Imagens e vídeos
IMAGENS

Avaliação de nódulo pulmonar solitário
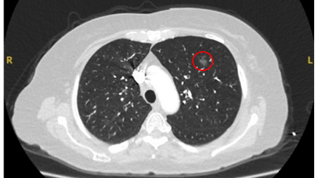
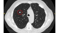
Tomografia computadorizada (TC) mostrando um pequeno nódulo no lobo superior esquerdo com margens lisas, posteriormente considerado uma metástase colorretal solitária na ressecção
Do acervo de Dr. George Tsaknis, MD, PhD, FRCP (Londres), MRQA, MAcadMEd, PGCert; usado com permissão
Veja esta imagem em contexto nas seguintes seções:

Avaliação de nódulo pulmonar solitário
Algoritmo de vigilância para nódulos pulmonares sólidos. TDV, tempo de duplicação de volume
Callister MEJ et al. Thorax 2015;70:ii1-ii54; usado com permissão
Veja esta imagem em contexto nas seguintes seções:

Avaliação de nódulo pulmonar solitário
Tomografia computadorizada (TC) mostrando nódulo alongado periférico no lobo superior esquerdo, com captação de contraste e lado de alimentação e drenagem nítido, condizente com pequena malformação arteriovenosa
Do acervo de Dr. George Tsaknis, MD, PhD, FRCP (Londres), MRQA, MAcadMEd, PGCert; usado com permissão
Veja esta imagem em contexto nas seguintes seções:

Avaliação de nódulo pulmonar solitário
Cortes de tomografia computadorizada (TC) com exemplos de nódulos solitários semissólidos
Do acervo de Dr. George Tsaknis, MD, PhD, FRCP (Londres), MRQA, MAcadMEd, PGCert; usado com permissão
Veja esta imagem em contexto nas seguintes seções:

Avaliação de nódulo pulmonar solitário
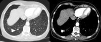
Corte de tomografia computadorizada (TC) com configuração de tecidos moles, mostrando hamartoma de pulmão direito, como achado incidental em paciente assintomático. Observe a calcificação central e vários pequenos pontos de gordura dentro do nódulo. Este nódulo permaneceu estável durante um período de 12 anos, não tendo sido necessária nenhuma intervenção
Do acervo de Dr. George Tsaknis, MD, PhD, FRCP (Londres), MRQA, MAcadMEd, PGCert; usado com permissão
Veja esta imagem em contexto nas seguintes seções:

Avaliação de nódulo pulmonar solitário
Tomografia computadorizada (TC) mostrando dois nódulos periféricos no lobo inferior esquerdo (um ligeiramente espiculado e outro com margens mais lisas) em paciente com febre, marcadores séricos inflamatórios elevados e hemoculturas confirmando Streptococcus intermedius. Ambos os nódulos foram completamente resolvidos após um ciclo de linezolida, condizente com êmbolos sépticos
Do acervo de Dr. George Tsaknis, MD, PhD, FRCP (Londres), MRQA, MAcadMEd, PGCert; usado com permissão
Veja esta imagem em contexto nas seguintes seções:

Avaliação de nódulo pulmonar solitário
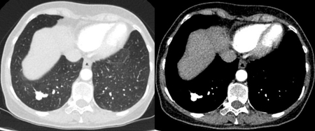
Tomografia computadorizada (TC) mostrando granuloma calcificado benigno no lobo médio direito, estável há >10 anos. O paciente relatou pneumonia prévia no mesmo lado
Do acervo de Dr. George Tsaknis, MD, PhD, FRCP (Londres), MRQA, MAcadMEd, PGCert; usado com permissão
Veja esta imagem em contexto nas seguintes seções:

Avaliação de nódulo pulmonar solitário
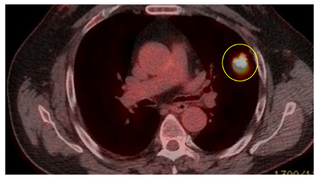
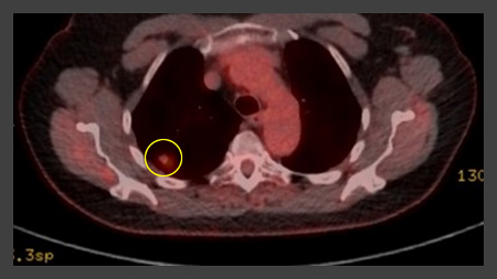
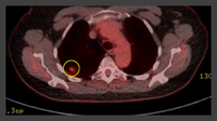
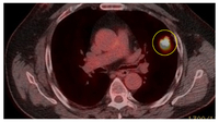
PET-CT com 18-fluordesoxiglucose (18-FDG) mostrando lesão periférica de alta captação no pulmão esquerdo. A ressecção cirúrgica confirmou câncer pulmonar de células escamosas moderadamente diferenciado
Do acervo de Dr. George Tsaknis, MD, PhD, FRCP (Londres), MRQA, MAcadMEd, PGCert; usado com permissão
Veja esta imagem em contexto nas seguintes seções:

