Resumo
Definição
História e exame físico
Principais fatores diagnósticos
- história de trauma ou de osteoporose
- dor no punho
- sensibilidade sobre o rádio distal
- edema
Outros fatores diagnósticos
- deformidade
- sensibilidade na tabaqueira anatômica
- dormência nos dedos
- hipoestesia
- ferida aberta
- ausência de pulso
Fatores de risco
- trauma
- osteoporose
Investigações diagnósticas
Primeiras investigações a serem solicitadas
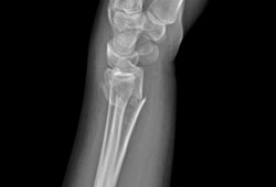
- radiografias simples do punho
Investigações a serem consideradas
- tomografia computadorizada (TC) do punho
- ressonância nuclear magnética (RNM; sem contraste) do punho
- absorciometria por dupla emissão de raios X (DEXA)
Algoritmo de tratamento
fechada
exposta
fratura isolada do rádio distal
fratura isolada do escafoide
fraturas concomitantes do rádio distal e do escafoide ou do processo estiloide da ulna
fratura do punho confirmada
Colaboradores
Autores
Niels W.L. Schep, MD
Trauma, Hand and Wrist Surgeon
Department of Trauma and Hand Surgery
Maasstad Hospital
Rotterdam
Netherlands
Declarações
NS declares that he has no competing interests.
Agradecimentos
Dr Niels W.L. Schep would like to gratefully acknowledge Dr Jeffrey N. Lawton, Dr John R. Lien, Dr Gregory D. Byrda, Dr Tamara D. Rozental, and Dr Chaitanya S. Mudgal, previous contributors to this topic.
Declarações
JNL is a consultant for Innomed Inc, has received honoraria from The AO Foundation for teaching courses, and has been sponsored for research by DePuy Synthes. JRL and GDB declare that they have no competing interests. TDR is an author of several references cited in this topic. CSM has been reimbursed by AO North America and Asia Pacific for being a faculty member during educational conferences.
Revisores
Asif Ilyas, MD
Program Director of Hand and Upper Extremity Surgery
Rothman Institute
Associate Professor of Orthopaedic Surgery
Thomas Jefferson University
Philadelphia
PA
Declarações
AI declares that he has no competing interests.
Isam Atroshi, MD, PhD
Associate Professor of Orthopaedics
Lund University
Chief
Hand Surgery Section
Department of Orthopaedics
Hässleholm and Kristianstad Hospitals
Sweden
Declarações
Not disclosed.
Créditos aos pareceristas
Os tópicos do BMJ Best Practice são constantemente atualizados, seguindo os desenvolvimentos das evidências e das diretrizes. Os pareceristas aqui listados revisaram o conteúdo pelo menos uma vez durante a história do tópico.
Declarações
As afiliações e declarações dos pareceristas referem--se ao momento da revisão.
Referências
Principais artigos
Torabi M, Lenchik L, Beaman FD, et al; Expert Panel on Musculoskeletal Imaging. ACR appropriateness criteria: acute hand and wrist trauma. J Am Coll Radiol. 2019 May;16(5s):S7-17.Texto completo Resumo
American Academy of Orthopaedic Surgeons. Management of distal radius fractures: evidence-based clinical practice guideline. Dec 2020 [internet publication].Texto completo
American Academy of Orthopaedic Surgeons. Prevention of surgical site infections after major extremity trauma: evidence-based clinical practice guideline. Mar 2022 [internet publication].Texto completo
Artigos de referência
Uma lista completa das fontes referenciadas neste tópico está disponível para os usuários com acesso total ao BMJ Best Practice.

Diagnósticos diferenciais
- Torção do punho
- Lesão ligamentar do carpo
- Ruptura do complexo da fibrocartilagem triangular (CFCT)
Mais Diagnósticos diferenciaisDiretrizes
- ACR appropriateness criteria: chronic hand and wrist pain
- Prevention of surgical site infections after major extremity trauma
Mais DiretrizesFolhetos informativos para os pacientes
Síndrome do túnel do carpo
Sintomas de menopausa: quais são as opções de tratamento?
Mais Folhetos informativos para os pacientesConectar-se ou assinar para acessar todo o BMJ Best Practice
O uso deste conteúdo está sujeito ao nosso aviso legal