Diagnósticos diferenciais
Líquen plano oral
SINAIS / SINTOMAS
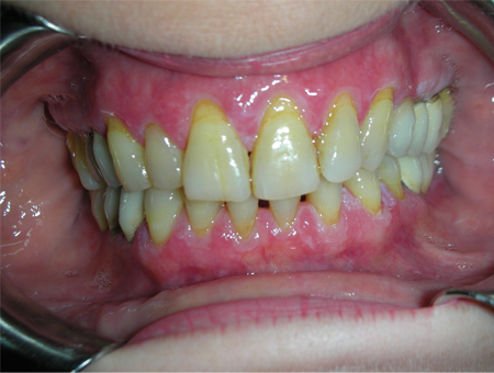
Uma doença mucocutânea inflamatória crônica que comumente se manifesta na gengiva e é caracterizada por gengivas vermelhas, não edemaciadas, com lesões atróficas/ulcerativas dolorosas. Lesões papulares brancas, reticulares e em forma de placa, geralmente assintomáticas, também podem ser encontradas como o único sinal de envolvimento gengival ou ocorrer na periferia das lesões atróficas. A doença geralmente não responde aos procedimentos rotineiros de higiene bucal. Ela também pode se desenvolver na mucosa bucal (50% a 70% dos casos), em outras superfícies de mucosas e na pele dos membros.[48] Lesões bucais podem ocorrer na ausência de lesões cutâneas.[Figure caption and citation for the preceding image starts]: Líquen plano oral (a mucosa gengival mostra extensas lesões em forma de placa)Acervo de Giuseppina Campisi, DDS, MS e Giuseppe Pizzo, DDS [Citation ends].
[Figure caption and citation for the preceding image starts]: Gengivite descamativa secundária a líquen plano oralAcervo de Giuseppina Campisi, DDS, MS e Giuseppe Pizzo, DDS [Citation ends].
Investigações
A imunofluorescência direta é negativa para todos os autoanticorpos, mas positiva para a fluorescência do fibrinogênio contornando a zona da membrana basal, com extensões irregulares para o interior da lâmina própria (aparência trançada).[49]
A histopatologia revela um infiltrado linfocítico denso que está confinado à parte superficial do tecido conjuntivo e sinal de "degeneração por liquefação" na camada basocelular.[4]
Penfigoide
SINAIS / SINTOMAS
Um grupo de distúrbios autoimunes mucocutâneos crônicos nos quais autoanticorpos são direcionados para componentes da membrana basal e caracterizados por bolhas e vesículas que se rompem, deixando ulcerações superficiais dolorosas persistentes. A idade média de início é entre 50 e 60 anos. Como a cura pode, ocasionalmente, deixar cicatrizes, o envolvimento ocular pode causar cicatrização da conjuntiva e cegueira. As lesões orais geralmente não causam cicatrização. Caso somente as membranas mucosas sejam afetadas, é usado o termo penfigoide de membranas mucosas (PMM).[4] O envolvimento gengival é caracterizado pelo padrão clínico conhecido como gengivite descamativa ou por formação bolhosa localizada, evoluindo rapidamente para erosões persistentes e dolorosas.[48][Figure caption and citation for the preceding image starts]: Gengivite descamativa secundária a penfigoide de membranas mucosasAcervo de Giuseppina Campisi, DDS, MS e Giuseppe Pizzo, DDS [Citation ends].
Pênfigo
SINAIS / SINTOMAS
Um grupo de doenças autoimunes caracterizadas pela formação de bolhas intraepiteliais na pele e nas membranas mucosas. A idade média de início é aos 50 anos, sendo raramente observadas em crianças. Observa-se um sinal positivo de Nikolsky (as camadas superiores da pele deslizam sobre as camadas inferiores, ao serem esfregadas). As lesões orais típicas são erosões crônicas, superficiais, irregulares e dolorosas. O envolvimento gengival geralmente aparece na forma de gengivite descamativa. Como a formação de bolhas se localiza na camada de células espinhosas, a probabilidade de se encontrar uma bolha intacta na mucosa oral é muito pequena. As lesões podem se desenvolver nas superfícies das mucosas antes de se desenvolverem na pele, embora lesões cutâneas sejam mais comuns. O envolvimento da conjuntiva é incomum e, ao contrário do penfigoide, as lesões oculares do pênfigo não produzem cicatrização.[4][Figure caption and citation for the preceding image starts]: Pênfigo vulgar (envolvimento gengival)Acervo de Giuseppina Campisi, DDS, MS e Giuseppe Pizzo, DDS [Citation ends].
