Imagens e vídeos
IMAGENS

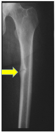
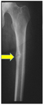
Osteomalácia
Radiografia da haste femoral em paciente com osteomalácia demonstrando "pseudofratura" (também conhecida como zona de Looser) no aspecto medial da haste femoral média
Do acervo de Bridget Sinnott, MD; usado com permissão
Veja esta imagem em contexto nas seguintes seções:

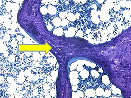
Osteomalácia
Fotomicrografia de biópsia óssea transilíaca normal demonstrando osteoide mineralizado (mostrado em roxo)
Do acervo de Bridget Sinnott, MD; usado com permissão
Veja esta imagem em contexto nas seguintes seções:

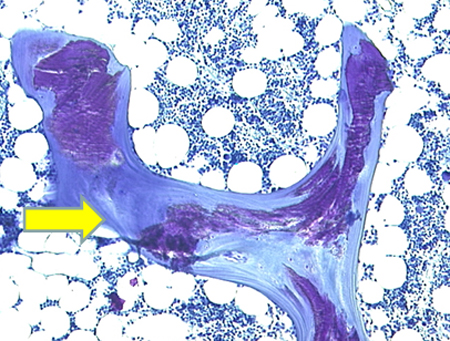
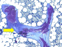
Osteomalácia
Fotomicrografia de biópsia óssea transilíaca de um paciente com osteomalácia demonstrando osteoide desmineralizado (mostrado em roxo). A largura dos osteoides é aumentada substancialmente
Do acervo de Bridget Sinnott, MD; usado com permissão
Veja esta imagem em contexto nas seguintes seções:
O uso deste conteúdo está sujeito ao nosso aviso legal