Etiologia
O nódulo pulmonar solitário é uma lesão relativamente redonda com <3 cm de diâmetro e completamente circundada por parênquima pulmonar. Com base nessa definição, estiam-se que de 70% a 97% dos nódulos pulmonares solitários encontrados sejam benignos.[3][8][9]
Para determinar a probabilidade de neoplasia maligna no indivíduo, o médico avalia as características clínicas do paciente junto com os aspectos radiográficos do nódulo. O objetivo é diagnosticar rapidamente a neoplasia maligna, evitando procedimentos invasivos na avaliação de nódulos benignos.[2] A probabilidade das possíveis etiologias de nódulos pulmonares solitários varia de acordo com as características do paciente envolvido.
Causas benignas de um nódulo pulmonar solitário incluem:
Infecções granulomatosas (por exemplo, micobactérias)
Outras infecções (por exemplo, fungos, êmbolos sépticos)
Doenças granulomatosas não infecciosas (por exemplo, sarcoidose, granulomatose linfoide)
Doenças inflamatórias
Vasculites
Tumores benignos (por exemplo, hamartoma, lipoma)
Amiloidose pulmonar
Impactação mucoide
Malformações arteriovenosas
Cistos broncogênicos
Broncoceles
Linfonodos intrapulmonares
Causas malignas de um nódulo pulmonar solitário incluem:
Tumores pulmonares primários
Metástase de cânceres extratorácicos
Linfoma
Sarcoma
Carcinoide
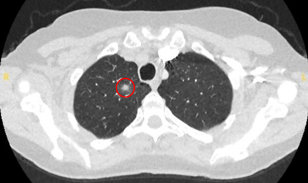
A causa mais provável de nódulos pulmonares solitários benignos dependerá da epidemiologia local da doença. Por exemplo, num centro acadêmico dos EUA, 23% dos pacientes submetidos à ressecção de um nódulo suspeito apresentaram patologia benigna, com doença granulomatosa, como tuberculose e infecções fúngicas (por exemplo, histoplasmose, coccidioidomicose, aspergilose), identificadas como a causa mais comum.[10] Granulomas não infecciosos geralmente devem-se à granulomatose com poliangiite (antes conhecida como granulomatose de Wegener), sarcoidose ou artrite reumatoide.[Figure caption and citation for the preceding image starts]: Tomografia computadorizada (TC) mostrando nódulo cavitante posterior no lobo superior direito, com biópsia confirmando granulomatose com poliangiiteDo acervo de Dr. George Tsaknis, MD, PhD, FRCP (Londres), MRQA, MAcadMEd, PGCert; usado com permissão [Citation ends].
[Figure caption and citation for the preceding image starts]: Tomografia computadorizada (TC) mostrando nódulo sólido apical no lobo superior direito com halo circundante com opacidade em vidro fosco, em paciente com artrite reumatoide soropositiva em uso de metotrexato. Outros nódulos semelhantes foram observados em ambos os pulmões e permanecem estáveis por >2 anos, condizentes com nódulos reumatoides inflamatórios benignosDo acervo de Dr. George Tsaknis, MD, PhD, FRCP (Londres), MRQA, MAcadMEd, PGCert; usado com permissão [Citation ends].
Adenocarcinomas e carcinomas de células escamosas são responsáveis pela maioria dos nódulos pulmonares solitários malignos. Também devem-se considerar carcinoma bronquíolo-alveolar, tumores carcinoides, linfomas, sarcomas e metástases de malignidades de outros órgãos sólidos.[11]
As causas restantes são infrequentes e incluem impactação mucoide, êmbolos sépticos, malformações arteriovenosas e amiloidose pulmonar.
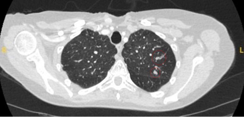
[Figure caption and citation for the preceding image starts]: Tomografia computadorizada (TC) mostrando duas áreas (círculos vermelhos) de impactação mucoide dos brônquios subsegmentares do lobo superior esquerdo, resultando em aparência que mimetiza um nóduloDo acervo de Dr. George Tsaknis, MD, PhD, FRCP (Londres), MRQA, MAcadMEd, PGCert; usado com permissão [Citation ends].
[Figure caption and citation for the preceding image starts]: Tomografia computadorizada (TC) mostrando dois nódulos periféricos no lobo inferior esquerdo (um ligeiramente espiculado e outro com margens mais lisas) em paciente com febre, marcadores séricos inflamatórios elevados e hemoculturas confirmando Streptococcus intermedius. Ambos os nódulos foram completamente resolvidos após um ciclo de linezolida, condizente com êmbolos sépticosDo acervo de Dr. George Tsaknis, MD, PhD, FRCP (Londres), MRQA, MAcadMEd, PGCert; usado com permissão [Citation ends].
[Figure caption and citation for the preceding image starts]: Tomografia computadorizada (TC) mostrando nódulo alongado periférico no lobo superior esquerdo, com captação de contraste e lado de alimentação e drenagem nítido, condizente com pequena malformação arteriovenosaDo acervo de Dr. George Tsaknis, MD, PhD, FRCP (Londres), MRQA, MAcadMEd, PGCert; usado com permissão [Citation ends].
[Figure caption and citation for the preceding image starts]: Tomografia computadorizada (TC) mostrando nódulo grande no lobo superior direito, com captação de contraste e lado de alimentação e drenagem nítido, condizente com uma malformação arteriovenosaDo acervo de Dr. George Tsaknis, MD, PhD, FRCP (Londres), MRQA, MAcadMEd, PGCert; usado com permissão [Citation ends].
O uso deste conteúdo está sujeito ao nosso aviso legal