Imagens e vídeos
IMAGENS

Ginecomastia
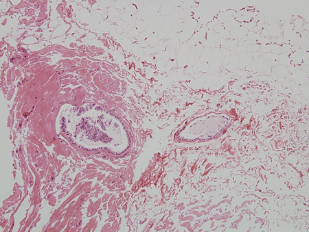
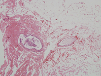
Histologia: mama masculina normal; ductos isolados e raros; ausência de lóbulos; ampliação de 10X
Da coleção de patologia do Minneapolis Veterans Affairs Medical Center
Veja esta imagem em contexto nas seguintes seções:

Ginecomastia
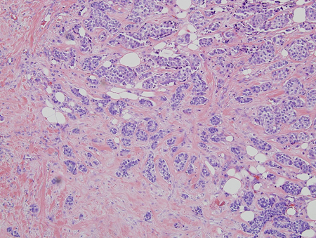
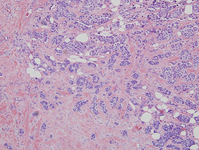
Histologia: câncer de mama; ninhos de carcinoma ductal maligno que invadem o tecido; ampliação de 10X
Da coleção de patologia do Minneapolis Veterans Affairs Medical Center
Veja esta imagem em contexto nas seguintes seções:

Ginecomastia
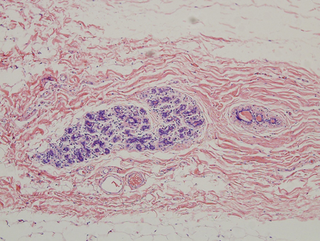
Histologia: mama feminina normal; muitos ductos; lóbulos proeminentes; ampliação de 10X
Da coleção de patologia do Minneapolis Veterans Affairs Medical Center
Veja esta imagem em contexto nas seguintes seções:

Ginecomastia
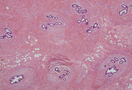
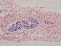
Histologia: ginecomastia; aglomerados de ductos, halos de edema, base fibrosa; ampliação de 5X
Do acervo de Catherine B. Niewoehner, MD
Veja esta imagem em contexto nas seguintes seções:

Ginecomastia
Paciente com ginecomastia
Do acervo de Catherine B. Niewoehner, MD
Veja esta imagem em contexto nas seguintes seções:

Ginecomastia
Hormônios envolvidos no desenvolvimento de mamas em homens
Do acervo de Catherine B. Niewoehner, MD
Veja esta imagem em contexto nas seguintes seções:

Ginecomastia
Avaliação da ginecomastia
Do acervo de Catherine B. Niewoehner, MD
Veja esta imagem em contexto nas seguintes seções:
O uso deste conteúdo está sujeito ao nosso aviso legal