Imagens e vídeos
IMAGENS

Bruxismo
Desgaste de aparelhos intraorais
Da coleção do Dr. Alessandro Bracci
Veja esta imagem em contexto nas seguintes seções:

Bruxismo
Desgaste de aparelhos intraorais
Da coleção da Profa. Daniele Manfredini
Veja esta imagem em contexto nas seguintes seções:

Bruxismo
Fratura do dente
Da coleção da Profa. Daniele Manfredini
Veja esta imagem em contexto nas seguintes seções:

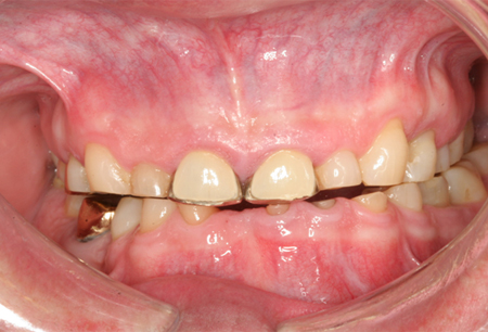
Bruxismo
O desbastamento do esmalte dentário, fissuras e fraturas de dentes naturais em associação com atrito, abfração e abrasão devido à cerâmica
Da coleção do Dr. Alessandro Bracci
Veja esta imagem em contexto nas seguintes seções:

Bruxismo
O atrito relacionado ao bruxismo que atinge a dentina pode resultar em dor e hipersensibilidade dentária
Da coleção do Dr. Alessandro Bracci
Veja esta imagem em contexto nas seguintes seções:

Bruxismo
A linha alba (linha branca) é uma hiperqueratose da mucosa bucal nas bochechas, representando uma impressão dentária na face interna da bochecha
Da coleção da Profa. Daniele Manfredini
Veja esta imagem em contexto nas seguintes seções:

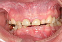
Bruxismo
Desbastamento do esmalte dentário
Da coleção do Dr. Alessandro Bracci
Veja esta imagem em contexto nas seguintes seções:

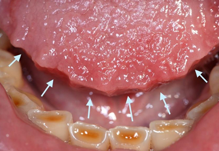
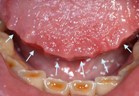
Bruxismo
Língua recortada
Da coleção do Dr. Alessandro Bracci
Veja esta imagem em contexto nas seguintes seções:

Bruxismo
Lesão por erosão
Da coleção do Dr. Alessandro Bracci
Veja esta imagem em contexto nas seguintes seções:

Bruxismo
Um exemplo de fratura de componentes de implantes dentários
Do acervo do Dr Alessandro Bracci; usado com permissão
Veja esta imagem em contexto nas seguintes seções:
O uso deste conteúdo está sujeito ao nosso aviso legal