Diagnósticos diferenciais
Asbestose
SINAIS / SINTOMAS
História de exposição a asbestos. Em determinados locais de trabalho, como fundições e minas, os trabalhadores podem ser expostos a sílica e a asbesto.[42] O quadro clínico pode ser semelhante.
Investigações
Aparência da asbestose à radiografia torácica: presença de fibrose intersticial linear na zona inferior, envolvendo progressivamente todo o pulmão, com espessamento pleural.
Aparência da silicose à radiografia torácica: existem pequenas opacidades arredondadas, começando inicialmente nos lobos superiores e, com a evolução, esses nódulos menores se conglomeram e formam opacidades grandes (fibrose maciça progressiva). Diferentemente da exposição aos asbestos, não há alterações pleurais observadas na radiografia torácica, embora a fibrose pleural possa ser observada em um espécime patológico da silicose.
A biópsia pulmonar em pacientes com asbestose não irá mostrar nódulos silicóticos, que são patognomônicos para silicose.
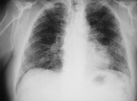
Alguns pacientes com exposição a asbestos e sílica podem mostrar alterações radiográficas e/ou patológicas de poeira mista.[Figure caption and citation for the preceding image starts]: Radiografia torácica mostrando alterações consistentes com a silicose simples ou a pneumoconiose dos trabalhadores do carvãoDo acervo pessoal do Kenneth D. Rosenman, Michigan State University [Citation ends].
[Figure caption and citation for the preceding image starts]: Radiografia torácica da fibrose maciça progressiva devida à exposição à sílica ou carvãoDo acervo pessoal do Kenneth D. Rosenman, Michigan State University [Citation ends].
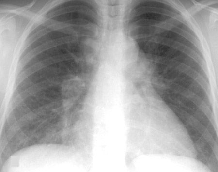
[Figure caption and citation for the preceding image starts]: Radiografia torácica para asbestoseDo acervo pessoal do Kenneth D. Rosenman, Michigan State University [Citation ends].
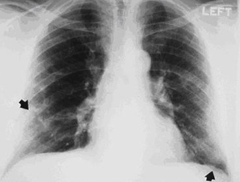
[Figure caption and citation for the preceding image starts]: Radiografia torácica evidenciando espessamento pleural (indicado pelas setas)Do acervo pessoal do Kenneth D. Rosenman, Michigan State University [Citation ends].
Fibrose pulmonar idiopática
SINAIS / SINTOMAS
A investigação completa e a história ambiental revelam ausência de história de exposição significativa a poeira mineral ou metal.
Pode não haver outros sinais ou sintomas de diferenciação.
Investigações
Os exames de imagem (radiografia torácica ou tomografia computadorizada [TC] de alta resolução [TCAR]) mostram fibrose linear do lobo inferior.
O teste da proliferação linfocitária induzida pelo berílio (BeLPT) é negativo.
A biópsia pulmonar não mostra aumento do conteúdo mineral.
Sarcoidose
SINAIS / SINTOMAS
A investigação completa e a história ambiental revelam ausência de história de exposição significativa ao berílio.
Pode não haver outros sinais ou sintomas de diferenciação. A sarcoidose pode também envolver órgãos não respiratórios, o que não ocorre com as doenças aguda ou crônica por exposição ao berílio. Os pacientes com pneumoconiose dos trabalhadores de carvão ou silicose podem ter envolvimento das articulações e da pele, observado com artrite reumatoide, esclerodermia e lúpus eritematoso sistêmico.
Investigações
Os exames de imagens (radiografia torácica ou TCAR) mostram linfadenopatia hilar e cicatrização no lobo superior não arredondada e predominantemente linear.
Pode estar associada à hipercalcemia.
Granulomas evidenciados na biópsia pulmonar (granulomas também presentes na doença crônica por exposição ao berílio).
O teste da proliferação linfocitária induzida pelo berílio (BeLPT) é negativo.[Figure caption and citation for the preceding image starts]: Sarcoidose: radiografia torácica evidenciando linfadenopatia hilar bilateral associada a infiltrados pulmonaresAdaptado de BMJ (2009); utilizado com permissão [Citation ends].
Artrite reumatoide
SINAIS / SINTOMAS
Embora os pacientes possam apresentar artrite reumatoide sem pneumoconiose, o diagnóstico às vezes é misto. Os pacientes com pneumoconiose podem desenvolver artrite reumatoide ou doença do tecido conjuntivo. Além disso, os pacientes com história de artrite reumatoide podem desenvolver fibrose pulmonar.
A investigação completa e a história ambiental revelam ausência de história de exposição significativa a poeira mineral ou metal em pacientes com artrite reumatoide sem pneumoconiose.
Os sinais e sintomas específicos de artrite, nódulos reumatoides, pleurite, pericardite e doença ocular inflamatória podem estar presentes em pessoas com artrite reumatoide, mas não em pessoas com pneumoconiose não complicada por doença do tecido conjuntivo.
Investigações
A biópsia pulmonar não mostra patologia de pneumoconiose ou aumento do conteúdo mineral em pessoas com artrite reumatoide sem pneumoconiose.
