Investigações
Primeiras investigações a serem solicitadas
ultrassonografia pélvica
Exame
A ultrassonografia pélvica transvaginal é a modalidade preferida de exame de imagem para avaliar a suspeita clínica de massas ovarianas, fornecendo informações qualitativas e quantitativas valiosas para o manejo.[82][83] A ultrassonografia transvaginal e transabdominal combinada pode ser útil para avaliar massas maiores.[83]
A ultrassonografia com Doppler pode caracterizar a massa (por exemplo, cística, sólida, complexa) e, na maioria dos casos, triar a massa para categorias benignas ou malignas.[83][Figure caption and citation for the preceding image starts]: Cistos ovarianos com nódulos na ultrassonografiaDo acervo de Justin C. Chura, MD, Cancer Treatment Centers of America, Filadélfia, PA [Citation ends].
[Figure caption and citation for the preceding image starts]: Cisto ovariano com fluxo normal ao DopplerDo acervo de Justin C. Chura, MD, Cancer Treatment Centers of America, Filadélfia, PA [Citation ends].
As massas suspeitas na ultrassonografia são geralmente sólidas ou complexas (císticas e sólidas), septadas e multiloculadas e demonstram fluxo sanguíneo alto (aumento do fluxo no Doppler).[84]
Se forem detectados achados suspeitos na ultrassonografia, recomenda-se encaminhamento para um oncologista ginecológico.[81]
Resultado
presença de massa sólida, complexa, septada, multiloculada; fluxo sanguíneo alto
CA-125
Exame
Os níveis séricos de CA-125 mostram-se elevados em >80% das mulheres com doença em estágio avançado.[93] No entanto, este biomarcador não é diagnóstico, pois os níveis de CA-125 podem ser elevados em decorrência de condições não malignas (por exemplo, endometriose, miomas uterinos, gravidez, doença inflamatória pélvica, apendicite e cistos ovarianos) e outras condições malignas (por exemplo, câncer de pâncreas, mama, pulmão, gástrico e cólon).[66] Além disso, níveis normais de CA-125 são observados em aproximadamente 50% dos pacientes com câncer de ovário em estágio inicial.[93]
Apesar das limitações, é prática comum os médicos verificarem rotineiramente os níveis de CA-125 como parte da avaliação pré-operatória de uma massa anexial.
Um nível elevado de CA-125 é mais preditivo de neoplasia maligna em mulheres menopausadas do que em mulheres na pré-menopausa.[94] Em mulheres menopausadas, relatos indicam que um nível de CA-125 superior a 65 unidades/mL tenha especificidade de 98% para diagnosticar o câncer de ovário. Em pacientes na pré-menopausa, níveis de CA-125 entre 35 e 65 unidades/mL estão associadas a 50% a 60% de risco de câncer. Recomenda-se consulta a um oncologista ginecológico para mulheres menopausadas com CA-125 elevada e para mulheres na pré-menopausa com CA-125 muito elevada.[81]
Os níveis de CA-125 são mais úteis no pós-operatório, uma vez confirmado o diagnóstico histológico de câncer de ovário, quando podem ser usados para monitorar a resposta ao tratamento e a recorrência da doença.[95][96] No entanto, não se constatou se o uso de CA-125 isoladamente para monitorar e detectar recorrência da doença melhora a sobrevida.[97]
A sensibilidade é alta e a especificidade é baixa para esse exame.
Resultado
pode estar elevado (>35 unidades/mL)
histopatologia
Exame
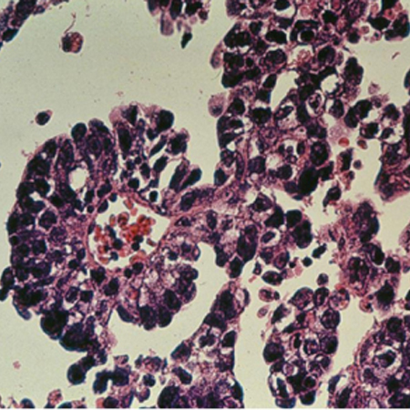
O diagnóstico definitivo do câncer de ovário é baseado na histopatologia.[90][Figure caption and citation for the preceding image starts]: Visualização microscópica de câncer de ovárioDo acervo de Justin C. Chura, MD, Cancer Treatment Centers of America, Filadélfia, PA [Citation ends].
Geralmente, é necessária a remoção cirúrgica do ovário afetado para o diagnóstico histológico. A cirurgia é também usada para estadiamento e citorredução do tumor.
Para pacientes na pré-menopausa com uma massa ovariana suspeita, detectada na ultrassonografia transvaginal, a cirurgia é frequentemente adiada por 2 a 3 ciclos menstruais para estabelecer se a massa é funcional ou fisiológica.
