Imagens e vídeos
IMAGENS

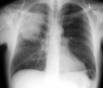
Pneumonia adquirida na comunidade em adultos
Radiografia de tórax posteroanterior mostrando consolidação do lobo superior direito em um paciente com pneumonia adquirida na comunidade
Durrington HJ, et al. Recent changes in the management of community acquired pneumonia in adults. BMJ 2008;336:1429.
Veja esta imagem em contexto nas seguintes seções:
Vídeos
- Estertores inspiratórios iniciais
Sons de ausculta: estertores inspiratórios iniciais
- Venopunção e flebotomia – Vídeo de demonstração
Como colher uma amostra de sangue venoso da fossa antecubital usando uma agulha a vácuo.
- Arito pleural
Sons de ausculta: atrito pleural
- Ventilação com ressuscitador manual ("bolsa-válvula-máscara") - Vídeo de demonstração
Como usar um aparato reanimador manual autoinflável para fornecer suporte ventilatório a adultos. Vídeo de demonstração da técnica em duas pessoas.
- Inserção de cateter venoso central – Vídeo de demonstração
Inserção guiada por ultrassom de um cateter venoso central (CVC) não tunelizado na veia jugular interna direita, usando a técnica de inserção de Seldinger.
- Canulação venosa periférica – Vídeo de demonstração
Como inserir uma cânula venosa periférica no dorso da mão.
O uso deste conteúdo está sujeito ao nosso aviso legal