Investigações
Primeiras investigações a serem solicitadas
radiografias simples do punho
Exame
Uma avaliação radiográfica inicial é necessária para se ter um diagnóstico conclusivo de fratura do rádio distal.[30] Geralmente, são feitas radiografias em incidência posteroanterior, lateral e carpal.[30]
As fraturas podem ser fissuras mínimas, fraturas extra-articulares ou fraturas intra-articulares.
A radiografia também pode indicar o grau de osteopenia e dar alguma informação sobre o grau de comprometimento articular ou cominuição.
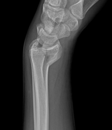
Embora incomuns, lesões combinadas do rádio distal e do escafoide são observadas. As radiografias também devem ser examinadas em relação à fratura do escafoide.[2][Figure caption and citation for the preceding image starts]: Fratura extra-articular do tipo A do rádio distal: vista lateralDo acervo do Dr. Chaitanya S. Mudgal [Citation ends].
[Figure caption and citation for the preceding image starts]: Fratura intra-articular do tipo B (simples) do rádio distal: vista lateralDo acervo do Dr. Chaitanya S. Mudgal [Citation ends].
[Figure caption and citation for the preceding image starts]: Fratura intra-articular do tipo C (complexa) do rádio distal: vista lateralDo acervo do Dr. Chaitanya S. Mudgal [Citation ends].
Resultado
fratura do rádio distal, da ulna distal ou do escafoide
Investigações a serem consideradas
tomografia computadorizada (TC) do punho
Exame
Em pacientes em que a fixação cirúrgica é considerada, uma TC do rádio distal é útil para a análise da geometria da fratura extra e intra-articular e para o planejamento pré-operatório.[30]
Uma TC também pode evidenciar quaisquer fraturas ocultas ao redor do carpo.[Figure caption and citation for the preceding image starts]: As tomografias computadorizadas (TCs) do punho fornecem detalhes excelentes para avaliação da geometria da fratura, do comprometimento articular e do grau de cominuiçãoDo acervo do Dr. Chaitanya S. Mudgal [Citation ends].
Resultado
fratura do rádio distal ou da ulna, com esclarecimento da extensão da cominuição e/ou do comprometimento articular
ressonância nuclear magnética (RNM; sem contraste) do punho
absorciometria por dupla emissão de raios X (DEXA)
Exame
Solicite como parte do acompanhamento em pacientes com mais de 50 anos de idade com fratura do rádio distal.[16]
A DEXA é considerada o padrão para medição de densidade óssea. A Organização Mundial da Saúde considera valores de medidas de densidade mineral óssea como diagnósticas para a osteoporose.[37]
T-score entre -1 e -2.5 ou menor indica osteopenia; T-score de -2.5 ou menor, com fratura(s) por fragilidade, indica osteoporose.[37]
Resultado
T-score entre -1 e -2.5 ou menor indica osteopenia; T-score de -2.5 ou menor, com fratura(s) por fragilidade, indica osteoporose
O uso deste conteúdo está sujeito ao nosso aviso legal