Investigações
A imunofluorescência direta é positiva para IgG intercelular entre as células epiteliais; IgM e C3 também estão frequentemente presentes; nenhuma reatividade linear ao longo da zona da membrana basal. A imunofluorescência indireta (IFI) é positiva.[4]
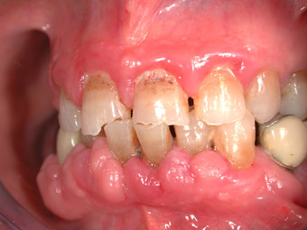
Lúpus eritematoso
SINAIS / SINTOMAS
As lesões da mucosa oral se assemelham a líquen plano erosivo com erosões e estrias, mas também apresentam atrofia, com um pontilhado branco fino não observado no líquen plano erosivo.[51] O lúpus eritematoso sistêmico (LES) pode também originar ulceração gengival, gengivite descamativa e aumento da gengivite induzida por placa dental bacteriana secundária à síndrome de Sjögren.[Figure caption and citation for the preceding image starts]: Lúpus eritematoso cutâneo crônico (envolvimento gengival)Acervo de Giuseppina Campisi, DDS, MS e Giuseppe Pizzo, DDS [Citation ends].
Investigações
A imunofluorescência direta é positiva para IgM, IgG e/ou IgA em uma faixa trançada ou granular na zona da membrana basal.[4]
Os fatores antinucleares séricos e anticorpos anti-DNA de fita dupla geralmente ocorrem no LES.
Gengivite descamativa
SINAIS / SINTOMAS
Um padrão de reações clínicas produzido por vários distúrbios que envolvem a gengiva. Esse padrão é caracterizado por uma extensa descamação e/ou erosão da gengiva afetada, particularmente no aspecto bucal dos dentes anteriores. Muitas vezes, a gengiva marginal não é afetada na ausência de acúmulo de placa bacteriana.[4]
Investigações
A biópsia revela, em cerca de 80% dos casos, características que são diagnósticas de penfigoide da membrana mucosa e líquen plano oral. Menos frequentemente, a biópsia mostra características que são diagnósticas de pênfigo vulgar, doença da IgA linear, epidermólise bolhosa adquirida, lúpus eritematoso sistêmico, estomatite ulcerativa crônica e pênfigo paraneoplásico.[52]
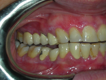
Aumento gengival influenciado por medicamentos
SINAIS / SINTOMAS
Os pacientes apresentam uma história mínima de 1 a 3 meses de terapia com fenitoína, ciclosporina ou bloqueadores dos canais de cálcio, como nifedipino e, menos comumente, anlodipino, verapamil, felodipino e diltiazem.[53] A gengiva frequentemente tem cor normal, com aumento variando de focal a extenso cobrindo a maioria dos dentes, podendo prejudicar a mastigação dos alimentos. Na presença de inflamação secundária causada pela placa dental bacteriana, a gengiva pode ficar avermelhada, edemaciada e dolorosa.[Figure caption and citation for the preceding image starts]: Aumento gengival influenciado por nifedipino. Observar também as cáries dentárias dos dentes anteriores superioresAcervo de Giuseppina Campisi, DDS, MS e Giuseppe Pizzo, DDS [Citation ends].
[Figure caption and citation for the preceding image starts]: Aumento gengival influenciado por ciclosporinaAcervo de Giuseppina Campisi, DDS, MS e Giuseppe Pizzo, DDS [Citation ends].
Investigações
O diagnóstico é feito por exame bucal e análise da história médica. As opções de tratamento geralmente consistem na manutenção da higiene bucal, em cirurgia gengival e, raramente, na substituição por um medicamento alternativo aceitável.
