სურათები და ვიდეოები
სურათები

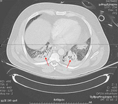
ჰოსპიტალში შეძენილი პნევმონია (არა COVID-19)
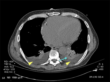
პაციენტის კომპიუტერული ტომოგრაფია, რომელსაც აქვს მარცხენა ქვედა წილის ალვეოლური ინფილტრაცია (ლურჯი ისარი), ორმხრივი პლევრალური ექსუდატი (ყვითელი ისრის წვეტები) და მარჯვენა ბაზილარული ატელექტაზი; ყურადღება მიაქციეთ ხაზს, რომელიც მიჯნავს ნაცრისფრის ორ ტონს, რომელთაგან ერთი წარმოადგენს ინფილტრაციას და მეორე სითხეს.
თანხმობა მიღებულია ლუისვილის უნივერსიტეტში, ლუისვილი, კენტუკი
მოცემული სურათის კონტექსტში დათვალიერებისთვის ეწვიეთ შემდეგ სექციას (სექციებს):

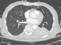
ჰოსპიტალში შეძენილი პნევმონია (არა COVID-19)
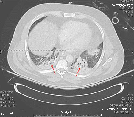
პაციენტის კომპიუტერული ტომოგრაფია, რომელსაც აქვს HAP, გვიჩვენებს ორმხრივ ბაზილარულ დაჩრდილვას.
თანხმობა მიღებულია ლუისვილის უნივერსიტეტში, ლუისვილი, კენტუკი
მოცემული სურათის კონტექსტში დათვალიერებისთვის ეწვიეთ შემდეგ სექციას (სექციებს):

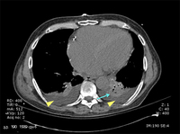
ჰოსპიტალში შეძენილი პნევმონია (არა COVID-19)
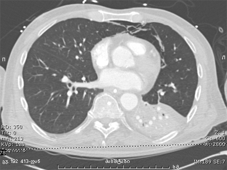
პაციენტის კომპიუტერული ტომოგრაფია, რომელსაც აქვს დიდი, მკვრივი ინფილტრაცია მარცხენა ქვედა წილში.
თანხმობა მიღებულია ლუისვილის უნივერსიტეტში, ლუისვილი, კენტუკი
მოცემული სურათის კონტექსტში დათვალიერებისთვის ეწვიეთ შემდეგ სექციას (სექციებს):

ჰოსპიტალში შეძენილი პნევმონია (არა COVID-19)
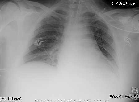
HAP-ის მქონე პაციენტის პორტატიული რენტგენოგრაფია. ყურადღება მიაქციეთ, რომ მარცხენა დიაფრაგმის თაღი არამკაფიოა მარცხენა ქვედა წილის დაჩრდილვის გამო და გულის საზღვარი ასევე არამკაფიოა მარცხენა ზედა წილის და ენისებრი სეგმენტის დაჩრდილვის გამო.
თანხმობა მიღებულია ლუისვილის უნივერსიტეტში, ლუისვილი, კენტუკი
მოცემული სურათის კონტექსტში დათვალიერებისთვის ეწვიეთ შემდეგ სექციას (სექციებს):
ვიდეოები
- სუპრაგლოტური სასუნთქი გზების მოწყობილობები - ანიმაციური დემონსტრაცია
როგორ შევარჩიოთ ზომა და ჩავდგათ სასუნთქი გზების ხორხის ნიღაბის მილი.
- ნაზოფარინგული სასუნთქი მილი: ანიმაციური გზამკვლევი
როგორ ავირჩიოთ სწორი ზომის ცხვირ-ხახის სასუნთქი გზები და ჩავდგათ უსაფრთხოდ.
- ოროფარინგული სასუნთქი მილი: ანიმაციური გზამკვლევი
როგორ განვსაზღვროთ ზომა და ჩავდგათ ოროფარინგეალური სასუნთქი გზები.
- ტრაქეის ინტუბაციის ანიმაციური დემონსტრირება
როგორ ჩავდგათ ტრაქეის მილი მოზრდილებში ლარინგოსკოპის გამოყენებით.
- ნიღბიანი სასუნთქი ტომარა (ამბუ)- ანიმაციური დემონსტრაცია
როგორ გამოვიყენოთ ნიღბიანი სასუნთქი ტომარა მოზრდილებთან ვენტილაციის უზრუნვესაყოფად. ვიდეო გვიჩვენებს ორი-პერსონის ტექნიკას.
ამ მასალის გამოყენება ექვემდებარება ჩვენს განცხადებას