Imagens e vídeos
IMAGENS

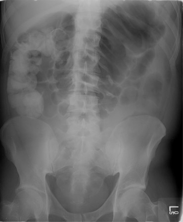
Colite tóxica e megacólon tóxico
Radiografia abdominal demonstrando dilatação colônica
University of Chicago Medical Center; usado com permissão
Veja esta imagem em contexto nas seguintes seções:

Colite tóxica e megacólon tóxico
Patologia macroscópica de megacólon tóxico
University of Chicago Medical Center; usado com permissão
Veja esta imagem em contexto nas seguintes seções:

Colite tóxica e megacólon tóxico
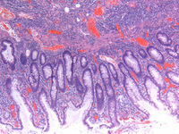
Aparência histológica do megacólon tóxico
University of Chicago Medical Center; usado com permissão
Veja esta imagem em contexto nas seguintes seções:
Vídeos
- Demonstração animada da inserção de sonda nasogástrica
Como inserir uma sonda nasogástrica de pequeno calibre para alimentação.
O uso deste conteúdo está sujeito ao nosso aviso legal