Gengivoestomatite herpética primária
SINAIS / SINTOMAS
A maioria dos casos de gengivoestomatite herpética primária surge entre as idades de 6 meses e 5 anos, com um segundo pico relacionado à idade em pacientes de 20 a 29 anos.[4] Grupos de pequenas vesículas se unem para formar pústulas que se rompem para deixar ulcerações dolorosas na mucosa. As gengivas estão aumentadas, bastante eritematosas e dolorosas. O aspecto das gengivas pode ser similar ao da gengivite necrosante (GN), mas as lesões gengivais são menos graves e sem hemorragia significativa. Mais significativamente, outras superfícies mucosas provavelmente estão envolvidas com grupos de vesículas dolorosas rompidas. Os pacientes afetados podem estar febris, apresentar linfadenopatia cervical e, ocasionalmente, erupções cutâneas. A gengivoestomatite herpética recorrente é caracterizada pelos mesmos achados clínicos, mas é rara em indivíduos imunocompetentes.[Figure caption and citation for the preceding image starts]: Gengivoestomatite herpética primária (envolvimento gengival)Acervo de Giuseppina Campisi, DDS, MS e Giuseppe Pizzo, DDS [Citation ends].
Investigações
Não são necessários exames específicos. O esfregaço citológico pode confirmar inclusões virais. A doença é autolimitada, durando até 2 semanas em pacientes imunocompetentes. A recorrência sugere imunodeficiência.
Reações alérgicas
SINAIS / SINTOMAS
As reações alérgicas ocasionalmente ocorrem depois do uso de colutórios, dentifrícios ou goma de mascar. Os alérgenos responsáveis por essas reações podem ser flavorizantes (por exemplo, canela) ou conservantes, ou podem estar contidos em materiais ou medicamentos usados por dentistas ou em alimentos, produtos naturais ou batons.[48] Clinicamente, a reação alérgica surge como uma área avermelhada edemaciada, às vezes com ulcerações dolorosas ou estrias brancas. Esse distúrbio pode afetar outras superfícies mucosas que entraram em contato com o alérgeno. Gengivite plasmocitária é uma forma distinta de reação alérgica caracterizada por um denso infiltrado inflamatório consistindo, predominantemente, de plasmócitos.[54][Figure caption and citation for the preceding image starts]: Reação alérgica gengival a batomAcervo de Giuseppina Campisi, DDS, MS e Giuseppe Pizzo, DDS [Citation ends].
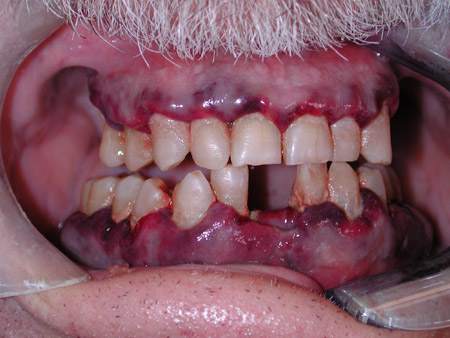
Leucemia
SINAIS / SINTOMAS
A leucemia se apresenta na cavidade oral com hemorragia espontânea, petéquias e possível dor.[4] O aumento gengival é mais provável na leucemia mieloide aguda. Podem ocorrer úlceras nas superfícies da gengiva e das mucosas. Manifestações gengivais são mais comuns na leucemia aguda que na crônica.[Figure caption and citation for the preceding image starts]: Aumento gengival, petéquias e sangramento em leucemia mieloide agudaAcervo de Giuseppina Campisi, DDS, MS e Giuseppe Pizzo, DDS [Citation ends].
Investigações
O hemograma completo e o esfregaço geralmente estabelecem o tipo leucêmico.
Carcinoma primário e metastático
SINAIS / SINTOMAS
Os carcinomas gengivais, tanto primários como metastáticos, apresentam-se, em sua maioria, como massas exofíticas localizadas, e não como alterações pseudoinflamatórias difusas geralmente associadas à gengivite.[Figure caption and citation for the preceding image starts]: Carcinoma gengival primário - carcinoma de células escamosasAcervo de Giuseppina Campisi, DDS, MS e Giuseppe Pizzo, DDS [Citation ends].
[Figure caption and citation for the preceding image starts]: Carcinoma gengival primárioAcervo de Giuseppina Campisi, DDS, MS e Giuseppe Pizzo, DDS [Citation ends].
