Etiologia
O estrogênio estimula o desenvolvimento de ductos mamários em homens e mulheres na presença de níveis permissivos de hormônio do crescimento, hormônio folículo-estimulante (FSH) e hormônio luteinizante (LH) da hipófise. A progesterona estimula o desenvolvimento de alvéolos mamários. Os androgênios se opõem à ação do estrogênio. A prolactina não é um fator de crescimento para a mama nos homens, mas os níveis elevados de prolactina suprimem o gerador hipotalâmico dos pulsos do hormônio liberador de gonadotropina (GnRH) que estimulam a produção de LH e FSH. A ginecomastia é decorrente de um excesso relativo de estrogênio ou da ação do estrogênio, ou de uma deficiência relativa de androgênio ou da ação do androgênio.[Figure caption and citation for the preceding image starts]: Hormônios envolvidos no desenvolvimento de mamas em homensDo acervo de Catherine B. Niewoehner, MD [Citation ends].
Nos homens, 95% da testosterona é produzida pelas células de Leydig dos testículos em resposta ao LH. Os 5% restantes de testosterona e o androgênio fraco, a androstenediona, são produzidos pelas glândulas adrenais. A testosterona pode ser convertida em um androgênio mais potente, a di-hidrotestosterona, pela enzima 5-alfa redutase. A testosterona é convertida em estrogênio pela enzima aromatase, que também converte a androstenediona no estrogênio fraco, a estrona. A aromatase é encontrada predominantemente no tecido adiposo. No sangue, 50% a 60% da testosterona está fortemente ligada à globulina ligadora de hormônios sexuais.[17] A maioria do restante está fracamente ligada à albumina e é considerada biodisponível. Apenas a pequena fração de testosterona livre (0.5% a 3%) está ativa. A testosterona livre sofre declínio lento com a idade.[18][19] O estrogênio está menos fortemente ligado à globulina ligadora de hormônios sexuais que a testosterona. Defeitos em qualquer uma dessas vias podem causar ginecomastia.[20][21]
Acredita-se que aproximadamente 10% a 20% dos casos de ginecomastia sejam atribuídos a medicamentos prescritos; muitos medicamentos foram implicados, mas a qualidade das evidências geralmente é muito baixa.[22][23][24][25]
Causas de atividade ou níveis elevados de estrogênio:
Atividade excessiva da aromatase: obesidade, mutação congênita ativadora da aromatase, tumores (célula de Sertoli, célula de Leydig, célula germinativa)[26]
Excesso de androgênio convertido em estrogênio: feminização testicular, uso de esteroides anabolizantes, terapia de reposição de androgênio em excesso, cirrose
Diferenças no desenvolvimento sexual: tecido ovariano e testicular funcional coexistente (junto com produção de estrogênio a partir do tecido ovariano)
Doença crônica ou inanição e reintrodução da alimentação: supressão mais profunda de testosterona que de estrogênio com jejum, e aumento mais precoce no estrogênio que na testosterona com a reintrodução da alimentação
Tumores produtores de estrogênio: células de Sertoli, células de Leydig, células germinativas, tumores produtores de gonadotrofina coriônica humana (hCG) (estimulam a produção de estrogênio das células de Leydig), adenoma adrenal feminilizante e carcinoma[27]
Exposição a estrogênio exógeno
Medicamentos que estimulam os receptores estrogênicos: dietilestilbestrol, digitálicos, fenitoína
Hipertireoidismo.
Causas da deficiência de testosterona:
Hipotalâmica: hipogonadismo hipogonadotrófico (síndrome de Kallman, falha de neurônios produtores de GnRH)
Hiperprolactinemia: tumor hipofisário, hipotireoidismo, doença renal (supressão do gerador de pulso do GnRH)
Doença hipofisária normoprolactinêmica ou tumor (diminuição da produção de gonadotrofinas)
Diferenças no desenvolvimento sexual: tecido ovariano e testicular funcional coexistente (junto com produção de estrogênio a partir do tecido ovariano), síndrome de Klinefelter (47XXY)
Testicular: castração, infecção (por exemplo, orquite), infiltração (por exemplo, hemocromatose), danos às células de Leydig relacionados à quimioterapia ou radiação, doenças neurológicas (lesão na medula espinhal, distrofia miotônica)
Medicações: agonistas do hormônio liberador de gonadotrofina (GnRH), agentes quimioterápicos contra câncer, cetoconazol, metronidazol, espironolactona, alguns agentes antipsicóticos.
