Investigações
Investigações a serem consideradas
esfregaço de Tzanck
Exame
Como a miliária cristalina produz vesículas com fluido transparente, semelhantes a uma erupção herpética, a realização de um esfregaço de Tzanck pode ajudar a descartar uma infecção herpética.
O médico rompe uma vesícula, raspa a base da vesícula com uma lâmina número 15 e utiliza o fluido coletado para confeccionar um esfregaço uniforme em uma lâmina de microscópio. O esfregaço é corado com Giemsa e visualizado no microscópio. Células gigantes multinucleadas são indicativas de uma infecção viral herpética. Elas estariam ausentes na miliária. Enquanto eosinófilos são observados no eritema tóxico neonatal, neutrófilos são observados na melanose pustulosa neonatal transitória. Essas células não serão observadas na miliária.
A sensibilidade do esfregaço de Tzanck no diagnóstico de infecção herpética cutânea é de 79%, enquanto a especificidade é de 93%.[28] No entanto, apesar da precisão do teste, a identificação de células gigantes multinucleadas requer prática. Além disso, o teste é inespecífico, uma vez que infecções pelo vírus do herpes simples (HSV) e pelo vírus da varicela-zóster (VZV) produzem células gigantes multinucleadas.
[Figure caption and citation for the preceding image starts]: A micrografia demonstra a presença de vírus do herpes simples em um esfregaço de TzanckDo acervo de Brian L. Swick, usado com permissão [Citation ends].
Resultado
normal na miliária; descarta infecção herpética, eritema tóxico neonatal e melanose pustular neonatal
anticorpo fluorescente direto (AFD) ou cultura viral
Exame
Como a miliária cristalina produz vesículas com fluido transparente, semelhantes a uma erupção herpética, a realização de AFD/cultura viral pode ajudar a descartar uma infecção herpética.
O médico rompe uma vesícula, faz um swab da base da vesícula e envia o swab para o laboratório.
O teste do AFD diferenciará o HSV do VZV, e os resultados geralmente são disponibilizados em questão de horas. A sensibilidade e a especificidade do AFD são de 74% e 85%, respectivamente.[29]
Os resultados da cultura viral são mais demorados (48 a 72 horas) e não conseguem diferenciar a infecção pelo HSV da infecção pelo VZV. No entanto, o teste é mais sensível que o AFD viral.
Resultado
normal na miliária; descarta infecção herpética
reação em cadeia da polimerase viral
Exame
Como a miliária cristalina produz vesículas com fluido transparente, semelhantes a uma erupção herpética, a realização de uma reação em cadeia da polimerase viral pode ajudar a descartar uma infecção herpética.
O médico rompe uma vesícula, faz um swab da base da vesícula e envia o swab para o laboratório.
A reação em cadeia da polimerase tem, no mínimo, sensibilidade tão boa quanto a da cultura viral e pode diferenciar uma infecção pelo HSV de uma infecção pelo VZV. Os resultados normalmente são disponibilizados em questão de horas.[30]
Resultado
normal na miliária; descarta infecção herpética
cultura bacteriana
Exame
Como a miliária cristalina produz vesículas frágeis semelhantes ao impetigo, a realização de uma cultura bacteriana pode ajudar a descartar impetigo.
Resultado
normal na miliária; descarta infecção por Staphylococcus aureus
cultura fúngica
Exame
A realização de uma cultura fúngica pode ajudar a descartar candidíase. Isso é importante especialmente ao diferenciar candidíase cutânea congênita de miliária rubra.
Resultado
normal na miliária; descarta candidíase
solução de hidróxido de potássio (KOH)
Exame
O uso de solução de hidróxido de potássio pode ajudar a descartar candidíase, que é identificada pela visualização de levedura de brotamento e pseudo-hifas. Isso é importante especialmente ao diferenciar candidíase cutânea congênita de miliária rubra.