A biópsia e a aspiração com agulha fina (AAF) não são rotineiramente recomendadas para o diagnóstico definitivo, pois esses procedimentos podem disseminar células tumorais para a cavidade peritoneal.[19] Além disso, elas são propensas a erros de amostragem e podem não ser diagnósticas. Entretanto, para as pacientes inadequadas para cirurgia, ou aquelas com doença volumosa (avançada) que provavelmente não atingirão citorredução completa ou citorredução ideal (doença residual <1 cm) com cirurgia, um diagnóstico histológico definitivo deve ser obtido por punção por agulha grossa (core biopsy; ou AAF, se a biópsia não for possível) antes de iniciar a quimioterapia neoadjuvante.[19][92]
Resultado
crescimento destrutivo infiltrante mais bem demonstrado por grupos de células desorganizadas, geralmente com desmoplasia
Investigações a serem consideradas
teste genético
Exame
A avaliação de risco genético, inclusive aconselhamento e testes genéticos, é recomendada para mulheres com familiar consanguíneo com uma variante patogênica conhecida ou provavelmente patogênica em um gene de suscetibilidade ao câncer, ou uma forte história familiar de câncer de mama e/ou ovário (BRCA1, BRCA2, ATM, BRIP1, PALB2, RAD51C, RAD51D) ou câncer colorretal, de endométrio e/ou de ovário (variantes da síndrome de Lynch: MSH2, MLH1, MSH6, PMS2, EPCAM).[16][17][77][78][79][80]
Pacientes com diagnóstico confirmado de câncer de ovário devem ser submetidos a avaliação de risco genético e testes de linha germinativa e testes genéticos somáticos (por exemplo, para mutações de BRCA1 e BRCA2 e outros genes de suscetibilidade ao câncer de ovário) se não tiverem sido feitos anteriormente.[76][79][90]
Podem ser realizados testes de linha germinativa para uma variante patogênica específica, se conhecida; o teste do perfil multigênico personalizado é recomendado se a variante for desconhecida, com base na história pessoal e familiar.[16][64][76] Os genes BRCA1, BRCA2 e da síndrome de Lynch (MSH2, MLH1, MSH6, PMS2, EPCAM) são geralmente recomendados em perfis multigênicos para pacientes com câncer de ovário, com outros genes adicionados com base na história pessoal e familiar.[76] O teste de linha germinativa deve ser oferecido independente dos resultados do teste tumoral.[76]
Resultado
pode ser positiva
PET, PET-CT ou PET/RNM
RNM
Exame
Em circunstâncias nas quais a ultrassonografia não possa caracterizar adequadamente a massa ovariana, uma RNM com e sem gadolínio da região abdominal/pélvica pode fornecer informações adicionais (por exemplo, origem da massa [uterina, ovariana, tubária]) e ajudar a determinar se a massa é benigna ou maligna.[83]
Resultado
presença de vegetações vasculares em massas císticas e ascite sugere malignidade
Tomografia computadorizada (TC)
Exame
A TC é menos sensível que a ultrassonografia e a RNM na avaliação de órgãos pélvicos; portanto, não é considerada parte da investigação diagnóstica padrão para uma massa pélvica ou anexial.[83]
A TC é usada principalmente para o estadiamento inicial do câncer de ovário antes do início do tratamento.[85]
A TC do abdome e da pelve pode ser usada para detectar a presença de doença metastática abdominal superior se houver suspeita no exame físico.[86][Figure caption and citation for the preceding image starts]: Massas ovarianas e ascite em tomografia computadorizada (TC) coronalDo acervo de Justin C. Chura, MD, Cancer Treatment Centers of America, Filadélfia, PA [Citation ends].
A TC torácica pode ser usada para detectar a presença de doença metastática pleural ou pulmonar, e derrame pleural, se houver suspeita no exame físico.[85]
Resultado
presença de espessamento peritoneal, linfonodos aumentados, ascite, espessamento omental, metástases hepáticas, metástases pleurais, metástases pulmonares, derrame pleural
testes de biomarcadores
Exame
Nos EUA, vários testes de biomarcadores (OVA1, OVERA e o algoritmo de risco de neoplasia maligna ovariana [ROMA]) foram aprovados para determinar o risco de câncer de ovário em mulheres com massa anexial ovariana para a qual a cirurgia está planejada. Estes testes não devem ser utilizados como ferramentas de rastreamento para câncer de ovário (isto é, antes da detecção de uma massa anexial) ou como testes diagnóstico autônomos.[19]
Testes para outros biomarcadores tumorais (por exemplo, inibina, alfafetoproteína, gonadotrofina coriônica humana beta, lactato desidrogenase, antígeno carcinoembriogênico e CA 19-9) podem ser úteis na investigação pré-operatória e no monitoramento de cânceres de ovário menos comuns.[19]
Resultado
os níveis de biomarcadores individuais podem estar elevados; o risco de câncer de ovário é relatado no contexto da menopausa
O uso deste conteúdo está sujeito ao nosso aviso legal