Causas do comprometimento da ação da testosterona:
Envelhecimento
Níveis elevados de estrogênio
Fatores genéticos
Medicamentos: anticonvulsivantes, bloqueadores do receptor de andrógenos (bicalutamida, flutamida), espironolactona, inibidores da 5-alfa redutase, antagonistas H2 (por exemplo, cimetidina), inibidores da bomba de prótons (prejudicam menos a ação da testosterona do que os antagonistas H2).[28][29][30][31]
Fisiopatologia
O excesso de estrogênio ou a sensibilidade aumentada ao estrogênio estimulam a proliferação de ductos mamários e de epitélio ductal. Se a deficiência de androgênio ou a inibição de androgênio estiverem presentes, o efeito do estrogênio será mais pronunciado, mesmo que o nível de estrogênio esteja normal. Na puberdade, aumentos acentuados no hormônio do crescimento, no fator de crescimento semelhante à insulina-1, no hormônio folículo-estimulante e no hormônio luteinizante estimulam a produção de estrogênio e testosterona, mas o pico de estrogênio precede o pico de produção de testosterona. Há muitos fatores que contribuem para o estrogênio elevado versus o efeito dos androgênios em adultos. Independentemente da causa, a fase inicial com a proliferação de ductos, de epitélio ductal, de estroma e fibroblastos, acompanhada por inflamação e edema, frequentemente conduz a um estágio mais quiescente caracterizado por ductos dilatados, estroma e fibrose com pouca inflamação. O estágio fibrótico tem probabilidade muito menor de regredir de modo espontâneo ou com tratamento. Os níveis de progesterona em homens são baixos e, portanto, há pouco tecido alveolar na mama masculina, mesmo quando a ginecomastia está presente. Portanto, a galactorreia é rara.[Figure caption and citation for the preceding image starts]: Histologia: mama masculina normal; ductos isolados e raros; ausência de lóbulos; ampliação de 10XDa coleção de patologia do Minneapolis Veterans Affairs Medical Center [Citation ends].
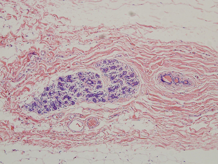
[Figure caption and citation for the preceding image starts]: Histologia: ginecomastia; aglomerados de ductos, halos de edema, base fibrosa; ampliação de 5XDo acervo de Catherine B. Niewoehner, MD [Citation ends].
[Figure caption and citation for the preceding image starts]: Histologia: mama feminina normal; muitos ductos; lóbulos proeminentes; ampliação de 10XDa coleção de patologia do Minneapolis Veterans Affairs Medical Center [Citation ends].
Classificação
Categorias clínicas[1]
Não há um esquema de classificação formal. Entretanto, há categorias clinicamente aceitas.
Ginecomastia neonatal:
Resposta fisiológica a altos níveis de estrogênio materno e placentário transferidos no útero. A secreção de leite neonatal pode ocorrer com frequência.
Ginecomastia puberal:
Uma resposta fisiológica ao aumento de 30 vezes na testosterona intensificada por um acentuado aumento no hormônio do crescimento, no fator de crescimento semelhante à insulina-1, no hormônio folículo-estimulante e no hormônio luteinizante durante a puberdade
O estrogênio aumenta 3 vezes, mas atinge a intensidade máxima antes da testosterona.
Ginecomastia em adultos (fisiológica):
Resposta fisiológica à redução de testosterona livre e ao aumento de tecido adiposo, que frequentemente acompanha o envelhecimento
A testosterona é convertida em estrogênio no tecido adiposo.
Ginecomastia em adultos (não fisiológica):
Resposta ao aumento do efeito do estrogênio em relação ao efeito do androgênio decorrente de uma causa diferente do envelhecimento.
Pseudoginecomastia:
Aumento da mama masculina decorrente apenas de tecido adiposo.
Classificação de Simon[2]
É baseada na quantidade de tecido a ser removido em casos cirúrgicos:
Classe I: aumento da mama pequeno, sem excesso de pele
Classe II: aumento da mama moderado, sem excesso de pele
Classe IIb: aumento da mama moderado, com pouco excesso de pele
Classe III: aumento acentuado da mama com grande excesso de pele (similar à mama feminina).
O uso deste conteúdo está sujeito ao nosso aviso legal