Investigações
Radiologia e biópsia. O carcinoma gengival primário geralmente mostra carcinoma epitelial escamoso; achados de doença metastática são indicativos de carcinoma primário.
Candidíase gengival
SINAIS / SINTOMAS
A candidíase gengival (antes conhecida como eritema gengival linear associado à infecção por HIV) é caracterizada por uma faixa distinta linear de 2 a 3 mm de eritema pronunciado ao longo da margem gengival diretamente adjacente aos dentes, geralmente com uma superfície granular, e que não responde aos procedimentos convencionais de higiene bucal.[4]
Investigações
O diagnóstico da candidíase pode ser feito com base em exames de cultura, esfregaço e biópsia.[3] A falta de resposta à terapia padrão é sugestiva. Confirme a sorologia para HIV. Alguns casos estão associados à candidíase oral.
Gengivite por corpo estranho
SINAIS / SINTOMAS
Inflamação gengival associada a corpos estranhos localizados no tecido conjuntivo no interior do epitélio sulcular. Apresenta-se muitas vezes como uma lesão avermelhada ou vermelho-esbranquiçada combinada, frequentemente diagnosticada erroneamente como líquen plano oral. Dor ou sensibilidade é um achado comum e a lesão não remite com a otimização da higiene bucal. Corpos estranhos podem ser originários de uma série de materiais dentários.
Investigações
O diagnóstico se baseia na história e nos aspectos clínicos.
A biópsia demonstra um padrão inespecífico de mucosite crônica ou subaguda e um corpo estranho (mas, em alguns casos, o material estranho pode ser muito pequeno para ser detectado).
Quando se encontra inflamação granulomatosa na microscopia, mas um corpo estranho não é detectado, o médico deverá procurar sinais e sintomas de doenças granulomatosas (doença de Crohn, sarcoidose, tuberculose, granulomatose orofacial).
Granulomatose orofacial
SINAIS / SINTOMAS
Doença idiopática decorrente de uma reação imune anormal. Os lábios frequentemente são afetados e mostram um aumento persistente não sensível. A língua pode desenvolver fissuras, edema, erosões, parestesia e alteração no sabor. As lesões gengivais se apresentam como edema e leve eritema, mimetizando gengivite induzida por placa dental bacteriana, ou como erosões dolorosas.[48]
Investigações
A biópsia revela uma inflamação granulomatosa inespecífica associada a coloração negativa para organismos e nenhum corpo estranho. Doenças granulomatosas locais e sistêmicas devem ser consideradas no diagnóstico diferencial.
Pioestomatite vegetante
SINAIS / SINTOMAS
Distúrbio pustular relativamente raro da mucosa oral associado a doenças inflamatórias intestinais, particularmente colite ulcerativa ou doença de Crohn. As lesões típicas desse distúrbio são dobras múltiplas, indolores, amarelo-esbranquiçadas da mucosa e microabscessos, que podem estar presentes na gengiva e na mucosa oral.[4]
Investigações
A biópsia revela uma aparência acantolítica do epitélio decorrente da presença de numerosos eosinófilos, frequentemente formando microabscessos intraepiteliais.
A imunofluorescência direta descarta doenças orais bolhosas crônicas.
Doença linear por imunoglobulina A (IgA)
SINAIS / SINTOMAS
As lesões orais se apresentam como gengivite descamativa isolada ou em associação com vesículas, com erosões dolorosas e ulceração.[4][57] As lesões afetam os palatos duro e mole, os pilares tonsilares, a mucosa bucal, a língua e a gengiva. As lesões orais sempre ocorrem na presença de lesões cutâneas.[4][58]
Investigações
A imunofluorescência direta é caracterizada pelo depósito linear de IgA ao longo da zona dermoepidérmica da membrana basal.[4] IgA circulante anti-membrana basal pode ser detectada por imunofluorescência indireta (IFI) em 30% a 50% dos pacientes.[4]
Lesões orais exclusivas mostrando coloração linear de IgA na zona da membrana basal devem ser consideradas penfigoide da membrana mucosa, e não doença da IgA linear.[59]
Granulomatose com poliangiite (anteriormente conhecida como granulomatose de Wegener)
SINAIS / SINTOMAS
O comprometimento oral é raro. Quando presente, é considerado um sinal precoce de doença. As lesões características incluem hiperplasia gengival dramática com projeções curtas bulbosas, friáveis e hemorrágicas que começam nas papilas interdentais, comumente referidas como "gengivite em morango".[60] A gengiva superior é o local mais frequentemente afetado na boca.
