Critérios
Classificação internacional das radiografias para pneumoconiose
As radiografias torácicas são classificadas e pontuadas de acordo com a Classificação Internacional de Radiografias de Pneumoconioses (International Classification of Radiographs of Pneumoconioses) desenvolvida pela Organização Internacional do Trabalho (ILO).[44] Nos EUA, os regulamentos para pneumoconiose dos trabalhadores de carvão e silicose exigem que esse sistema de classificação seja usado para rastreamento e avaliação clínica. O médico avaliador deve ter passado em um teste de classificação de radiografias, administrado pelo National Institute for Occupational Safety and Health (NIOSH), e deve ser testado novamente a cada 5 anos.[45]
1. Qualidade técnica das radiografias:
Boa
Aceitável, sem nenhum defeito técnico que possa prejudicar a classificação
Aceitável, com alguns defeitos técnicos, mas ainda adequada para classificação
Inaceitável para classificação
2. Avaliação de anormalidades parenquimatosas.
Pequenas anormalidades parenquimatosas (maior dimensão ≤10 mm) são descritas por profusão, zonas afetadas do pulmão, formato (arredondado ou irregular) e tamanho.
Profusão:
Refere-se à concentração de pequenas opacidades nas zonas pulmonares afetadas
Categorias: 0, 1, 2 e 3
Sempre aparece com uma subcategoria como 0/-, 0/0, 0/1; 1/0, 1/1, 1/2; 2/1, 2/2, 2/3; 3/2, 3/3 ou 3/+
Zonas afetadas:
Cada campo pulmonar é dividido em três zonas (superior, média e inferior)
Se houver uma diferença acentuada na profusão entre zonas, apenas aquelas que apresentam o maior grau de profusão são utilizadas para classificar a profusão global
Formato e tamanho:
Pequenas opacidades arredondadas (diâmetro):
p: até 1.5 mm
q: 1.5 a 3.0 mm
r: 3.0 a 10.0 mm.
Pequenas opacidades irregulares (largura):
s: até 1.5 mm
t: 1.5 a 3.0 mm
u: 3.0 a 10.0 mm
Grandes opacidades parenquimatosas (dimensão mais longa >10 mm) são descritas como uma de três categorias:
Categoria A: uma opacidade grande cuja maior dimensão é de até 50 mm, ou várias opacidades grandes cuja soma de suas maiores dimensões é de até 50 mm
Categoria B: uma opacidade grande cuja maior dimensão é de >50 mm, sem exceder a área equivalente da região superior direita; ou várias opacidades grandes cuja soma de suas maiores dimensões é de >50 mm, sem exceder a área equivalente da região superior direita
Categoria C: uma opacidade grande cuja maior dimensão excede a área equivalente da região superior direita, ou várias opacidades grandes que, quando combinadas, excedem a área equivalente da área superior direita
3. Avaliação de anormalidades pleurais
Placas pleurais (espessamento pleural localizado)
Registrado como ausente ou presente
Local, calcificação e extensão das placas pleurais são registrados para todos os locais e separadamente para os pulmões direito e esquerdo
Obliteração do ângulo costofrênico
Registrado como ausente ou presente, separadamente para os pulmões direito e esquerdo
A obliteração pode ocorrer sem espessamento pleural difuso
Espessamento pleural difuso
Registrado como ausente ou presente ao longo da parede torácica
De perfil ou de frente, e extensão registrada separadamente para os pulmões direito e esquerdo
O espessamento pleural apenas no ápice do pulmão geralmente não é registrado como espessamento pleural
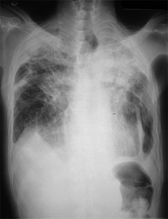
Os pacientes com silicose e com pneumoconiose dos trabalhadores de carvão podem apresentar opacidades arredondadas na radiografia torácica. Com a evolução para doença avançada, há uma aglomeração de pequenos nódulos, formando opacidades grandes que podem cobrir todo o lobo superior. Um indivíduo com silicose simples leve ou pneumoconiose dos trabalhadores de carvão geralmente apresenta opacidades q ou r, com profusão de categoria 1 ou 2. Na doença mais avançada, a profusão será de categoria 3. Na doença ainda mais grave (fibrose maciça progressiva), haverá grandes opacidades A, B ou C.
Os pacientes com doença crônica por exposição ao berílio podem apresentar pequenas opacidades irregulares na radiografia torácica. Um indivíduo com doença leve geralmente apresentará opacidades s ou t com profusão de categoria 1. Na doença mais avançada, a profusão será de categoria 2 ou 3.
Alterações pleurais são observadas na radiografia com exposição ao amianto e sem nenhum desses 3 tipos de pneumoconiose.[Figure caption and citation for the preceding image starts]: Radiografia torácica mostrando alterações consistentes com a silicose simples ou a pneumoconiose dos trabalhadores do carvãoDo acervo pessoal do Kenneth D. Rosenman, Michigan State University [Citation ends].
[Figure caption and citation for the preceding image starts]: Radiografia torácica da doença crônica por exposição ao berílioDo acervo pessoal do Kenneth D. Rosenman, Michigan State University [Citation ends].
[Figure caption and citation for the preceding image starts]: Radiografia torácica da fibrose maciça progressiva devida à exposição à sílica ou carvãoDo acervo pessoal do Kenneth D. Rosenman, Michigan State University [Citation ends].
O uso deste conteúdo está sujeito ao nosso aviso legal