Imagens e vídeos
IMAGENS

Aspergilose broncopulmonar alérgica
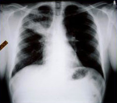
Radiografia torácica em um paciente com aspergilose broncopulmonar alérgica (ABPA): o padrão clássico de "dedo de luva" representa as vias aéreas bronquiectásicas centrais impactadas com muco
Do American College of Chest Physicians, PCCU Volume 17, Lesson 17: Allergic bronchopulmonary aspergillosis; usado com permissão
Veja esta imagem em contexto nas seguintes seções:

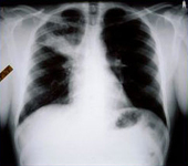
Aspergilose broncopulmonar alérgica
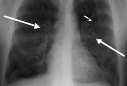
Radiografia torácica em um paciente com aspergilose broncopulmonar alérgica (ABPA): as sombras em forma de anel (setas longas) representam as vias aéreas bronquiectásicas observadas na seção transversal; em trilho de trem (setas curtas) observadas longitudinalmente
Do American College of Chest Physicians, PCCU Volume 17, Lesson 17: Allergic bronchopulmonary aspergillosis; usado com permissão
Veja esta imagem em contexto nas seguintes seções:

Aspergilose broncopulmonar alérgica
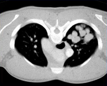
Tomografia computadorizada (TC) do tórax em um paciente com aspergilose broncopulmonar alérgica (ABPA): vias aéreas bronquiectásicas dilatadas impactadas por muco
Do American College of Chest Physicians, PCCU Volume 17, Lesson 17: Allergic bronchopulmonary aspergillosis; usado com permissão
Veja esta imagem em contexto nas seguintes seções:

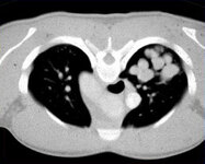
Aspergilose broncopulmonar alérgica
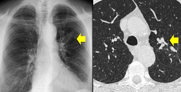
Tomografia computadorizada (TC) do tórax em um paciente com aspergilose broncopulmonar alérgica (ABPA): sombra em "dedo de luva" devida à impactação mucoide na bronquiectasia central em um paciente com asma
Do The Radiology Assistant: Chest - HRCT Part 1; usado com permissão
Veja esta imagem em contexto nas seguintes seções:
O uso deste conteúdo está sujeito ao nosso aviso legal