Imagens e vídeos
IMAGENS

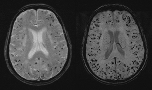
AVC hemorrágico
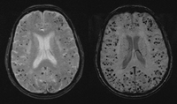
Mulher com 80 anos de idade e diversos focos pontuados de hipointensidade (pontos pretos) na sequência de ressonância nuclear magnética (RNM) por ecogradiente (GRE) (esquerda), sugerindo diversos microssangramentos lobares causados por angiopatia amiloide cerebral. Sequência (direita) de imagens de RNM por susceptibilidade ponderada demonstra diversos microssangramentos adicionais não observados na sequência GRE
Arquivos de casos pessoais do Foothills Medical Center; usados com permissão
Veja esta imagem em contexto nas seguintes seções:

AVC hemorrágico
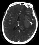
Sinal de ponto na angiotomografia (ponta da seta), indicando a presença de material de contraste hiperdenso no leito do hematoma na tomografia computadorizada (TC) após a injeção, correlacionou-se com maior risco de expansão subsequente do hematoma
Arquivos de casos pessoais do Foothills Medical Center; usados com permissão
Veja esta imagem em contexto nas seguintes seções:

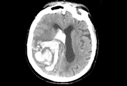
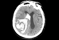
AVC hemorrágico
Hemorragia intracraniana à tomografia computadorizada (TC)
Arquivos de casos pessoais do Massachusetts General Hospital; usados com permissão
Veja esta imagem em contexto nas seguintes seções:
Vídeos
- Venopunção e flebotomia – Vídeo de demonstração
Como colher uma amostra de sangue venoso da fossa antecubital usando uma agulha a vácuo.
- Como realizar uma demonstração animada do ECG
Como registrar um ECG. Demonstra a colocação de eletrodos no tórax e nos membros.
- Ventilação com ressuscitador manual ("bolsa-válvula-máscara") - Vídeo de demonstração
Como usar um aparato reanimador manual autoinflável para fornecer suporte ventilatório a adultos. Vídeo de demonstração da técnica em duas pessoas.
- Intubação traqueal - Vídeo de demonstração
Como inserir um tubo traqueal em um adulto usando um laringoscópio.
O uso deste conteúdo está sujeito ao nosso aviso legal