Abordaje
El diagnóstico se basa en la presencia de fractura en la radiografía, y los antecedentes generalmente son específicos de caídas o traumatismos. La resonancia magnética (IRM) o la tomografía computarizada (TC) solo deben solicitarse si el índice de sospecha de fractura de cadera es alto (es decir, hay dolor en la ingle, dolor con el movimiento de la cadera o dolor en la región de la ingle/fémur proximal), pero la radiografía simple es negativa. Los análisis clínicos no son útiles en el diagnóstico de fracturas. Si se identifica una fractura de cadera, deberá realizarse la derivación a un cirujano ortopédico.
Antecedentes
Las fracturas de cadera se producen con mayor frecuencia en personas de edad avanzada, y las mujeres pueden presentar un mayor riesgo que los hombres. El riesgo de fracturas de cadera aumenta significativamente con la edad. Se dan con mayor frecuencia en los mayores de 65 años, siendo la edad media de aproximadamente 83 años.[9][32] La osteoporosis es un factor de riesgo importante; existe un aumento de casi 3 veces del riesgo de fracturas femorales proximales tanto para hombres como para mujeres por cada disminución de 1 desviación estándar por debajo de los valores máximos de masa ósea.[23] También se deberán observar antecedentes familiares de osteoporosis/osteopenia.
Los pacientes por lo general tienen antecedentes de caídas o traumatismos; es poco frecuente que las fracturas ocurran sin caídas o traumatismos desencadenantes. Los traumatismos de alto impacto (p. ej., accidentes automovilísticos) son más comunes en pacientes más jóvenes; sin embargo, estos representan solo del 1% al 3% de las fracturas de cadera observadas.[9][23]
Los pacientes generalmente se quejan de incapacidad para soportar peso, dolor en la pierna/cadera afectada y dolor con el rango de movimiento de la cadera.
Exploración física
La exploración física generalmente es inespecífica; sin embargo, la pierna del lado afectado puede estar acortada y rotada externamente si la fractura de cadera está desplazada. Este es el único hallazgo clínico que indica que la fractura está desplazada. Sin embargo, este hallazgo también puede observarse con otras fracturas del fémur, así como también de la pelvis o la parte inferior de la pierna.
Si el paciente puede tolerar la amplitud de movimiento pasivo, el dolor se produce en la ingle o en el fémur proximal con la rotación interna o externa de la pierna o la flexión de la cadera. También puede sentirse crepitación en la región del cuello femoral con el rango de movimiento de la cadera.
Radiografía
Deben solicitarse radiografías simples en todos los pacientes con antecedentes de caída o traumatismo que presenten dolor agudo de cadera.[50] Las radiografías de cadera postraumáticas estándar deben incluir una vista anteroposterior (AP) con 15° de rotación interna de la cadera y una vista lateral de mesa cruzada de la cadera afectada.[50] La radiografía demostrará fractura del fémur proximal. Puede pedirse una radiografía del fémur si se sospecha extensión distal de la fractura. Muchas instituciones incluyen una vista AP de la pelvis para la evaluación de la simetría de la cadera, ya sea como parte de la evaluación estándar del trauma o junto con la serie específica la cadera.[50]
Con los tipos de fractura intracapsular, la ruptura de la corteza así como también de las líneas trabeculares primarias de tensión y compresión sugieren el desplazamiento de la fractura. El aumento de la angulación en varo o valgo en la imagen AP o el aumento en versión anterior o posterior observado en la radiografía lateral también sugieren desplazamiento y pueden compararse con la otra cadera intacta.
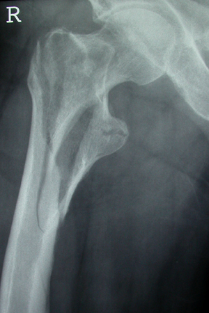
Con los tipos de fractura extracapsulares, la estabilidad de las fracturas desplazadas generalmente tiene en cuenta el grado de conminución y, más específicamente, la conminución de la corteza medial. Los tipos de fracturas intertrocantéricas simples de 2 fragmentos sin conminución del calcar medial (corteza) generalmente se consideran estables. Las fracturas intertrocantéricas de 3 y 4 fragmentos con ruptura de la corteza posteromedial o la fractura con oblicuidad invertida se consideran inestables.[3][51][Figure caption and citation for the preceding image starts]: Radiografía anteroposterior inicial que muestra una fractura intracapsular de la cadera izquierda desplazadaDe la colección de Bradley A. Petrisor, MSc, MD, FRCSC y de Mohit Bhandari, MD, MSc, FRCSC [Citation ends].
[Figure caption and citation for the preceding image starts]: Fractura intertrocantérica inestable en la radiografíaDe la colección de Bradley A. Petrisor, MSc, MD, FRCSC y de Mohit Bhandari, MD, MSc, FRCSC [Citation ends].
Otras pruebas diagnósticas
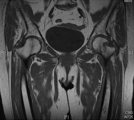
Al menos el 90% de las fracturas femorales proximales se identificarán en las radiografías.[52] Si el índice de sospecha de fractura de cadera es alto y la radiografía simple es negativa, debe solicitarse una exploración por TC o IRM (sin contraste).[50] La IRM tiene una sensibilidad más alta que las radiografías simples para la detección de fracturas ocultas de cadera y no depende del tiempo entre la lesión y el estudio.[50][53][54][Figure caption and citation for the preceding image starts]: Estudios por imágenes mediante resonancia magnética que muestra una imagen coronal que confirma una fractura intracapsular de la cadera izquierdaDe la colección de Bradley A. Petrisor, MSc, MD, FRCSC y de Mohit Bhandari, MD, MSc, FRCSC [Citation ends].
[Figure caption and citation for the preceding image starts]: Radiografía pélvica anteroposterior que muestra una posible fractura intracapsular de la cadera izquierdaDe la colección de Bradley A. Petrisor, MSc, MD, FRCSC y de Mohit Bhandari, MD, MSc, FRCSC [Citation ends].
El uso de este contenido está sujeto a nuestra cláusula de exención de responsabilidad