Os marcadores imunológicos, como fator reumatoide (FR), são inespecíficos e podem estar presentes em pacientes com silicose e pneumoconiose dos trabalhadores do carvão sem doença do tecido conjuntivo; por isso, eles não são considerados exames de diferenciação.[35][43]
Opacidades arredondadas lisas podem ser observadas na radiografia torácica em pessoas com silicose ou pneumoconiose dos trabalhadores de carvão que também desenvolvem artrite reumatoide (síndrome de Caplan).[30][31] As opacidades observadas na síndrome de Caplan são lisas e geralmente do tamanho de uma bola de golfe. Elas diferem das opacidades observadas na fibrose maciça progressiva (FMP), que apresentam margens irregulares. Pode ocorrer FMP de acordo com a evolução da pneumoconiose dos trabalhadores do carvão ou da silicose. Conforme as opacidades da FMP aumentam de tamanho, elas podem ocupar todo o lobo superior, causando distorção da estrutura pulmonar.
Esclerodermia
SINAIS / SINTOMAS
Embora os pacientes possam apresentar esclerodermia sem pneumoconiose, o diagnóstico às vezes é misto. Os pacientes com pneumoconiose podem desenvolver artrite reumatoide, doença do tecido conjuntivo ou vasculites. Além disso, os pacientes com história de esclerodermia podem desenvolver fibrose pulmonar.
A investigação completa e a história ambiental revelam ausência de história de exposição significativa a poeira mineral ou metal em pacientes com esclerodermia sem pneumoconiose.
Pode haver sinais e sintomas específicos do fenômeno de Raynaud, nódulos ou úlceras digitais, esclerodactilia, pirose, refluxo ou artralgia em pessoas com esclerodermia, mas não em pessoas com pneumoconiose não complicada por doença do tecido conjuntivo.[Figure caption and citation for the preceding image starts]: Mãos demonstrando o fenômeno de RaynaudDo acervo de Maureen D. Mayes, University of Texas [Citation ends].
[Figure caption and citation for the preceding image starts]: Dedos demonstrando esclerodactilia em flexão, pele brilhante dos dedos e telangiectasiasDo acervo de Maureen D. Mayes, University of Texas [Citation ends].
Investigações
A biópsia pulmonar não mostra patologia de pneumoconiose ou aumento do conteúdo mineral em pacientes com esclerodermia sem pneumoconiose.
Os marcadores imunológicos, como o fator antinuclear (FAN), são inespecíficos e podem estar presentes em pacientes com silicose e pneumoconiose dos trabalhadores do carvão sem doença do tecido conjuntivo; por isso, eles não são considerados exames de diferenciação.[35][43]
Lúpus eritematoso sistêmico (LES)
SINAIS / SINTOMAS
Os pacientes com história de LES podem desenvolver fibrose pulmonar, às vezes dificultando um diagnóstico claro.
A investigação completa e a história ambiental revelam ausência de história de exposição significativa a poeira mineral ou metal.
Pode haver sinais e sintomas específicos de rash malar, discoide ou fotossensível; artrite; fenômeno de Raynaud; hipertensão; edema; ou dor abdominal em pessoas com LES, mas não em pessoas com pneumoconiose não complicada por doença do tecido conjuntivo.[Figure caption and citation for the preceding image starts]: Mãos demonstrando o fenômeno de RaynaudDo acervo de Maureen D. Mayes, University of Texas [Citation ends].
Investigações
A biópsia pulmonar não mostra patologia de pneumoconiose ou aumento do conteúdo mineral.
Os marcadores imunológicos, como o fator antinuclear (FAN), são inespecíficos e podem estar presentes em pacientes com silicose e pneumoconiose dos trabalhadores do carvão sem doença do tecido conjuntivo; por isso, eles não são considerados exames de diferenciação.[35][43]
Fibrose pulmonar induzida por medicamentos ou radiação
SINAIS / SINTOMAS
História de medicamentos, como amiodarona, nitrofurantoína, metotrexato, bleomicina e ciclofosfamida, ou história de receber radioterapia.
A investigação completa e a história ambiental revelam ausência de história de exposição significativa a poeira mineral ou metal.
Pode não haver outros sinais ou sintomas de diferenciação.
Investigações
Os exames de imagem (radiografia torácica ou TC de alta resolução) mostram fibrose linear do lobo inferior.
O teste da proliferação linfocitária induzida pelo berílio (BeLPT) é negativo.
A biópsia pulmonar não mostra aumento do conteúdo mineral.
Doença pulmonar obstrutiva crônica (DPOC)
SINAIS / SINTOMAS
A DPOC que não seja resultante da pneumoconiose não difere da DPOC resultante da DPOC, exceto que existe história de exposição prolongada a poeira mineral ou metal quando tal exposição é um fator de grande contribuição.
Investigações
Geralmente, não há exames de diferenciação. Caso haja tecido pulmonar disponível, a poeira/conteúdo mineral pode ser determinado e quantificado a fim de identificar exposições não identificadas na história da exposição, ou para confirmar as exposições que foram identificadas na história.
O uso deste conteúdo está sujeito ao nosso aviso legal