Imagens e vídeos
IMAGENS

Fraturas do punho
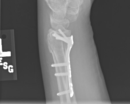
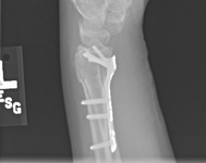
Fixação com placa, após redução aberta, com placa e parafusos colocados em posição volar
Do acervo do Dr. Chaitanya S. Mudgal
Veja esta imagem em contexto nas seguintes seções:

Fraturas do punho
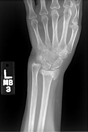
Radiografia posteroanterior mostrando a consolidação viciosa do rádio distal, com encurtamento significativo do rádio e alongamento relativo da ulna
Do acervo do Dr. Chaitanya S. Mudgal
Veja esta imagem em contexto nas seguintes seções:

Fraturas do punho
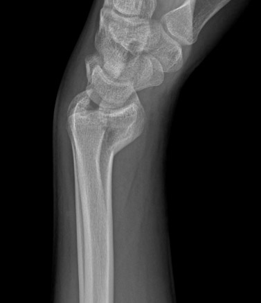
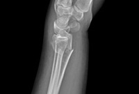
Fratura intra-articular do tipo B (simples) do rádio distal: vista lateral
Do acervo do Dr. Chaitanya S. Mudgal
Veja esta imagem em contexto nas seguintes seções:

Fraturas do punho
As tomografias computadorizadas (TCs) do punho fornecem detalhes excelentes para avaliação da geometria da fratura, do comprometimento articular e do grau de cominuição
Do acervo do Dr. Chaitanya S. Mudgal
Veja esta imagem em contexto nas seguintes seções:

Fraturas do punho
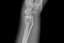
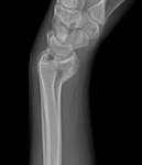
Fratura extra-articular do tipo A do rádio distal: vista lateral
Do acervo do Dr. Chaitanya S. Mudgal
Veja esta imagem em contexto nas seguintes seções:

Fraturas do punho
Tratamento de uma fratura do rádio distal com gesso
Do acervo do Dr. Chaitanya S. Mudgal
Veja esta imagem em contexto nas seguintes seções:

Fraturas do punho
Fratura intra-articular do tipo C (complexa) do rádio distal: vista lateral
Do acervo do Dr. Chaitanya S. Mudgal
Veja esta imagem em contexto nas seguintes seções:
O uso deste conteúdo está sujeito ao nosso aviso legal