Imagens e vídeos
IMAGENS

Glomeruloesclerose e segmentar focal
Xantomas em um paciente com hiperlipidemia grave
De Watkins PJ. Cardiovascular disease, hypertension, and lipids. BMJ. 2003 Apr 19;326(7394):874-6
Veja esta imagem em contexto nas seguintes seções:

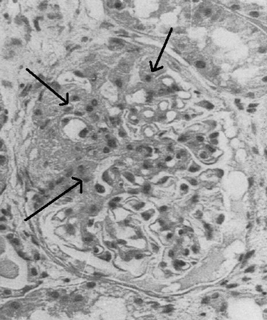
Glomeruloesclerose e segmentar focal
Microscopia óptica de biópsia renal demonstrando lesões típicas de glomeruloesclerose segmentar focal
Adaptado de Nagi AH, Alexander F, Lannigan R. Light and electron microscopical studies of focal glomerular sclerosis. J Clin Pathol. 1971 Dec;24(9):846-50
Veja esta imagem em contexto nas seguintes seções:

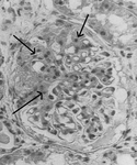
Glomeruloesclerose e segmentar focal
Características típicas das lesões da glomeruloesclerose segmentar focal (GESF)
Criado no BMJ Knowledge Centre
Veja esta imagem em contexto nas seguintes seções:

Glomeruloesclerose e segmentar focal
Edema facial em uma criança com síndrome nefrótica
Do acervo do Dr. M. Dixit, Medical Director, Florida Children's Kidney Centre; Dr. R. Mathias, Chief, Pediatric Nephrology, Nemours Children's Clinic, Orlando, FL
Veja esta imagem em contexto nas seguintes seções:

Glomeruloesclerose e segmentar focal
Linhas de Muehrcke em um paciente com hipoalbuminemia decorrente da síndrome nefrótica
De Muehrcke RC. The finger-nails in chronic hypoalbuminaemia: a new physical sign. Br Med J. 1956 Jun 9;1(4979):1327-8
Veja esta imagem em contexto nas seguintes seções:
O uso deste conteúdo está sujeito ao nosso aviso legal