სურათები და ვიდეოები
სურათები

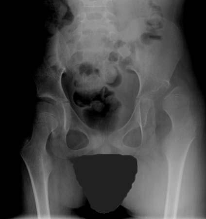
ცერებრული დამბლა
ცერებრული დამბლის მქონე პაციენტებში მენჯ-ბარძაყის სახსრის ამოვარდნილობა
William L. Oppenheim-ის კოლექციიდან; გამოყენება ნებადართულია
მოცემული სურათის კონტექსტში დათვალიერებისთვის ეწვიეთ შემდეგ სექციას (სექციებს):

ცერებრული დამბლა
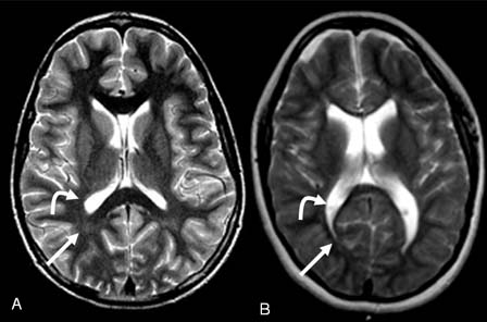
პერივენტრიკულური ლეიკომალაცია. სურათი A წარმოადგენს 14 წლის ჯანსაღ გოგონას: მოღუნული ისარი მიუთითებს ნორმალურ მარცხენა პარკუჭზე, სწორი ისარი კი დაუზიანებელ თეთრ ნივთიერებაზე. სურათი B წარმოადგენს ცერებრული დამბლის მქონე 14 წლის გოგონას: მოღუნული ისარი მიუთითებს გადიდებულ პარკუჭზე, სწორი ისარი კი - თეთრი ნივთიერების შემცირებულ მოცულობაზე, პერივენტრიკულური ლეიკომალაციის გამო
ლოს ანგელესში David Geffen-ის სახელობის სამედიცინო სკოლის რადიოლოგიის დამხმარე პროფესორის, Noriko Solomon-ის საკუთრება
მოცემული სურათის კონტექსტში დათვალიერებისთვის ეწვიეთ შემდეგ სექციას (სექციებს):

ცერებრული დამბლა
ლატერალური კორტიკოსპინალური გზები (ნაჩვენებია წითლად) პასუხისმგებელია ნებით მოტორულ აქტივობაზე.
TeachMeAnatomy (https://teachmeanatomy.info/neuroanatomy/pathways/descending-tracts-motor/); used with permission
მოცემული სურათის კონტექსტში დათვალიერებისთვის ეწვიეთ შემდეგ სექციას (სექციებს):
ამ მასალის გამოყენება ექვემდებარება ჩვენს განცხადებას