Imagens e vídeos
IMAGENS

Síndrome de Turner
Anormalidades do cromossomo X na síndrome de Turner; ver o texto para explicação
Do acervo pessoal de Carolyn Bondy, MS, MD
Veja esta imagem em contexto nas seguintes seções:

Síndrome de Turner
Incidência de efeitos adversos do tratamento com hormônio do crescimento
Dados do National Cooperative Growth Study (Bolar K, et al. J Clin Endocrinol Metab. 2008;93:344-351)
Veja esta imagem em contexto nas seguintes seções:

Síndrome de Turner
Algoritmo para rastreamento e monitoramento de doença cardiovascular congênita na síndrome de Turner em mulheres e garotas >15 anos. (CC, cardiopatia congênita; VA, valva aórtica; VAB, valva aórtica bicúspide; DAPVP, drenagem anômala parcial das veias pulmonares; Coarc, coarctação; CCA, cardiopatia congênita adulta; SCV, sistema cardiovascular; HTN, hipertensão)
Adaptado de: Gravholt CH, Andersen NH, Conway GS, et al. Clinical practice guidelines for the care of girls and women with Turner syndrome: proceedings from the 2016 Cincinnati International Turner Syndrome Meeting. Eur J Endocrinol. 2017;177(3):G1-G70.
Veja esta imagem em contexto nas seguintes seções:

Síndrome de Turner
Regiões pseudoautossômicas dos cromossomos X e Y
Do acervo pessoal de Carolyn Bondy, MS, MD
Veja esta imagem em contexto nas seguintes seções:

Síndrome de Turner
Dados do perfil de investigação da síndrome de Turner; 300 indivíduos do sexo feminino; idade (em anos) ao diagnóstico
Do acervo pessoal de Carolyn Bondy, MS, MD (National Institute of Child Health and Human Development natural history study 2001-2007); McCarthy K, et al. Expert Rev Endocrinol Metab. 2008;3:771-775
Veja esta imagem em contexto nas seguintes seções:

Síndrome de Turner
Dados do perfil de investigação da síndrome de Turner; 300 indivíduos do sexo feminino; idade (em anos) ao diagnóstico
Do acervo pessoal de Carolyn Bondy, MS, MD (National Institute of Child Health and Human Development natural history study 2001-2007); McCarthy K, et al. Expert Rev Endocrinol Metab. 2008;3:771-775)
Veja esta imagem em contexto nas seguintes seções:

Síndrome de Turner
Estigmas clássicos da síndrome de Turner
De Ullrich O. Eur J Pediatr. 1930;49:271-276; usada com permissão
Veja esta imagem em contexto nas seguintes seções:

Síndrome de Turner
Defeitos cardiovasculares associados a pescoço alado
Dados compilados de Sachdev V, et al. J Am Coll Cardiol. 2008;51:1904-1909, e Loscalzo ML, et al. Pediatrics. 2005;115:732-735
Veja esta imagem em contexto nas seguintes seções:

Síndrome de Turner
Importância da terapia estrogênica em mulheres adultas jovens com síndrome de Turner (ST): a imagem radiográfica na Figura A apresenta a T11 próxima de um colapso, osteoporose difusa e cifose dorsal em uma mulher com ST que interrompeu a terapia de reposição hormonal (TRH) aos 18 anos de idade. A Figura B mostra arquitetura vertebral e saúde óssea normais em outra mulher com ST, com 30 anos de idade, que tem feito uso da TRH consistentemente desde os 12.8 anos de idade
Do acervo pessoal de Carolyn Bondy, MS, MD (estudo do National Institutes of Health [NIH])
Veja esta imagem em contexto nas seguintes seções:

Síndrome de Turner
Características patognomônicas da síndrome de Turner
Do acervo pessoal de Carolyn Bondy, MS, MD (com dados de Ullrich O. Z. Kinderheilk. 1930;49:271-76 e Turner HH. Endocrinology. 1938;23:566-74)
Veja esta imagem em contexto nas seguintes seções:

Síndrome de Turner
Comorbidades e complicações em meninas com síndrome de Turner; o diagnóstico de defeitos cardíacos congênitos foi feito por ecocardiografia e angiografia por ressonância magnética cardíaca; as imagens renal e hepática foram feitas por ultrassonografia; a hipertensão foi determinada por monitoramento ambulatorial da pressão arterial (PA) usando padrões baseados em altura; *inclui drenagem anômala parcial das veias pulmonares, arco transversal da aorta alongado, arco aórtico direito; ** >10% de elevação da alanina aminotransferase (ALT) e/ou aspartato transaminase (AST)
McCarthy K, et al. Expert Rev Endocrinol Metab. 2008;3:771-775
Veja esta imagem em contexto nas seguintes seções:

Síndrome de Turner
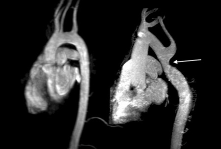
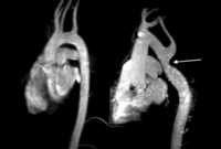
Ressonância nuclear magnética (RNM) cardíaca revelando arco aórtico normal em formato de bengala à esquerda, comparado com uma coarctação aórtica não diagnosticada anteriormente, imediatamente após a origem da artéria subclávia esquerda (seta), detectada por RNM em uma mulher adulta com síndrome de Turner com hipertensão grave dos membros superiores
Do acervo pessoal de Carolyn Bondy, MS, MD (estudo do National Institutes of Health [NIH])
Veja esta imagem em contexto nas seguintes seções:

Síndrome de Turner
Algoritmo para rastreamento e monitoramento de doença cardiovascular congênita na síndrome de Turner em garotas <15 anos
Adaptado de: Gravholt CH, Andersen NH, Conway GS, et al. Clinical practice guidelines for the care of girls and women with Turner syndrome: proceedings from the 2016 Cincinnati International Turner Syndrome Meeting. Eur J Endocrinol. 2017;177(3):G1-G70.
Veja esta imagem em contexto nas seguintes seções:
O uso deste conteúdo está sujeito ao nosso aviso legal