Investigações
A biópsia mostra vasculite leucocitoclástica.[60] Nas biópsias orais, em virtude da falta de grandes vasos, a vasculite pode ser de difícil demonstração. Os espécimes de biópsia gengival geralmente mostram vascularidade proeminente com extenso extravasamento de eritrócitos.
Pode ser detectado anticorpo anticitoplasma de neutrófilo com padrão perinuclear (p-ANCA) ou anticorpo anticitoplasma de neutrófilo com padrão citoplasmático (c-ANCA) circulante.
A imunofluorescência indireta (IFI) é positiva para c-ANCA. Uma reação positiva para proteinase 3, o principal antígeno para c-ANCA que reside nos grânulos azurofílicos dos neutrófilos, é necessária para confirmar a IFI positiva para c-ANCA.[61]
Eritema multiforme
SINAIS / SINTOMAS
Início agudo de lesões cutâneas em alvo simetricamente distribuídas, frequentemente acompanhadas pelo envolvimento da membrana mucosa. O envolvimento gengival é extremamente raro, mas pode originar gengivite descamativa e/ou ulceração gengival. Os pacientes podem apresentar história recente de infecção pelo vírus do herpes simples, infecção por micoplasma, terapia medicamentosa (por exemplo, anticonvulsivantes e antibióticos) ou imunização.[Figure caption and citation for the preceding image starts]: Eritema multiforme. O envolvimento gengival aparece como líquen plano erosivo oralAcervo de Giuseppina Campisi, DDS, MS e Giuseppe Pizzo, DDS [Citation ends].
Investigações
A histopatologia raramente é útil, pois as características geralmente são inespecíficas. Portanto, o diagnóstico se baseia em aspectos clínicos e na exclusão de outros distúrbios vesículo-erosivos.[62]
Agranulocitose
SINAIS / SINTOMAS
A gengiva se apresenta como na GN, mas os pacientes têm história de exposição a medicamentos que causam diminuição da produção de granulócitos, como agentes quimioterápicos contra câncer ou uma história de doença congênita associada a níveis diminuídos de fator estimulador de colônias de granulócitos (G-CSF). Mal-estar, febre, faringite e estomatite dolorosa podem acompanhar ulcerações necróticas perfuradas de múltiplas superfícies mucosas.
Investigações
A descontinuação do medicamento suspeito causando a remissão em até 2 semanas pode ser diagnóstica.
O hemograma completo indica agranulocitose (<0.1 × 10⁹/L ou <100 neutrófilos/mm³) e níveis normais de eritrócitos e plaquetas.[4]
Histoplasmose
SINAIS / SINTOMAS
Muito rara. Podem ocorrer lesões orais com a forma disseminada da doença em pacientes idosos ou imunocomprometidos. Elas surgem na forma de úlceras crônicas com margens elevadas e podem ser semelhantes a carcinoma da gengiva.[63]
Investigações
A biópsia revela inflamação granulomatosa com ácido periódico de Schiff e fungos positivos para a prata metenamina de Gomori, morfologicamente consistente com infecção por Histoplasma capsulatum.[64]
Métodos sem cultura incluem ensaios colorimétricos com base em zimógenos para detectar (13)-beta-D-glucano e métodos moleculares para detectar o DNA fúngico.
Neutropenia cíclica
SINAIS / SINTOMAS
Neutropenia cíclica é um raro distúrbio hematológico observado em crianças como febre uniformemente episódica, linfadenopatia cervical, faringite e ulcerações da mucosa, que são mais intensas na gengiva.[65] A duração média do ciclo é de 21 ± 3 dias, com um intervalo de 14 a 40 dias. Pode se desenvolver perda óssea alveolar (ossos maxilares ou mandibulares) e mobilidade dos dentes.
Investigações
Hemogramas completos sequenciais mostram contagens de neutrófilos <0.5 × 10⁹/L (500/mm³ ou 500/microlitro) por 3 a 5 dias durante 3 ciclos sucessivos.[66]
O uso deste conteúdo está sujeito ao nosso aviso legal