Resultado
normal na miliária; descarta candidíase
biópsia de pele
Exame
A biópsia por punção de uma vesícula ou pápula pode confirmar o diagnóstico e descartar outras dermatoses com uma aparência similar.
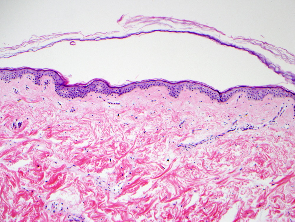
Secções de uma lesão de miliária cristalina coradas com hematoxilina e eosina demonstram uma vesícula subcorneana situada ao longo de um ducto acrossiríngeo sem nenhum infiltrado inflamatório associado.
Secções de uma lesão de miliária rubra coradas com hematoxilina e eosina demonstram espongiose de um ducto sudoríparo intraepidérmico, às vezes formando uma vesícula espongiótica, com exocitose linfocítica e um infiltrado perivascular superficial de linfócitos e neutrófilos.
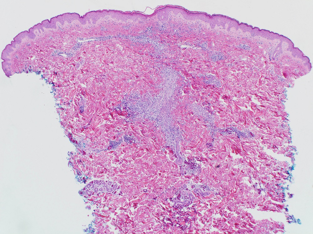
Secções de uma lesão de miliária profunda coradas com hematoxilina e eosina demonstram uma vesícula espongiótica intraepidérmica associada a um ducto acrossiríngeo com exocitose linfocítica e um infiltrado perivascular superficial de linfócitos e neutrófilos mais denso que o observado na miliária rubra.[Figure caption and citation for the preceding image starts]: Fotomicrografia de miliária cristalina mostrando vesícula subcorneana não inflamatória (H&Ex100)Do acervo de Brian L. Swick, usado com permissão [Citation ends].
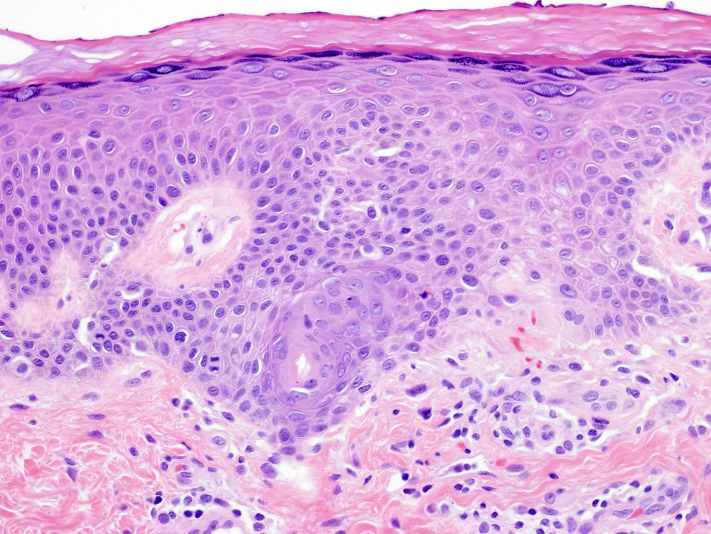
[Figure caption and citation for the preceding image starts]: Fotomicrografia de miliária rubra mostrando espongiose acrossiríngea intraepidérmica e inflamação crônica subjacente (H&Ex400)Do acervo de Brian L. Swick, usado com permissão [Citation ends].
[Figure caption and citation for the preceding image starts]: Fotomicrografia de miliária profunda mostrando inflamação crônica centralizada em um ducto écrino na derme (H&Ex40)Do acervo de Brian L. Swick, usado com permissão [Citation ends].
Resultado
vesícula subcorneana situada ao longo de um ducto acrossiríngeo sem nenhum infiltrado inflamatório associado (miliária cristalina); espongiose de um ducto sudoríparo intraepidérmico (miliária rubra); vesícula espongiótica intraepidérmica associada a um ducto acrossiríngeo com exocitose linfocítica (miliária profunda)
O uso deste conteúdo está sujeito ao nosso aviso legal