Avaliação de nódulo pulmonar solitário
A-D: padrões de calcificação de nódulos benignos; E, F: podem ser vistos em nódulos malignos
Mazzone P.J., Stoller J.K. Semin Thorac Cardiovasc Surg. 2002;14:250-260; usado com permissão
Veja esta imagem em contexto nas seguintes seções:

Avaliação de nódulo pulmonar solitário
Corte de tomografia computadorizada (TC) capturando punção transtorácica por agulha grossa (core biopsy) visando um nódulo lobulado no lobo inferior esquerdo. A histopatologia confirmou câncer pulmonar de células escamosas bem diferenciado
Do acervo de Dr. George Tsaknis, MD, PhD, FRCP (Londres), MRQA, MAcadMEd, PGCert; usado com permissão
Veja esta imagem em contexto nas seguintes seções:

Avaliação de nódulo pulmonar solitário
Tomografia computadorizada (TC) mostrando nódulo com opacidade em vidro fosco no lobo superior esquerdo. Este foi eventualmente ressecado após 2 anos de vigilância em decorrência de crescimento, e a histopatologia confirmou adenocarcinoma de pulmão com padrão mucinoso-lepídico misto
Do acervo de Dr. George Tsaknis, MD, PhD, FRCP (Londres), MRQA, MAcadMEd, PGCert; usado com permissão
Veja esta imagem em contexto nas seguintes seções:

Avaliação de nódulo pulmonar solitário
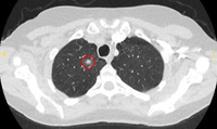
Tomografia computadorizada (TC) mostrando nódulo periférico no lobo superior esquerdo com várias "marcas" pleurais e elemento de retração da pleura adjacente. A histopatologia da ressecção confirmou câncer pulmonar de células escamosas bem diferenciado
Do acervo de Dr. George Tsaknis, MD, PhD, FRCP (Londres), MRQA, MAcadMEd, PGCert; usado com permissão
Veja esta imagem em contexto nas seguintes seções:

Avaliação de nódulo pulmonar solitário
Tomografia computadorizada (TC) mostrando nódulo cavitante posterior no lobo superior direito, com biópsia confirmando granulomatose com poliangiite
Do acervo de Dr. George Tsaknis, MD, PhD, FRCP (Londres), MRQA, MAcadMEd, PGCert; usado com permissão
Veja esta imagem em contexto nas seguintes seções:

Avaliação de nódulo pulmonar solitário
Tomografia computadorizada (TC) mostrando nódulo solitário espiculado no lobo superior direito dentro de enfisema, em fumante atual com exposição prévia ao amianto. Observe a placa pleural visível no lado esquerdo. A histologia da ressecção revelou adenocarcinoma do pulmão
Do acervo de Dr. George Tsaknis, MD, PhD, FRCP (Londres), MRQA, MAcadMEd, PGCert; usado com permissão
Veja esta imagem em contexto nas seguintes seções:

Avaliação de nódulo pulmonar solitário
Cortes de tomografia computadorizada (TC) de dois casos com nódulos perifissurais benignos. Observe as margens lisas e a fissura adjacente normal e intacta
Do acervo de Dr. George Tsaknis, MD, PhD, FRCP (Londres), MRQA, MAcadMEd, PGCert; usado com permissão
Veja esta imagem em contexto nas seguintes seções:

Avaliação de nódulo pulmonar solitário
Algoritmo para nódulos pulmonares subsólidos. NPS, nódulos parcialmente sólidos; NSS, nódulos subsólidos
Callister MEJ et al. Thorax 2015;70:ii1-ii54; usado com permissão
Veja esta imagem em contexto nas seguintes seções:

Avaliação de nódulo pulmonar solitário
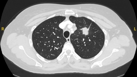
Tomografia computadorizada (TC) mostrando nódulo espiculado no lobo superior esquerdo posterior, com "sinal de brônquio" em mulher não fumante. Uma biópsia broncoscópica com fórceps e escovação assistida por localização de miniprobe EBUS radial confirmaram linfoma não Hodgkin
Do acervo de Dr. George Tsaknis, MD, PhD, FRCP (Londres), MRQA, MAcadMEd, PGCert; usado com permissão
Veja esta imagem em contexto nas seguintes seções:

Avaliação de nódulo pulmonar solitário
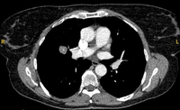
Tomografia computadorizada (TC) mostrando nódulo grande no lobo superior direito, com captação de contraste e lado de alimentação e drenagem nítido, condizente com uma malformação arteriovenosa
Do acervo de Dr. George Tsaknis, MD, PhD, FRCP (Londres), MRQA, MAcadMEd, PGCert; usado com permissão
Veja esta imagem em contexto nas seguintes seções:

Avaliação de nódulo pulmonar solitário
Abordagem inicial para nódulos pulmonares sólidos
Callister MEJ et al. Thorax 2015;70:ii1-ii54; usado com permissão
Veja esta imagem em contexto nas seguintes seções:

