ou parciais (grau 1 ou 2) não tratadas, e ruptura do complexo da fibrocartilagem triangular (CFCT) associada à fratura do rádio distal sem deslocamento, não encontraram diferenças importantes nos desfechos subjetivo, objetivo ou radiográfico para pacientes com lesões do LE. No entanto, nenhum paciente apresentou laceração de grau 4, e apenas um paciente com ruptura do complexo da fibrocartilagem triangular (CFCT) precisou de operação para instabilidade dolorosa desde a fratura.[78]Mrkonjic A, Lindau T, Geijer M, et al. Arthroscopically diagnosed scapholunate ligament injuries associated with distal radial fractures: a 13- to 15-year follow-up. J Hand Surg Am. 2015 Jun;40(6):1077-82.
http://www.ncbi.nlm.nih.gov/pubmed/25936737?tool=bestpractice.com
[79]Mrkonjic A, Geijer M, Lindau T, et al. The natural course of traumatic triangular fibrocartilage complex tears in distal radial fractures: a 13-15 year follow-up of arthroscopically diagnosed but untreated injuries. J Hand Surg Am. 2012 Aug;37(8):1555-60.
http://www.ncbi.nlm.nih.gov/pubmed/22835585?tool=bestpractice.com
O estudo de ruptura do complexo da fibrocartilagem triangular (CFCT) concluiu que não há evidências suficientes de que a ruptura do CFCT no momento da fratura do rádio distal influenciaria o desfecho subjetivo de longo prazo.[79]Mrkonjic A, Geijer M, Lindau T, et al. The natural course of traumatic triangular fibrocartilage complex tears in distal radial fractures: a 13-15 year follow-up of arthroscopically diagnosed but untreated injuries. J Hand Surg Am. 2012 Aug;37(8):1555-60.
http://www.ncbi.nlm.nih.gov/pubmed/22835585?tool=bestpractice.com