Imagens e vídeos
IMAGENS

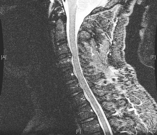
Doença degenerativa da coluna cervical
Um único nível de compressão da medula espinhal com alterações em T2, na sequência sagital cervical de T2 na presença de mielopatia cervical degenerativa sintomática
Dennis A. Turner, MA, MD
Veja esta imagem em contexto nas seguintes seções:

Doença degenerativa da coluna cervical
Gráfico mostrando o tamanho médio e a localização do dermátomo. A dor radicular é geralmente confinada a um único dermátomo
Da 20ª edição de Gray's Anatomy of the Human Body, EUA; usado com permissão
Veja esta imagem em contexto nas seguintes seções:

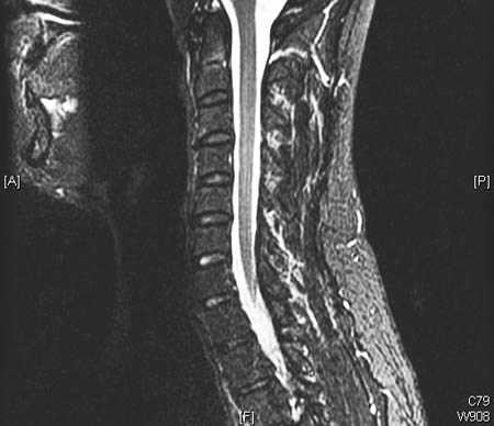
Doença degenerativa da coluna cervical
Compressão da medula espinhal prévia em C3/4 na ressonância nuclear magnética (RNM) sagital de T2, com alterações residuais em T2 e nova compressão em C2/3 e C6/7, com alterações em T2
Dennis A. Turner, MA, MD
Veja esta imagem em contexto nas seguintes seções:

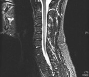
Doença degenerativa da coluna cervical
Alterações graves e de múltiplos níveis da doença degenerativa do disco, mas sem compressão significativa da medula espinhal (isto é, sem deformações ou alterações intrínsecas em T2) na ressonância nuclear magnética (RNM) cervical (T2 sagital)
Dennis A. Turner, MA, MD
Veja esta imagem em contexto nas seguintes seções:

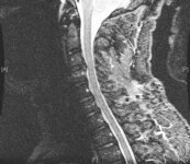
Doença degenerativa da coluna cervical
Ressonância nuclear magnética (RNM) cervical (T2 sagital) com doença articular degenerativa moderada, mas sem compressão significativa da medula espinhal
Dennis A. Turner, MA, MD
Veja esta imagem em contexto nas seguintes seções:

Doença degenerativa da coluna cervical
Ressonância nuclear magnética (RNM) cervical (T2 sagital) com doença articular degenerativa leve e abaulamento do disco
Dennis A. Turner, MA, MD
Veja esta imagem em contexto nas seguintes seções:

Doença degenerativa da coluna cervical
Diagrama de subconjuntos de espondilose cervical, incluindo vários sintomas possivelmente surgidos no campo mais amplo da espondilose assintomática (radiográfica)
Dennis A. Turner, MA, MD
Veja esta imagem em contexto nas seguintes seções:
O uso deste conteúdo está sujeito ao nosso aviso legal