Imagens e vídeos
IMAGENS

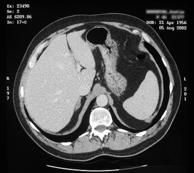
Aldosteronismo primário
Tomografia computadorizada (TC) mostrando lesão na glândula adrenal direita em paciente com hiperplasia adrenal bilateral
Do acervo pessoal do Dr. Michael Stowasser; usado com permissão
Veja esta imagem em contexto nas seguintes seções:

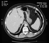
Aldosteronismo primário
Tomografia computadorizada (TC) mostrando lesão na glândula adrenal direita em paciente com adenoma produtor de aldosterona no lado direito
Do acervo pessoal do Dr. Michael Stowasser; usado com permissão
Veja esta imagem em contexto nas seguintes seções:

Aldosteronismo primário
Resultados da amostragem venosa adrenal de paciente com adenoma produtor de aldosterona no lado esquerdo
Do acervo pessoal do Dr. Michael Stowasser; usado com permissão
Veja esta imagem em contexto nas seguintes seções:

Aldosteronismo primário
Adenoma produtor de aldosterona
Do acervo pessoal do Dr. Michael Stowasser; usado com permissão
Veja esta imagem em contexto nas seguintes seções:

Aldosteronismo primário
Gene híbrido CYP11B1/CYP11B2 responsável pela produção em excesso de aldosterona regulada por hormônio adrenocorticotrófico (ACTH) em hiperaldosteronismo familiar tipo I (HF-I)
Do acervo pessoal do Dr. Michael Stowasser; usado com permissão
Veja esta imagem em contexto nas seguintes seções:

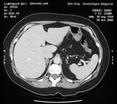
Aldosteronismo primário
TC mostrando lesão na glândula adrenal direita em paciente com adenoma produtor de aldosterona no lado direito
Do acervo pessoal do Dr. Michael Stowasser; usado com permissão
Veja esta imagem em contexto nas seguintes seções:
O uso deste conteúdo está sujeito ao nosso aviso legal