Imágenes y vídeos
Imágenes

Colitis ulcerosa
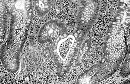
Muestra de la biopsia del colon que muestra inflamación grave de la mucosa, formación de abscesos en las criptas, atrofia glandular leve y distorsión, lo que sugiere una fase activa de colitis ulcerosa; tinción con hematoxilina y eosina, ampliación ×400.
De Iannone F, Scioscia C, Musio A, et al Leucocytoclastic vasculitis as onset symptom of ulcerative colitis Ann Rheum Dis 2003;62(8):785-6; utilizado con autorización
Ver esta imagen en el contexto de la/s siguiente/s sección/es:
Vídeos
- Demostración animada de venopunción y flebotomía
Cómo tomar una muestra de sangre venosa de la fosa antecubital utilizando una aguja de vacío.
El uso de este contenido está sujeto a nuestra cláusula de exención de responsabilidad