Avaliação de nódulo pulmonar solitário
PET-CT com 18-fluordesoxiglucose (18-FDG) mostrando baixa captação em lesão semissólida posterior no lobo superior direito. A ressecção cirúrgica confirmou adenocarcinoma com padrão primariamente lepídico
Do acervo de Dr. George Tsaknis, MD, PhD, FRCP (Londres), MRQA, MAcadMEd, PGCert; usado com permissão
Veja esta imagem em contexto nas seguintes seções:

Avaliação de nódulo pulmonar solitário
Tomografia computadorizada (TC) mostrando nódulo sólido apical no lobo superior direito com halo circundante com opacidade em vidro fosco, em paciente com artrite reumatoide soropositiva em uso de metotrexato. Outros nódulos semelhantes foram observados em ambos os pulmões e permanecem estáveis por >2 anos, condizentes com nódulos reumatoides inflamatórios benignos
Do acervo de Dr. George Tsaknis, MD, PhD, FRCP (Londres), MRQA, MAcadMEd, PGCert; usado com permissão
Veja esta imagem em contexto nas seguintes seções:

Avaliação de nódulo pulmonar solitário
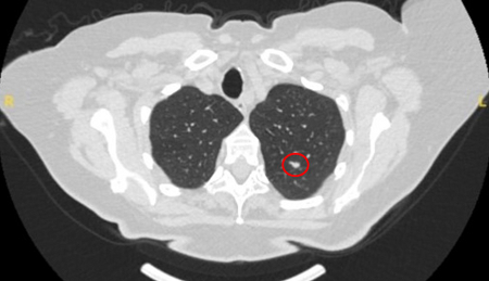
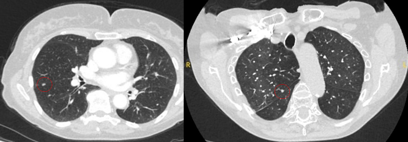
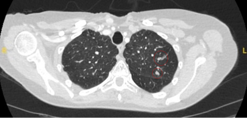
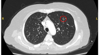
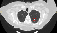
Tomografia computadorizada (TC) mostrando duas áreas (círculos vermelhos) de impactação mucoide dos brônquios subsegmentares do lobo superior esquerdo, resultando em aparência que mimetiza um nódulo
Do acervo de Dr. George Tsaknis, MD, PhD, FRCP (Londres), MRQA, MAcadMEd, PGCert; usado com permissão
Veja esta imagem em contexto nas seguintes seções:

Avaliação de nódulo pulmonar solitário
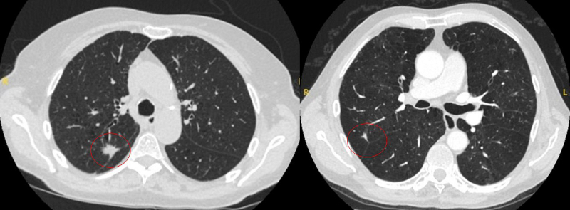
Tomografia computadorizada (TC) mostrando exemplos de nódulos perifissurais malignos. Observe a borda espiculada dos nódulos e a evidente retração da fissura adjacente. Ambas as análises de tecido de ressecção confirmaram adenocarcinoma de pulmão
Do acervo de Dr. George Tsaknis, MD, PhD, FRCP (Londres), MRQA, MAcadMEd, PGCert; usado com permissão
Veja esta imagem em contexto nas seguintes seções:

Avaliação de nódulo pulmonar solitário
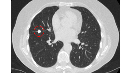
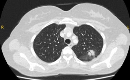
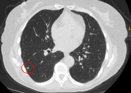
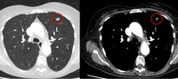
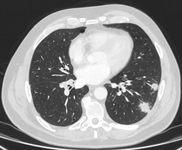
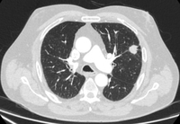
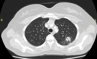
Tomografia computadorizada (TC) mostrando pequeno nódulo triangular periférico no lobo inferior direito, condizente com linfonodo intrapulmonar
Do acervo de Dr. George Tsaknis, MD, PhD, FRCP (Londres), MRQA, MAcadMEd, PGCert; usado com permissão
Veja esta imagem em contexto nas seguintes seções:

Avaliação de nódulo pulmonar solitário
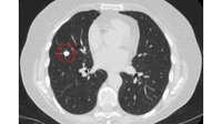
Tomografia computadorizada (TC) mostrando nódulo espiculado no lobo superior esquerdo com "marca" pleural. A histopatologia da ressecção confirmou câncer pulmonar de células escamosas moderadamente diferenciado
Do acervo de Dr. George Tsaknis, MD, PhD, FRCP (Londres), MRQA, MAcadMEd, PGCert; usado com permissão
Veja esta imagem em contexto nas seguintes seções:
O uso deste conteúdo está sujeito ao nosso aviso legal