Imagens e vídeos
IMAGENS

Infarto do miocárdio com supradesnivelamento do segmento ST
Eletrocardiograma (ECG) de 12 derivações no dia seguinte, com infarto anterolateral completo; os segmentos ST retornaram completamente à linha basal
Do acervo pessoal do Dr. Mahi Ashwath; usado com permissão
Veja esta imagem em contexto nas seguintes seções:

Infarto do miocárdio com supradesnivelamento do segmento ST
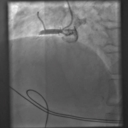
Angiografia mostrando a artéria coronária direita obstruída
Do acervo pessoal do Dr. Mahi Ashwath; usado com permissão
Veja esta imagem em contexto nas seguintes seções:

Infarto do miocárdio com supradesnivelamento do segmento ST
Eletrocardiograma (ECG) de 12 derivações na visita de acompanhamento após 7 meses com segmentos ST normais e ausência de ondas Q
Do acervo pessoal do Dr. Mahi Ashwath; usado com permissão
Veja esta imagem em contexto nas seguintes seções:

Infarto do miocárdio com supradesnivelamento do segmento ST
Eletrocardiograma (ECG) de 12 derivações com segmentos ST normais e sem nenhuma onda Q anormal
Do acervo pessoal do Dr. Mahi Ashwath; usado com permissão
Veja esta imagem em contexto nas seguintes seções:

Infarto do miocárdio com supradesnivelamento do segmento ST
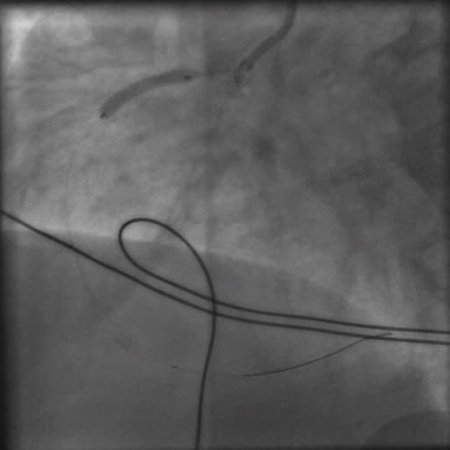
Angiografia mostrando uma tentativa de abrir a artéria coronária direita obstruída com um balão de angioplastia
Do acervo pessoal do Dr. Mahi Ashwath; usado com permissão
Veja esta imagem em contexto nas seguintes seções:

Infarto do miocárdio com supradesnivelamento do segmento ST
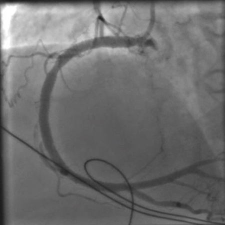
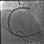
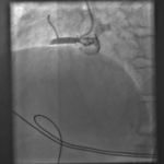
Angiografia após a angioplastia com balão e colocação de stent mostrando uma artéria coronária direita aberta
Do acervo pessoal do Dr. Mahi Ashwath; usado com permissão
Veja esta imagem em contexto nas seguintes seções:

Infarto do miocárdio com supradesnivelamento do segmento ST
Eletrocardiograma (ECG) de 12 derivações imediatamente após a revascularização bem-sucedida mostrando os segmentos ST retornando à linha basal
Do acervo pessoal do Dr. Mahi Ashwath; usado com permissão
Veja esta imagem em contexto nas seguintes seções:

Infarto do miocárdio com supradesnivelamento do segmento ST
Eletrocardiograma (ECG) de 12 derivações após 1 semana com supradesnivelamento anterolateral do segmento ST nos limites e depressão recíproca do segmento ST nas derivações inferiores; também é notada uma progressão pobre da onda R e a presença de ondas Q septais
Do acervo pessoal do Dr. Mahi Ashwath; usado com permissão
Veja esta imagem em contexto nas seguintes seções:

Infarto do miocárdio com supradesnivelamento do segmento ST
Eletrocardiograma (ECG) de 12 derivações com supradesnivelamento do segmento ST nas derivações inferiores (II, III e aVF)
Do acervo pessoal do Dr. Mahi Ashwath; usado com permissão
Veja esta imagem em contexto nas seguintes seções:

Infarto do miocárdio com supradesnivelamento do segmento ST
Eletrocardiograma (ECG) de 12 derivações após 1 hora, com supradesnivelamento anterolateral do segmento ST óbvio e depressão recíproca do segmento ST nas derivações inferiores, ausência de ondas R anteriores e desenvolvimento de ondas Q anteriores
Do acervo pessoal do Dr. Mahi Ashwath; usado com permissão
Veja esta imagem em contexto nas seguintes seções:

Infarto do miocárdio com supradesnivelamento do segmento ST
Eletrocardiograma (ECG) de 12 derivações após 3 horas, com infarto anterolateral completo, ausência de ondas R anterolaterais e desenvolvimento de ondas Q anterolaterais; os segmentos ST estão voltando ao normal
Do acervo pessoal do Dr. Mahi Ashwath; usado com permissão
Veja esta imagem em contexto nas seguintes seções:

Infarto do miocárdio com supradesnivelamento do segmento ST
Eletrocardiograma (ECG) de 12 derivações mostrando supradesnivelamento do segmento ST inferior e anterior com alterações recíprocas nas derivações laterais
Do acervo pessoal do Dr. Mahi Ashwath; usado com permissão
Veja esta imagem em contexto nas seguintes seções:

Infarto do miocárdio com supradesnivelamento do segmento ST
Eletrocardiograma (ECG) de 12 derivações com supradesnivelamento do segmento ST nas derivações V1 a V4
Do acervo pessoal do Dr. Mahi Ashwath; usado com permissão
Veja esta imagem em contexto nas seguintes seções:
Vídeos
- Venopunção e flebotomia – Vídeo de demonstração
Como colher uma amostra de sangue venoso da fossa antecubital usando uma agulha a vácuo.
- Como realizar uma demonstração animada do ECG
Como registrar um ECG. Demonstra a colocação de eletrodos no tórax e nos membros.
O uso deste conteúdo está sujeito ao nosso aviso legal